Hóc 4 chiếc răng giả, cụ ông 90 tuổi suýt tắt thở

(PLO)- Trong khi làm răng giả, cụ ông 90 tuổi bị cả cầu răng giả bốn chiếc rơi vào phế quản đe dọa tính mạng.

Sáng 24-9, BV Phổi Trung ương (Hà Nội) cho biết vừa nội soi phế quản cấp cứu cứu sống cụ ông 90 tuổi bị rơi cả cầu răng giả bốn chiếc vào phế quản, gây hẹp gần hoàn toàn phế quản gốc trái và đe dọa tính mạng. 

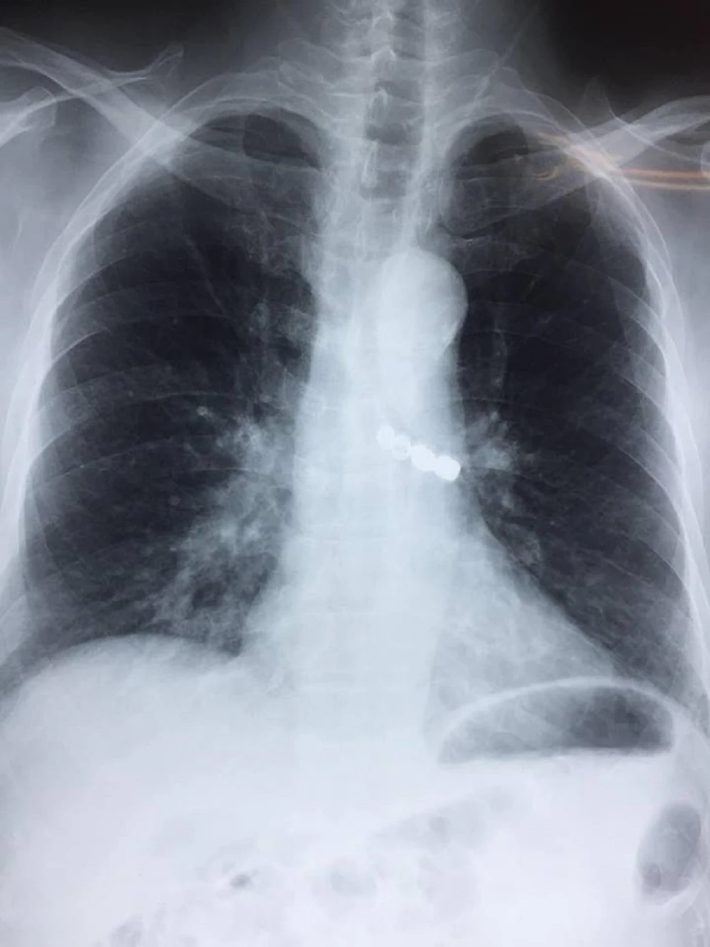
Theo gia đình kể lại, ông cụ đi làm răng giả, bị rơi răng giả vào bụng. Tại BV đa khoa tỉnh Thái Bình, bệnh nhân đã được nội soi dạ dày nhưng không thấy dị vật. Sau khi được chụp phim X-quang phổi thì phát hiện ra dị vật trong đường thở. Bệnh nhân sau đó được chuyển cấp cứu lên BV Phổi Trung ương.

“Người bệnh được nhập viện vào lúc 11 giờ 45 ngày 23- 9 trong tình trạng ho nhiều, khó thở. Các bác sĩ đã khẩn trương hội chẩn và quyết định nội soi phế quản cấp cứu để gắp dị vật khí quản, giải phóng tắc nghẽn đường thở nhằm cứu sống người bệnh” - ThS-BS Nguyễn Lê Nhật Minh, Trưởng khoa Nội soi chẩn đoán và can thiệp, BV Phổi Trung ương, cho biết.

Người bệnh đã nhanh chóng được gắp thành công dị vật ra khỏi phế quản, giải phóng đường thở. Dị vật là một cầu răng sứ bốn răng hàm dài 3,5 cm.

Đừng bỏ lỡ

Video đang xem nhiều

Đọc thêm