Bệnh viện Đại học Y Hà Nội vừa chia sẻ hai trường hợp xoắn tinh hoàn nhập viện cấp cứu quá muộn.
Trường hợp thứ nhất 16 tuổi, xuất hiện cơn đau dữ dội ở tinh hoàn trái, sau đó đỡ đau nên không đi khám ngay.
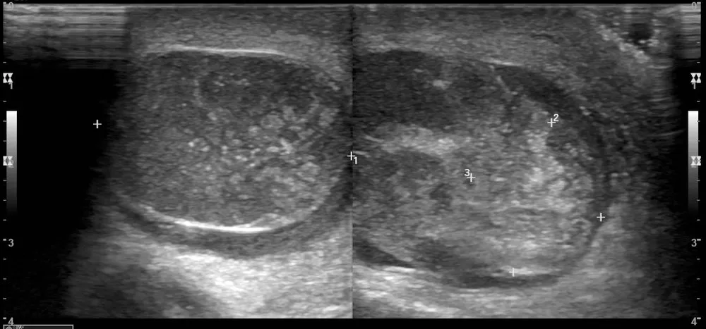
Do nhập viện muộn, qua siêu âm, xét nghiệm thấy tinh hoàn bắt đầu có dấu hiệu hoại tử, bệnh nhân được chỉ định mổ cấp cứu. Nhưng tinh hoàn trái có tổn thương tiên lượng không hồi phục, buộc phải cắt bỏ.
Trường hợp thứ hai 18 tuổi, đau dữ dội một bên tinh hoàn lúc nửa đêm, không đi cấp cứu ngay mà đợi sáng hôm sau.
Qua thăm khám lâm sàng, bác sĩ phát hiện tình trạng xoắn tinh hoàn, chỉ định mổ cấp cứu. Trường hợp này may mắn cứu được tinh hoàn bị xoắn.
![]() |
Đến khi đi khám thì tinh hoàn đã bắt đầu có dấu hiệu hoại tử trên siêu âm và xét nghiệm. Ảnh: BSCC |
Khoa Nam học, Bệnh viện Đại học Y Hà Nội cho biết đau tinh hoàn cấp tính là triệu chứng khá phổ biến và điển hình ở nam giới, nguyên nhân chủ yếu là xoắn tinh hoàn.
Triệu chứng điển hình là đau tức đột ngột, dữ dội, cấp tính ở tinh hoàn bên bị xoắn. Quan sát bằng mắt có thể thấy tinh hoàn xoay trục nằm ngang, vị trí cao hơn bình thường.
Bệnh nhân thường cảm thấy đau dữ dội hơn khi dùng tay nâng tinh hoàn bên đau. Tuy nhiên, cũng có trường hợp chỉ đau tức âm ỉ.
Xoắn gây thiếu máu cấp tính, nếu không can thiệp kịp thời, các tổn thương không hồi phục về cấu trúc và chức năng tinh hoàn sẽ bắt đầu xuất hiện 4-8 giờ sau khi xuất hiện đau tức. Thời gian vàng là 6 giờ đầu tiên, có thể cứu sống 90-100% tinh hoàn bị xoắn. Kết quả này sẽ giảm xuống dưới 50% nếu bệnh nhân đến sau 12 giờ, 10% nếu bệnh nhân đến sau 24 giờ.
Đau cấp do xoắn tinh hoàn có thể gặp ở bất cứ lứa tuổi nào, nhưng chủ yếu ở tuổi sơ sinh và dậy thì, trước 18 tuổi.
Qua các trường hợp đã khám, điều trị, Bệnh viện Đại học Y Hà Nội cho biết bệnh nhân thường chủ quan, hay có tâm lý e ngại nên nhập viện muộn, hậu quả dẫn đến hoại tử và phải cắt tinh hoàn.
