Nhập viện phẫu thuật vì răng 'chui vào' tay

(PLO) – Báo DailyMail đưa tin, một thanh niên người Ấn Độ đã nhập viện với bàn tay sưng tấy. Sau khi chụp X-quang, các bác sỹ phát hiện ra một chiếc … răng người găm vào giữa hai đốt tay mà anh ta hoàn toàn toàn không hề hay biết.

Được biết anh chàng này mới 19 tuổi, là người lao động chân tay. Anh cho biết khi đang tập boxing buổi tối hôm trước, anh chẳng may đấm vào miệng em trai mình khi cậu em tình cờ đứng trong tầm đánh, nhưng không hay em trai bị mất một chiếc răng. Sau khi bị đánh, người thanh niên này không biết được mức độ nghiêm trọng của vết thương do em trai anh ta vội vã bỏ chạy.

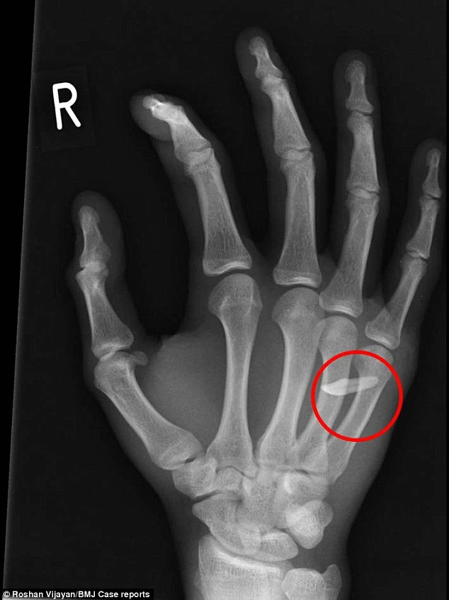
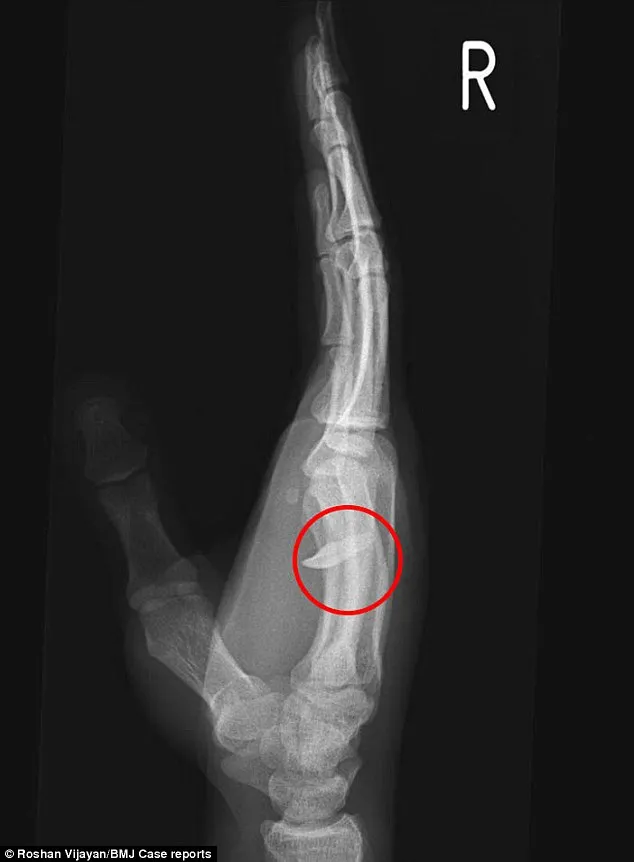
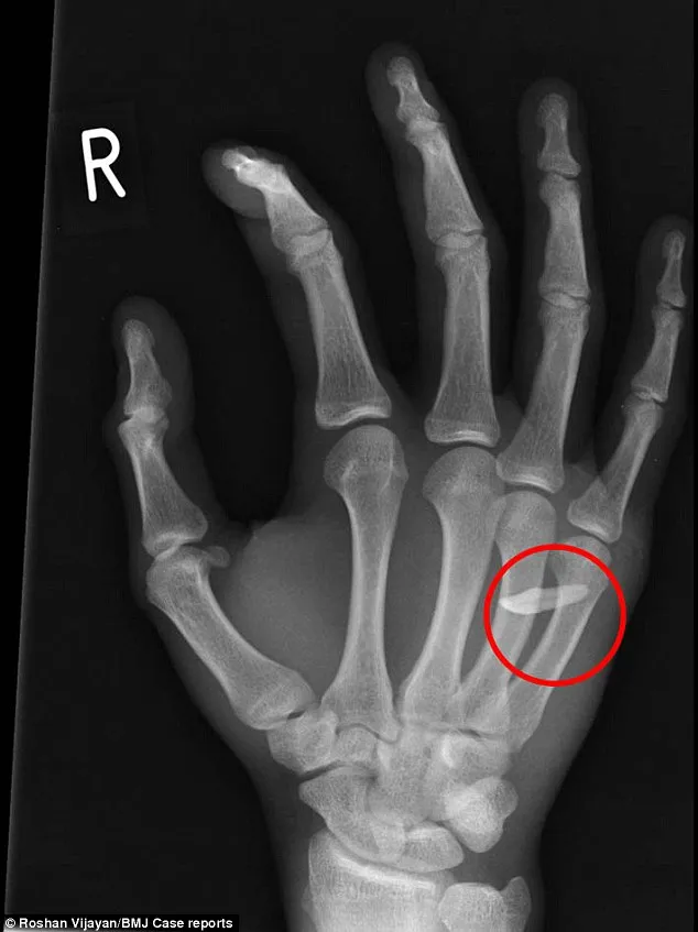
Ảnh X-quang cho thấy chiếc răng đã 'chui vào' bàn tay của bệnh nhân (Nguồn: Daily Mail)

Chỉ nhìn thấy một vết cắt nhỏ, anh rửa vết cắt trên tay mình dưới vòi nước trước khi đi ngủ. Ngày hôm sau tỉnh dậy, tay anh ta sưng to đến mức không thể cử động được dù chỉ một ngón. Khi đến phòng cấp cứu, anh được tiêm một liều vắc xin uốn ván, một liều kháng sinh và khử trùng vết thương với nước muối.

Bác sĩ chẩn đoán anh bị nhiễm trùng do một vết cắn và yêu cầu chụp X-quang. Ngay sau đó, họ sửng sốt khi phát hiện ra cả một chiếc răng người găm vào bàn tay của người thanh niên.

Ảnh X-quang cho thấy chiếc răng đã 'chui vào' bàn tay của bệnh nhân (Nguồn: Daily Mail)

Tế bào cơ xung quanh chiếc răng nằm giữa ngón áp út và ngón út đã chết. Vết thương sau phải để trong trạng thái mở trong một ngày và anh chàng phải giữ tay mình trong trạng thái lơ lửng suốt 1 đêm trong bệnh viện để bác sỹ quan sát. Ngày hôm sau, anh ta được phẫu thuật để khâu lại vết thương. Anh ta xuất viện hai ngày sau đó.

Bác sỹ cho biết vết thương do người cắn cũng vô cùng nguy hiểm nếu không được điều trị đúng cách. Vết thương có thể bị nhiễm trùng nghiêm trọng do vi khuẩn có trong nước bọt của con người.

Đừng bỏ lỡ

Video đang xem nhiều

Đọc thêm