Đi tiểu nhiều, đi khám mới hay khối u 2,8 kg ở vùng chậu

(PLO)- Khối u lớn chèn ép ruột, bọng đái là nguyên nhân khiến người phụ nữ khó tiêu, đi tiểu nhiều lần trong ngày.

Ngày 18-7, BS Nguyễn Triệu Vũ, khoa Ung bướu BV quận Thủ Đức cho biết khoa vừa tiến hành phẫu thuật cắt hoàn toàn khối u bạch mạch tại vùng chậu cho chị NTKA (35 tuổi). Trước đó, chị A. đến khám tại bệnh viện vì thấy bụng ngày càng lớn dần, kèm đau nhẹ, khó tiêu, đi tiểu nhiều lần.

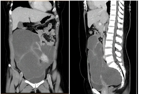
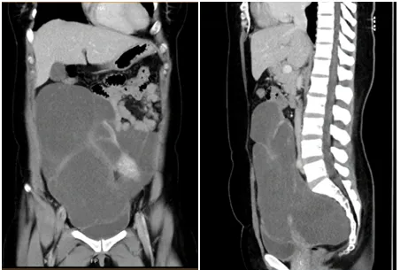
Qua thăm khám kết hợp với siêu âm, chụp CT, bác sĩ phát hiện chị A. có khối u rất lớn, chiếm 2/3 ổ bụng, chèn ép ruột, bọng đái. Ngày 4-7, chị A. được phẫu thuật, mặc dù khối u rất lớn dính vào ruột non, ruột già, bọng đái, tử cung, buồng trứng, vách chậu và xương cùng nhưng các bác sĩ vẫn cắt hoàn toàn khối u, bảo vệ an toàn các cơ quan khác, nhất là khi khối u len vào giữa xương cùng và trực tràng.

Khối bướu có kích thước 20x30 cm, cân nặng 2,8 kg, mô bướu rất bở, len lỏi vào các cơ quan khác nên việc mổ cắt trọn u là việc rất phức tạp.

Hình CT scan khối u chiếm gần toàn bộ ổ bụng, từ vùng chậu lên đến sát gan

Kết quả xét nghiệm cho thấy đây là khối u bạch mạch. U bạch mạch là khối u hiếm gặp, hình thành từ phát triển bất thường của hệ bạch huyết, thông thường u bạch mạch xuất hiện ở da, vùng đầu cổ, nách… khối u nằm sâu trong vùng chậu như trên là rất hiếm gặp.
Phần lớn khối u bạch mạch là lành tính và phát triển chậm, không gây triệu chứng, do đó có thể theo dõi không cần phẫu thuật. Nếu khối bướu lớn, gây chèn ép, đau, nhiễm trùng thì cần phải phẫu thuật, tuy nhiên do u thường mủn, mềm, giới hạn kém rõ bao gồm nhiều hốc, nang nhỏ, dễ vỡ nên khó cắt trọn, nếu phẫu thuật không triệt để, khối u dễ tái phát. 

Đừng bỏ lỡ

Video đang xem nhiều

Đọc thêm