Phát hiện mới về đường lây nhiễm và triệu chứng Corona

(PLO)- Nghiên cứu cho thấy triệu chứng nhiễm virus Corona mới có thể là tiêu chảy và virus có thể lây qua đường tiêu hóa.

Các chuyên gia Trung Quốc cảnh báo chủng virus Corona mới có thể lây truyền qua đường tiêu hóa, hãng thông tấn Tân Hoa xã đưa tin ngày 2-2.

Họ đã tìm thấy acid nucleic của chủng virus này trong phân và bệnh phẩm trực tràng của bệnh nhân sau khi họ xuất hiện các triệu chứng ban đầu là tiêu chảy, thay vì triệu chứng sốt như đa số bệnh nhân khác.

Đội ngũ nghiên cứu tin rằng virus Corona mới có thể lây truyền khi người lành tiếp xúc với dịch phẩm chứa virus qua đường miệng. 

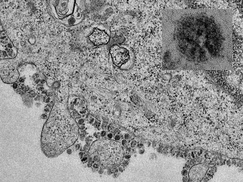
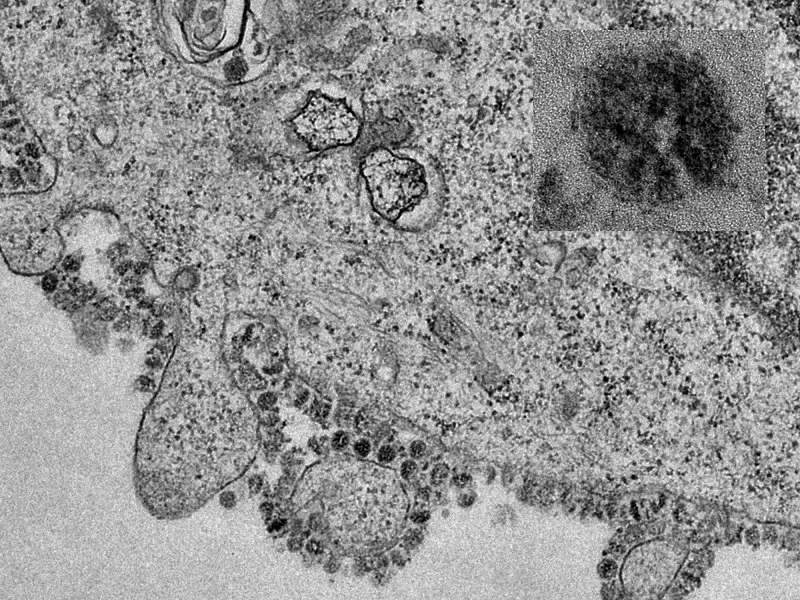
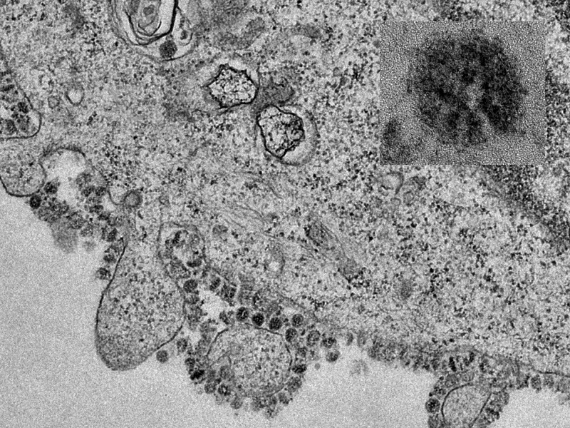
Hình ảnh hiển vi đầu tiên về quá trình phân bào của virus Corona mới. Ảnh: SCMP

Những phát hiện mới này là kết quả nghiên cứu chung của các chuyên gia đến từ BV Nhân dân thuộc ĐH Vũ Hán, hợp tác cùng Viện nghiên cứu virus Vũ Hán thuộc Viện Hàn lâm Khoa học Trung Quốc - cơ quan hàng đầu về khoa học tự nhiên của nước này.

Chủng virus Corona mới đang gây dịch bệnh nghiêm trọng ở Trung Quốc. Tổ chức Y tế Thế giới (WHO) buộc phải ban bố tình trạng khẩn cấp y tế toàn cầu trước nguy cơ bùng phát và lây lan của chủng virus này.

Hiện ở Trung Quốc đã có 14.380 người nhiễm bệnh và 304 người tử vong sau khi nhiễm virus Corona mới. Tất cả trường hợp nhiễm bệnh đều ở tỉnh Hồ Bắc. 

Đừng bỏ lỡ

Video đang xem nhiều

Đọc thêm