Mua thuốc online trị mẩn ngứa, bị nấm da toàn thân

(PLO)- Bệnh nhân nam 64 tuổi bị mảng đỏ toàn thân kèm ngứa nhiều, mua thuốc bôi trên mạng rồi nhiễm nấm da toàn thân.

0:00 / 0:00
0:00
  • Nam miền Bắc
  • Nữ miền Bắc
  • Nữ miền Nam
  • Nam miền Nam

Ngày 23-5, Viện Sốt rét – Ký sinh trùng – Côn trùng TP.HCM thông tin mới tiếp nhận một người bệnh nam 64 tuổi ở Tiền Giang trong tình trạng ngứa, xuất hiện nhiều mảng đỏ toàn thân.

Nấm da toàn thân do tự điều trị mẩn ngứa
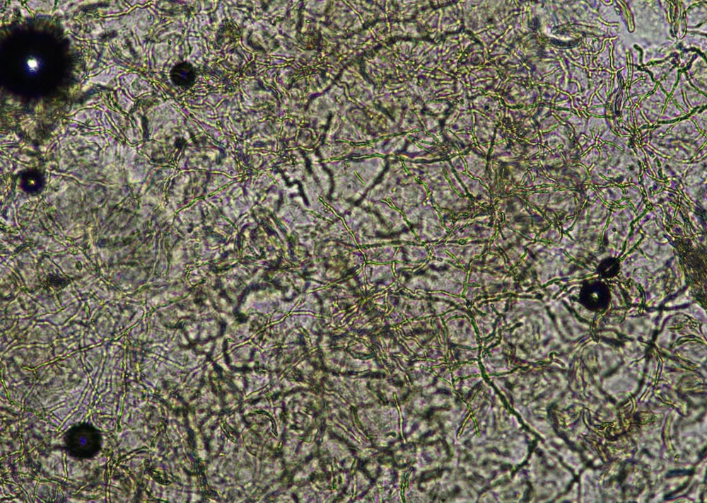
Hình ảnh nấm sợi dưới kính hiển vi. Ảnh: VCC

Bệnh nhân cho biết, biểu hiện trên đã xuất hiện được hơn 6 tháng.

Thời gian đầu xuất hiện các mảng đỏ hình tròn trên da và ngứa ở vùng bụng, bệnh nhân tự mua thuốc uống và bôi nhưng chỉ đỡ ngứa, các đám đỏ lặn bớt.

Vài tuần sau tái lại, ngứa nhiều hơn và lan rộng xuống mông, đùi, lên tay, nách, lưng…

Qua thăm khám lâm sàng, bác sĩ chỉ định làm một số xét nghiệm như soi tươi tìm sợi nấm có phát hiện các sợi nấm chia đốt trên nền tế bào sừng.

Bệnh nhân được chẩn đoán nhiễm nấm da toàn thân và được kê đơn thuốc điều trị tại nhà, hướng dẫn chế độ sinh hoạt, vệ sinh phù hợp để hạn chế tái phát.

Nấm da toàn thân do tự điều trị mẩn ngứa
Bệnh nhân bị nấm da toàn thân ngứa nhiều hơn và lan rộng xuống mông, đùi, lên tay, nách, lưng…Ảnh: VCC

Bà Phạm Thị Thu Giang, chuyên khoa I xét nghiệm, Viện Sốt rét – Ký sinh trùng – Côn trùng TP.HCM khuyến cáo người dân cần chú ý giữ quần áo, giày dép khô ráo, thoáng mát. Sau khi lội nước, gặp mưa ướt cần vệ sinh tay chân với xà phòng và nước sạch, lau khô.

Khi phát hiện vùng da bị ngứa và xuất hiện các chấm đỏ lây lan hình vòng cung, cần đến cơ sở y tế chuyên khoa khám, xét nghiệm để có thuốc uống, bôi phù hợp, tránh để lây lan sang vùng da khác trên cơ thể.

“Việc sử dụng thuốc điều trị không đúng cách có thể khiến tình trạng bệnh trở nên nghiêm trọng hơn và cần thời gian điều trị kéo dài hơn”, bà Giang nói.

Đừng bỏ lỡ

Video đang xem nhiều

Đọc thêm