Nam thanh niên nhập viện vì nuốt xương heo khi ăn cháo

(PLO)- Nuốt xương heo khi ăn cháo, nam thanh niên ở Huế phải nhập viện để phẫu thuật gắp dị vật ra ngoài.

0:00 / 0:00
0:00
  • Nam miền Bắc
  • Nữ miền Bắc
  • Nam miền Nam

Ngày 6-1, Bệnh viện Trung ương Huế cho biết đã thực hiện thành công ca phẫu thuật gắp dị vật đường ăn lớn, nguy hiểm, cứu sống bệnh nhân nam 26 tuổi.

Trước đó, bệnh nhân Lê Tất V (26 tuổi, ngụ phường Xuân Phú, quận Thuận Hóa, TP Huế) trong khi ăn cháo đã vô tình nuốt xương heo.

nhập viện vì nuốt xương heo khi ăn cháo
Nam thanh niên nhập viện vì nuốt xương heo khi ăn cháo.

Do điều kiện gia đình, bệnh nhân không đến được bệnh viện ngay sau mắc dị vật. Đến khi cơn đau dữ dội ở vùng cổ họng khiến bệnh nhân không thể ăn uống được, khó thở nhẹ và sưng đau vùng cổ trái thì bệnh nhân mới nhập viện.

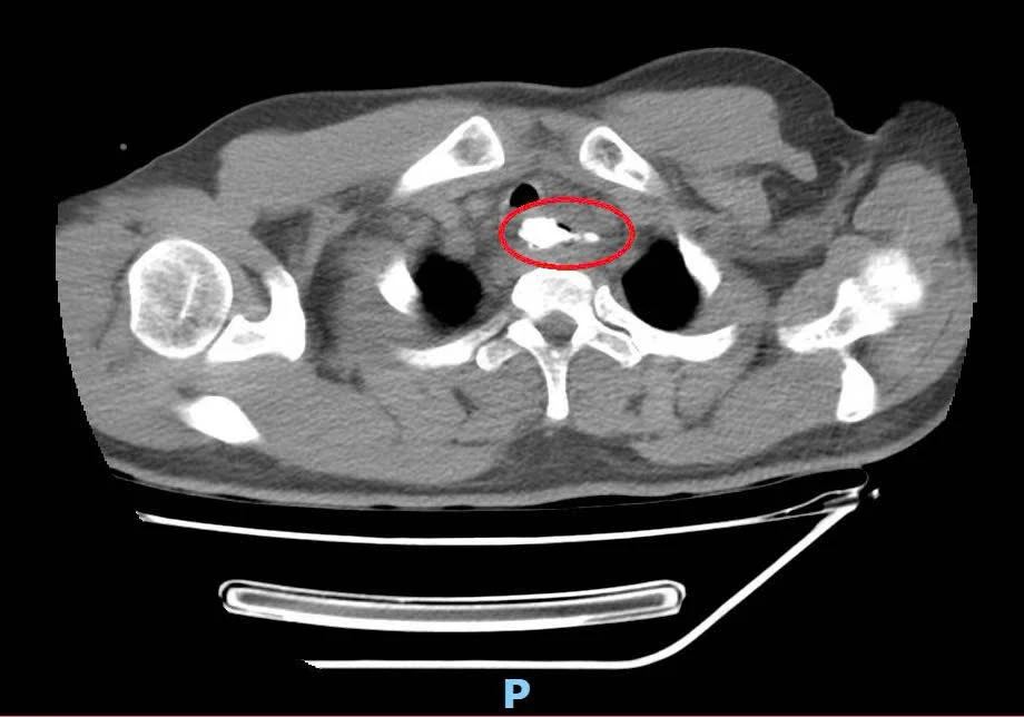
Qua thăm khám và kiểm tra, các bác sĩ phát hiện một dị vật là mẩu xương lớn nằm ở thực quản đoạn ngực, có khả năng gây thủng thực quản, tổn thương nghiêm trọng đến các cơ quan xung quanh.

Ngay lập tức, bệnh nhân được chuyển đến phòng mổ để tiến hành nội soi thực quản ống cứng lấy dị vật.

nuot-xuong-heo.jpg
Lỡ nuốt xương heo khi ăn cháo, nam thanh niên phải nhập viện phẫu thuật.

Trong quá trình phẫu thuật kéo dài hơn một giờ, đội ngũ nhân viên y tế của các chuyên khoa Ngoại nhi cấp cứu bụng, Tai mũi họng, Gây mê hồi sức phối hợp lấy dị vật mà không làm tổn hại thêm đến thực quản.

Dị vật là mẩu xương heo có mấu nhọn, kích thước 30 x 41mm, nằm ở thực quản đoạn ngực, cách cung răng trên 20cm.

Sau phẫu thuật, bệnh nhân được đưa vào phòng hồi sức theo dõi. Hiện tình trạng sức khỏe của bệnh nhân đã ổn định, dần phục hồi.

Đừng bỏ lỡ

Video đang xem nhiều

Đọc thêm