Hoảng hồn phát hiện bác sĩ để quên kẹp trong bụng suốt 23 năm

(PLO)- Ban đầu, bác sĩ chụp X-quang nói rằng bà đang giấu một chiếc kéo trong túi áo, nhưng sau đó họ hoảng hốt phát hiện ra nó thực sự nằm trong bụng bà.

Một người phụ nữ Nga đã thực sự kinh hãi khi phát hiện ra một dụng cụ y khoa đã nằm suốt trong bụng bà 23 năm, sau khi bà sinh mổ tại một bệnh viện ở Nga, tờ Daily Mail đưa tin.

Vào năm 1996, bà Gobeeva mang thai và sinh mổ. Lúc bấy giờ bác sĩ đã bỏ quên một dụng cụ y khoa dài khoảng 15 cm trong bụng bà mà không hay biết. Ảnh: EAST2WEST NEWS

Bà Ezeta Gobeeva, 62 tuổi, đã trải qua nhiều năm đau đớn và các bác sĩ thì chẩn đoán rằng bà bị gan và liên tục kê thuốc giảm đau cho bà. Tuy nhiên, mới gần đây bà mới phát hiện ra được nguyên nhân cơn đau đó.

Vào năm 1996, bà Gobeeva mang thai và sinh mổ. Lúc bấy giờ bác sĩ đã bỏ quên một dụng cụ y khoa dài khoảng 15 cm trong bụng bà mà không hay biết.

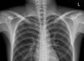
Gần đây, khi không thể chịu được cơn đau hơn nữa, bà đã quyết định đi chụp X-quang để xác định nguyên nhân gây ra sự khó chịu cùng cực của mình.

Ban đầu, bác sĩ chụp X-quang nói rằng bà đang giấu một chiếc kéo trong túi áo, nhưng sau đó họ hoảng hốt phát hiện ra nó thực sự nằm trong bụng bà.

"Có một cái kẹp nằm bên trong bụng của bà", bác sĩ nói và cho bà Gobeeva xem hình ảnh X-quang.

Bà Gobeeva đã thực sự rất sốc, ban đầu bà thậm chí không nhớ ra được vì sao cái kẹp lại nằm ở đó. Ảnh: EAST2WEST NEWS

Bà Gobeeva đã thực sự rất sốc, ban đầu bà thậm chí không nhớ ra được vì sao cái kẹp lại nằm ở đó. 

"Tôi đã chịu đựng nổi đau kinh khủng này suốt bao nhiêu năm, và còn phải uống thuốc giảm đau mỗi đêm", bà Gobeeva vừa nói vừa khóc.

Bộ y tế ở khu vực Bắc Ossetia-Alania, Nga đã vào cuộc điều tra vụ bê bối này. Chính quyền cũng cho biết sẽ trả tất cả các khoản chi phí để phẫu thuật lấy cây kẹp ra khỏi bụng bà Gobeeva, cũng như dự kiến sẽ bồi thường tài chính xứng đáng cho bà.

Đừng bỏ lỡ

Video đang xem nhiều

Đọc thêm