Ngày 4-5, tin từ Bệnh viện Đa khoa Trung ương Cần Thơ cho biết các bác sĩ vừa phẫu thuật cho bệnh nhân bị vết thương tim do dị vật đâm xuyên trong lúc cắt cỏ.
Bệnh nhân là ông B. (35 tuổi) nhập viện trong tình trạng vết thương ¼ trên bụng phải, kích thước khoảng 2x5 mm.
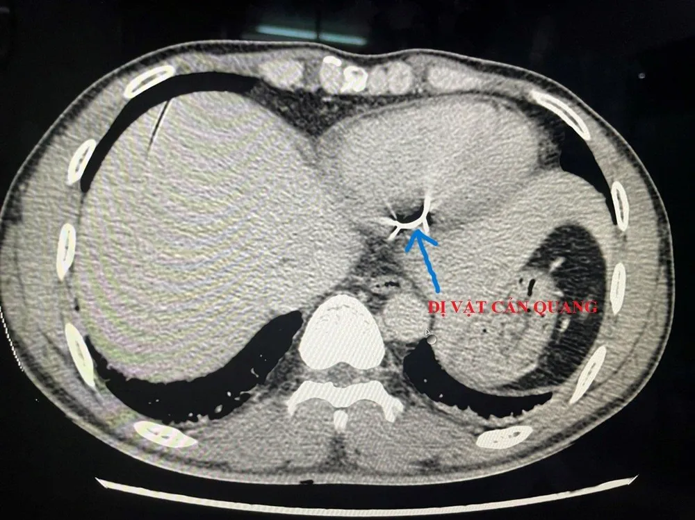
![]() |
Hình ảnh chụp cắt lớp phát hiện dị vật trong tim bệnh nhân. Ảnh: BVCC |
Trước đó, trong khi dùng máy cắt cỏ, không may ông B. cắt nhầm dây kẽm gai khiến mảnh lưỡi máy cắt bị đứt, đâm xuyên bụng.
Cho rằng vết thương chỉ đau nhẹ, không nghiêm trọng, ít chảy máu nên ông không đi khám.
Hôm sau, ông B. thấy mệt, khó thở, đau nhói ngực ngày càng nhiều nên nên đến bệnh viện địa phương khám và được chuyển lên tuyến trên.
Kết quả X-quang ngực - tim - phổi - thẳng, siêu âm tim màu, chụp cắt lớp cho thấy có 1 dị vật nằm dọc thành sau thất trái và có thông vào buồng tim. Bệnh nhân ngay lập tức được chỉ định phẫu thuật cấp cứu.
Ê-kíp phẫu thuật tiến hành mở màng ngoài tim thấy có ít máu loãng và máu cục, có nhiều giả mạc dọc bờ tim phải và mặt sau tim.
Thám sát thấy cơ hoành có 1 vết thương nhỏ đã bít lại, thành sau thất trái bầm giập khoảng 3x3 cm có giả mạc. Thành cơ tim có vết thương nhỏ, sờ trên bề mặt thành sau thất trái thấy dị vật, tiến hành gắp dị vật là một đoạn kim loại dài 4x0,4 cm, máu phun thành tia.
![]() |
Dị vật lấy ra từ tim bệnh nhân. Ảnh: BVCC |
![]() |
Hiện bệnh nhân tỉnh, tự thở, dấu hiệu sinh tồn ổn định, vết mổ khô và đang được điều trị. Ảnh: BVCC |
Hiện ông B. đã tỉnh táo, tự thở, dấu hiệu sinh tồn ổn định.


