Ngày 26-8, Trung tâm Chống độc, Bệnh viện (BV) Bạch Mai cho biết vừa tiếp nhận nữ bệnh nhân 36 tuổi nhập viện trong tình trạng sốc nặng, giảm oxy máu, nhiễm toan chuyển hoá nặng, lơ mơ…
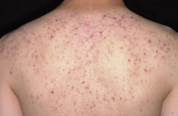
Khai thác bệnh sử, nữ bệnh nhân chia sẻ có đến cơ sở thẩm mỹ để tẩy mụn trứng cá ở lưng. Nhân viên spa đã bôi thuốc tê nửa lưng cho khách rồi ủ tê bằng màng bọc thực phẩm. Sau khi lau thuốc tê, bước tiếp theo là dùng bàn lăn kim (dài 2 mm) kết hợp với thuốc đông y để trị mụn.
![]() |
Khoảng 30 phút bôi thuốc tê, người phụ nữ xuất hiện đỏ toàn thân, ngứa, khó thở và rối loạn ý thức. |
Khoảng 30 phút sau khi bôi thuốc tê, bệnh nhân xuất hiện đỏ toàn thân, ngứa, khó thở và rối loạn ý thức, được spa sơ cứu tại chỗ rồi chuyển đến BV Bạch Mai.
Bệnh nhân đã được xử trí cấp cứu bằng các biện pháp điều trị sốc phản vệ. Ban đầu, tình trạng có cải thiện nhưng sau đó lại xuất hiện rối loạn nhịp tim. Bệnh nhân được chẩn đoán sốc phản vệ kết hợp bị ngộ độc lidocaine (thuốc gây tê tại chỗ hấp thu qua da trên diện rộng và từ từ gây ngộ độc).
Các bác sĩ đã tiến hành cấp cứu và kết hợp lọc máu liên tục cho nữ bệnh nhân. Sau 5 ngày điều trị tích cực, sức khỏe bệnh nhân đã dần hồi phục.
TS.BS Nguyễn Trung Nguyên - Giám đốc Trung tâm Chống độc, Bệnh viện Bạch Mai, cho biết loại thuốc tê dùng cho bệnh nhân ở dạng gel, chứa lidocain với hàm lượng trên 15% (rất cao so với loại thuốc tê dùng để tiêm, thường chỉ ở nồng độ 2%). Loại gel gây tê này đồng thời có chứa tá dược là methylparaben cũng có thể gây dị ứng. Trường hợp của bệnh nhân là ca điển hình của ngộ độc thuốc tê do bị quá liều thuốc tê lidocain.
Ban đầu, bệnh nhân không may bị sốc phản vệ nhiều khả năng là do methyl paraben. Rồi sau đó khi thuốc tê ngấm từ từ qua da tới mức gây ngộ độc, gây loạn nhịp tim muộn thì cũng là lúc bệnh nhân đã ở BV, được điều trị một cách phù hợp giúp qua khỏi tình trạng ngộ độc thuốc tê.
BS Nguyên khuyến cáo, ngộ độc thuốc gây tê rất nặng, nguy kịch, dễ tử vong và dễ dàng xảy ra với nhiều phẫu thuật, thủ thuật thẩm mỹ như bôi thuốc tê rộng trên da, đặc biệt kết hợp lăn kim trên da hoặc trên vùng da có tổn thương hoặc bệnh da có sẵn, gây tê lấy mỡ bụng, gây tê tủy sống. Đây đều là các trường hợp đòi hỏi người thực hiện là các nhân viên y tế được đào tạo chuyên khoa và tiến hành ở các BV có điều kiện cấp cứu hồi sức mới có thể đủ năng lực phòng tránh và xử trí các tai biến ngộ độc do thuốc tê.
