Cứu sống bệnh nhân cùng lúc bị nhồi máu cơ tim và nhồi máu não

(PLO)- Trường hợp cùng lúc bị nhồi máu cơ tim và nhồi máu não là rất hiếm, ước tính chỉ gặp trong 0,009% dân số.
0:00 / 0:00
0:00
  • Nam miền Bắc
  • Nữ miền Bắc
  • Nữ miền Nam
  • Nam miền Nam

Ngày 19-4, tin từ Bệnh viện Đa khoa Trung ương Cần Thơ cho biết các bác sĩ vừa can thiệp mạch máu não kết hợp mạch vành cứu sống bệnh nhân cùng lúc đột quỵ não cấp kèm nhồi máu cơ tim cấp rất nguy kịch.

Bệnh nhân là nam giới, 72 tuổi, ngụ tỉnh Kiên Giang, nhập viện cấp cứu trong tình trạng hạ huyết áp, liệt nửa người phải, mệt, vật vã, đổ mồ hôi, tay chân lạnh.

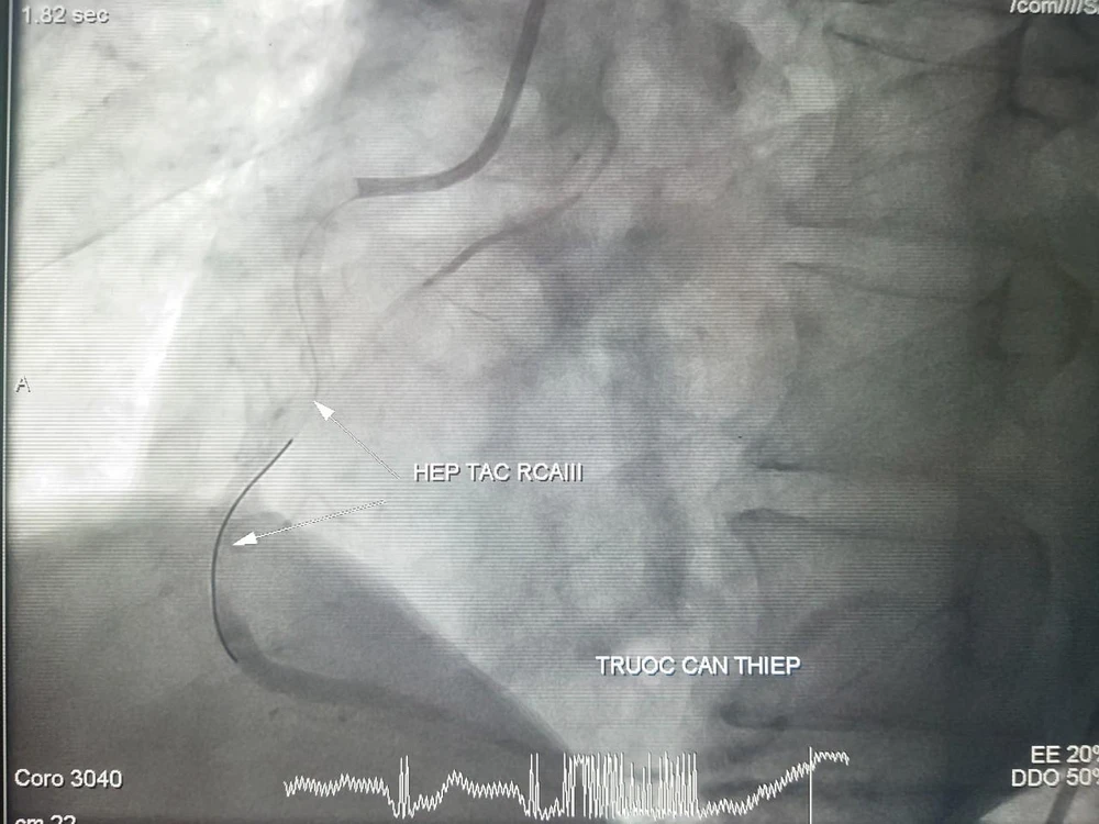
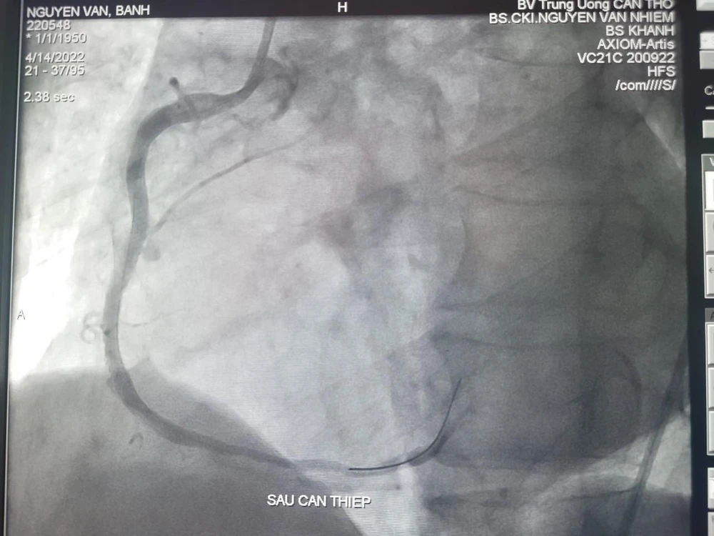
Cứu sống bệnh nhân cùng lúc bị nhồi máu cơ tim và nhồi máu não ảnh 1 Cứu sống bệnh nhân cùng lúc bị nhồi máu cơ tim và nhồi máu não ảnh 2
Hình ảnh DSA mạch trước và vành sau can thiệp. Ảnh: BVCC

