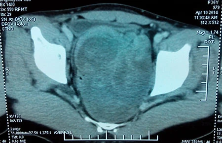
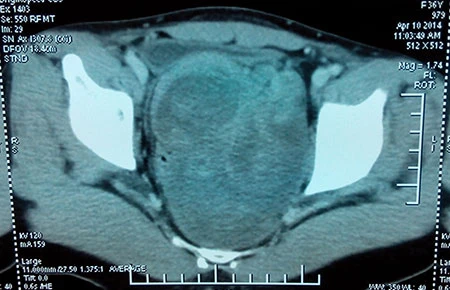
Trước đó, bệnh nhân M. được chuyển đến bệnh viện với chuẩn đoán ung thư tử cung (tử cung đôi). Qua kiểm tra, làm các bước xét nghiệm, chụp CT bụng chậu và chụp MRI, xác định đây là một trường hợp bị u trước xương cùng cụt (hay còn gọi là u sau trực tràng). Sau gần bốn giờ phẫu thuật, khối u với kích thước 11 x 8 x 5 cm trong cơ thể bệnh nhân đã được lấy ra trọn vẹn qua đường mổ bụng. Kết quả xét nghiệm cho thấy đây là khối u sợi thần kinh lành tính.

Bệnh nhân M. bị u trước xương cùng cụt khá hiếm gặp. Ảnh: LT
Theo các bác sĩ khoa Tiêu hóa (BV Ung thư) thì u trước xương cùng cụt là bệnh lý khá hiếm gặp. Do khối u vùng này thường phát triển từ từ nên các triệu chứng biểu hiện một cách âm thầm, khi có triệu chứng thì u đã to và chèn ép các cơ quan trong tiểu khung. Khối u vùng này khó chẩn đoán và dễ chẩn đoán nhầm với các bệnh lý khác (nhất là bệnh lý phụ khoa ở phụ nữ). Ngoài ra, việc phẫu thuật rất phức tạp vì khối u vùng này nằm sâu trong tiểu khung, khó tiếp cận và có nhiều cấu trúc giải phẫu dễ bị tổn thương trong quá trình phẫu thuật có thể gây chảy máu khó cầm.
Hiện sức khỏe bệnh nhân M. đã dần ổn định.
TẤN TÀI