Đau bụng kéo dài, bệnh nhân bất ngờ vì ổ sỏi đường mật nằm sâu trong gan

(PLO)- Sau nhiều lần nhập viện do đau bụng không rõ nguyên nhân, người phụ nữ được chẩn đoán bị sỏi đường mật, phải phẫu thuật loại bỏ ổ sỏi triệt để.

0:00 / 0:00
0:00
  • Nam miền Bắc
  • Nữ miền Bắc
  • Nữ miền Nam
  • Nam miền Nam

Ngày 22-7, Bệnh viện TP Thủ Đức thông tin vừa điều trị thành công một ca sỏi đường mật bằng phương pháp phẫu thuật cắt gan thùy trái.

Bệnh nhân là chị T.T.K (42 tuổi, quê Cần Thơ) nhập viện trong tình trạng đau bụng vùng thượng vị, nôn ói, sốt lạnh run kéo dài 2 ngày. Qua thăm khám và các xét nghiệm cận lâm sàng, bác sĩ chẩn đoán bệnh nhân bị nhiễm trùng đường mật do sỏi đường mật nhánh gan trái.

Đau bụng kéo dài, người phụ nữ bất ngờ vì ổ sỏi đường mật nằm sâu trong gan
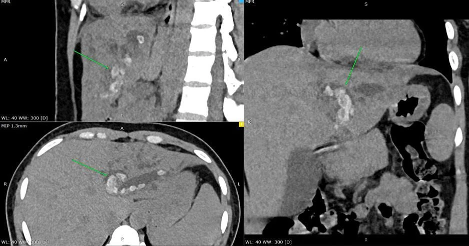
Vị trí sỏi đường mật. Ảnh: BVCC

Tiền sử cho thấy trong 2 năm qua, bệnh nhân nhiều lần có triệu chứng tương tự và đã điều trị tại nhiều cơ sở y tế khác nhau.

Bác sĩ chuyên khoa I Hồ Nam Anh, Khoa Ngoại tổng hợp, Bệnh viện TP Thủ Đức, cho biết đối với trường hợp này, phẫu thuật cắt gan là phương pháp điều trị phù hợp nhất do sỏi khu trú ở một thùy gan và gây nhiễm trùng tái phát.

“Phương pháp này có ưu điểm là loại bỏ triệt để ổ sỏi đường mật, giảm nguy cơ tái phát và giải quyết được các tổn thương kèm theo” - bác sĩ Nam Anh nói.

Theo đó, trình điều trị được tiến hành theo hai giai đoạn: Giai đoạn đầu, bệnh nhân được điều trị nội khoa bằng kháng sinh để ổn định tình trạng nhiễm trùng đường mật.

Sau khi tình trạng bệnh ổn định, ngày 15-7, ekip phẫu thuật đã tiến hành cắt thùy gan trái. Cuộc phẫu thuật diễn ra trong 2 giờ với lượng máu mất không đáng kể.

Soi-duong-mat-1.jpg
Phần thuỳ gan được cắt bỏ chứa nhiều sỏi. Ảnh: BVCC

Phần thùy gan được cắt bỏ chứa nhiều sỏi, các bác sĩ đã bơm rửa và kiểm tra kỹ, đảm bảo không còn sỏi sót lại trong đường mật.

Sau 2 ngày phẫu thuật, bệnh nhân đã có dấu hiệu hồi phục tiêu hóa như xì hơi được, không sốt. Bệnh nhân được hướng dẫn vận động sớm và bắt đầu ăn uống đường miệng, dự kiến sẽ xuất viện sau 4-5 ngày.

Đi khám ngay nếu thấy đau bụng dữ dội kéo dài kèm sốt cao

Cần đặc biệt chú ý những triệu chứng như cơn đau bụng dữ dội ở vùng thượng vị hoặc hạ sườn phải, thường kèm theo cảm giác đau lan ra sau lưng hoặc vai phải.

Bệnh cũng có thể biểu hiện qua các triệu chứng sốt cao, ớn lạnh hoặc rét run, có hiện tượng vàng da, vàng mắt, nước tiểu màu sẫm.

Người bệnh cần đến ngay cơ sở y tế gần nhất khi xuất hiện các dấu hiệu nguy hiểm như đau bụng kéo dài trên 2 giờ không giảm, sốt cao từ 38.5°C trở lên kèm lạnh run, hoặc nôn ói nhiều không thể ăn uống.

Việc phát hiện và điều trị sớm sẽ giúp tránh được các biến chứng nguy hiểm như sốc nhiễm trùng, viêm mủ đường mật hay áp xe gan.

BS CKI HỒ NAM ANH, Khoa Ngoại tổng hợp, Bệnh viện TP Thủ Đức

Đừng bỏ lỡ

Video đang xem nhiều

Đọc thêm