Sau khi hội chẩn, các bác sĩ nhận định bệnh nhân bị nhồi máu não cấp, theo dõi tắc mạch máu lớn nội sọ, nhồi máu cơ tim cấp ST chênh thành dưới giờ thứ 5, huyết động ổn định.

Ê kíp quyết định can thiệp mạch não trước. Xác định bệnh nhân bị tắc động mạch cảnh trong (T), các bác sĩ đã dùng dụng cụ lấy ra nhiều huyết khối. Sau 40 phút can thiệp động mạch cản trong (T) đã tái thông.

Tiếp đó, ê kíp chụp và can thiệp mạch vành cấp cứu, kết quả ghi nhận bệnh nhân tắc hoàn toàn RCAII (động mạch vành phải đoạn giữa) và huyết khối. Các bác sĩ đã can thiệp thành công sang thương bằng stent phủ thuốc, kết quả tái thông hoàn toàn mạch vành sau can thiệp sau 20 phút.

Hiện bệnh nhân đã tỉnh, tiếp xúc tốt, vận động phục hồi tốt, đang được theo dõi, điều trị

Theo BSCK2 Phạm Thanh Phong phó giám đốc Bệnh viện – Giám đốc trung tâm tim mạch nhồi máu cơ tim và nhồi máu não đều là những tình trạng cấp cứu cần được chẩn đoán và xử trí kịp thời. Trường hợp bệnh nhân cùng lúc bị nhồi máu cơ tim và nhồi máu não là rất hiếm, ước tính chỉ gặp trong 0,009% dân số.

Cũng theo bác sĩ Phong, nhồi máu cơ tim - não đồng thời có thể được chẩn đoán bằng sự hiện diện của khiếm khuyết thần kinh cấp tính (gợi ý nhồi máu não) kèm theo đau thắt ngực kết hợp thay đổi trên điện tâm đồ hoặc tăng men tim (gợi ý nhồi máu cơ tim). Có nhiều nguyên nhân nhưng rung nhĩ là nguyên nhân thường gặp nhất dẫn đến nhồi máu tim - não đồng thời và hiện tại vẫn chưa có hướng dẫn điều trị cụ thể cho bệnh cảnh đặc biệt này.

Đừng bỏ lỡ

Video đang xem nhiều

Đọc thêm