Điều trị suy tĩnh mạch chỉ bằng 1 mũi kim châm

(PLO)- Bệnh nhân được điều trị suy tĩnh mạch do tắc nghẽn bằng can thiệp nội mạch có thể xuất viện sau một ngày phẫu thuật, tỉ lệ biến chứng và tử vong là hoàn toàn không có.

Ngày 4-5, ThS-BS Lê Thanh Phong, khoa Lồng ngực mạch máu, BV ĐH Y Dược TP.HCM, cho biết sau gần hai năm thực hiện kỹ thuật điều trị suy tĩnh mạch do tắc nghẽn bằng can thiệp nội mạch, đến nay BV đã thực hiện thành công hơn 20 ca phẫu thuật cho bệnh nhân. Hiện nay, BV ĐH Y Dược TP.HCM trở thành BV đầu tiên trên cả nước thực hiện được loại hình phẫu thuật này, mang lại nhiều lợi ích cho người bệnh.

Điển hình là bệnh nhân BTG (SN 1995, ngụ TP.HCM) nhập viện do sốc nhiễm trùng chân trái sưng to, căng bóng, đỏ da và rất đau. Bệnh nhân cho biết mình đã bị phù chân từ nhiều năm nay, thường xuyên phải vào BV điều trị vì nhiễm trùng máu có nguồn gốc từ nhiễm trùng chân trái.

Đối với kỹ thuật này, bệnh nhân có thể xuất viện ngay sau phẫu thuật.

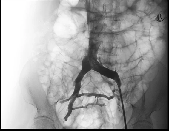
Tại đây, các bác sĩ khoa Lồng ngực mạch máu của BV đã chẩn đoán bệnh có nguồn gốc từ hội chứng chèn ép tĩnh mạch chậu và tắc mạch huyết chân, cần phải điều trị tải thông mạch máu. Sau đó bà G. được nong bóng và đặt stent vào tĩnh mạch chậu, tải thông dòng máu về tim.

Ngày hôm sau, chân bà G. đã giảm phù gân, tình trạng viêm mô tế bào cũng được cải thiện rõ. Sau hai tuần điều trị, chân bà đã giảm phù được gần 50% so với trước khi can thiệp.

Một trường hợp khác là bệnh nhân LTH (SN 1956, ngụ Sóc Trăng) nhập viện vào tháng 7-2015 trong tình trạng đau và loét chân không lành.

Theo bệnh nhân, tám năm trước bà thường xuyên bị phù chân trái khi đứng lâu hay đi lại. Tuy nhiên, khoảng hai năm nay, ngoài bị phù bà còn bị kèm theo các triệu chứng như nổi các tĩnh mạch ngoài da, đau chân khi đứng lâu hay đi lại. Hai tháng trước khi nhập viện, một vết loét ở mắt cá trong chân trái xuất hiện, gây chảy dịch và đau đớn.

Các biến chứng hầu như không có sau khi phẫu thuật.

Các bác sĩ khoa Lồng ngực mạch máu, BV ĐH Y Dược chẩn đoán bệnh nhân bị suy tĩnh mạch giai đoạn cuối do hội chứng chèn ép tĩnh mạch chậu. Bà H. cũng được điều trị bằng nong bóng và đặt stent tải thông tĩnh mạch chậu thành công.

“Sau mổ, tình trạng phù chân của bà H. giảm rõ rệt. Khoảng 10 ngày sau vết loét lành hoàn toàn và hết đau. Các triệu chứng suy tĩnh mạch khác cũng được cải thiện dần sau đó. Theo dõi đến nay đã hơn hai năm, chúng tôi thấy tình trạng suy tĩnh mạch không tái phát và các kết quả kiểm tra cho thấy tĩnh mạch chậu được tải thông vẫn hoạt động tốt, không tải hẹp” - BS Phong nói.

Theo ThS-BS Lê Thanh Phong, trước đây hội chứng chèn ép tĩnh mạch chặn được điều trị bằng phẫu thuật, rất phức tạp, mất nhiều máu và gây đau đớn. Ngày nay, với sự phát triển của can thiệp nội mạch, hội chứng này có thể điều trị khỏi bằng cách nong bóng và đặt giá đỡ tĩnh mạch (stent) chỉ qua một vết đâm kim vùng bẹn đùi. Người bệnh có thể đi lại vài giờ sau mổ và có thể xuất viện trong ngày. 

Đừng bỏ lỡ

Video đang xem nhiều

Đọc thêm