Người phụ nữ nhiễm trùng đường mật do sỏi, phải cắt bỏ một phần gan

(PLO)- Bệnh nhân nhập viện trong tình trạng đau bụng thượng vị và hạ sườn trái tăng dần, được phát hiện bị nhiễm trùng đường mật do sỏi gan thùy trái.

0:00 / 0:00
0:00
  • Nam miền Bắc
  • Nữ miền Bắc
  • Nữ miền Nam
  • Nam miền Nam

Ngày 8-4, Bệnh viện TP Thủ Đức, TP.HCM, thông tin vừa thực hiện thành công ca phẫu thuật cắt thuỳ trái gan cho bệnh nhân bị sỏi gan biến chứng.

Trước đó, ngày 26-3, bệnh nhân nữ (46 tuổi, ngụ phường Tam Phú, TP Thủ Đức) nhập viện trong tình trạng đau bụng thượng vị và hạ sườn trái tăng dần trong 2 ngày.

Người phụ nữ bị nhiễm trùng đường mật do sỏi, phải cắt bỏ một gần gan
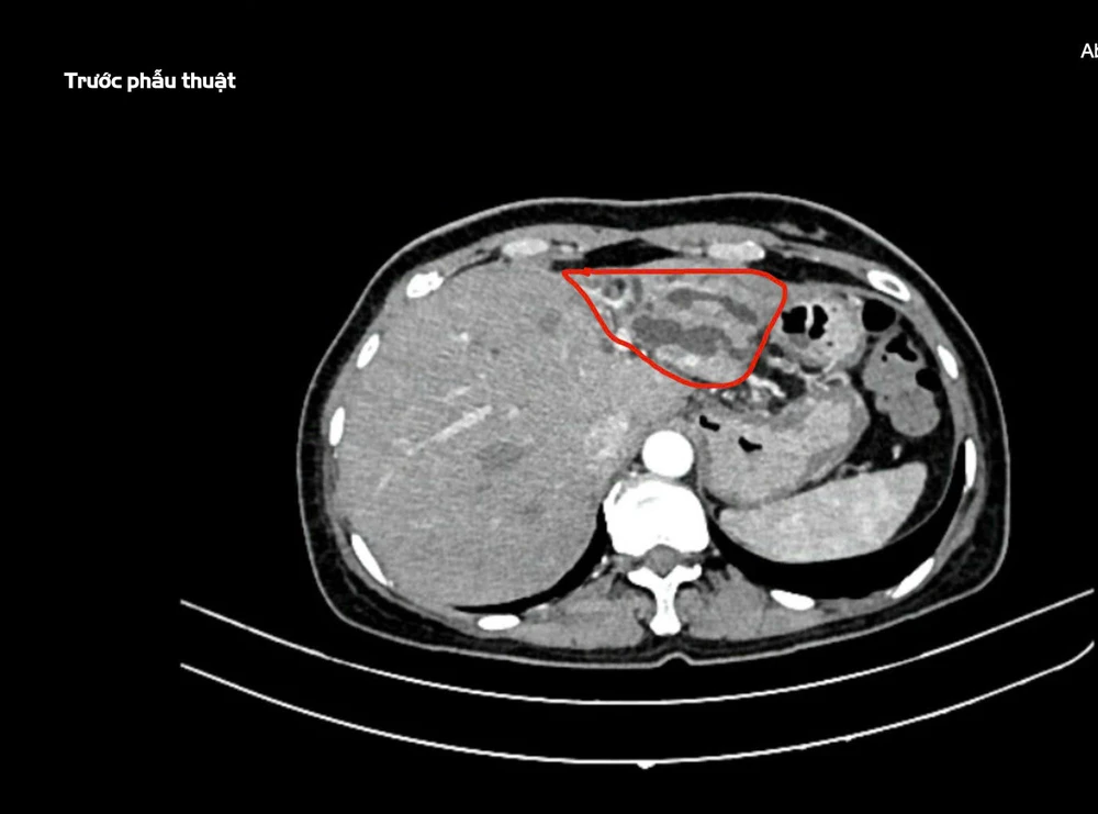
Hình ảnh nhiễm trùng đường mật do sỏi gan thùy trái, trước phẫu thuật. Ành: BVCC

Qua thăm khám lâm sàng và chẩn đoán hình ảnh, các bác sĩ phát hiện bệnh nhân bị nhiễm trùng đường mật do sỏi gan thùy trái, biến chứng viêm teo thùy trái gan trên nền bệnh đái tháo đường type II.

Sau 1 tuần điều trị nội khoa tích cực, bệnh nhân được phẫu thuật vào ngày 3-4.

nguoi-phu-nu-bi-nhiem-trung-duong-mat-do-soi-phai-cat-bo-mot-gan-gan-post0.htmld.html.jpg
Một phần gan được cắt bỏ. Ảnh: BVCC

Theo bác sĩ chuyên khoa 1 Hồ Nam Anh – khoa Ngoại tổng quát, trước khi phẫu thuật, bệnh nhân được điều trị nội khoa tích cực bằng kháng sinh, kiểm soát đường huyết và các biện pháp hồi sức. Đến khi tình trạng nhiễm trùng được kiểm soát, các y bác sĩ mới phẫu thuật cắt bỏ thuỳ trái gan.

“Ca phẫu thuật diễn ra thuận lợi, ê-kip phẫu thuật đã lấy được nhiều sỏi trong gan, bơm rửa đường mật thông thoáng và cắt bỏ toàn bộ thùy trái gan” - bác sĩ Nam Anh nói.

Sau 2 ngày phẫu thuật, hiện sức khỏe bệnh nhân ổn định, đau vết mổ ít.

Đừng bỏ lỡ

Video đang xem nhiều

Đọc thêm