Sống kỳ diệu với mảnh bom nằm trong tim 45 năm

(PLO)- Đến thời điểm lấy được dị vật nghi là mảnh bom ra ngoài, các bác sĩ vẫn chưa thể giải thích được vì sao vật này có thể chui vào ở trong tim bệnh nhân suốt 45 năm.

Ngày 25-8, BV ĐH Y Dược cho biết các bác sĩ nơi đây vừa phẫu thuật lấy dị vật và sửa van ba lá thành công cho một bệnh nhân khá lớn tuổi.

Đó là trường hợp nữ bệnh nhân Mai Thị T. (59 tuổi, ngụ phường 9, quận Gò Vấp, TP.HCM. Bệnh nhân cho biết cách đây một năm, bản thân thấy mệt khi gắng sức, đi kiểm tra sức khỏe tổng quát bác sĩ chẩn đoán bị tim và cần phẫu thuật. 

Tuy nhiên, do khi còn nhỏ bệnh nhân đã có một vết mổ khá dài trên bụng nên lần lữa nán lại. Đến khi được biết bệnh tim có thể mổ nội soi, bà hỏi thăm thêm tình hình và đăng ký mổ tại BV ĐH Y Dược.

Bệnh nhân T. phục hồi tốt sau khi phẫu thuật lấy dị vật và sửa van ba lá. Ảnh: HÀ PHƯỢNG

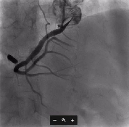
Qua siêu âm, bác sĩ ghi nhận người bệnh bị hở van ba lá rất nặng, tim phải giãn lớn. Bên cạnh đó, khi xem phim X-quang ngực thẳng và chụp mạch vành, các bác sĩ phát hiện trong tim có một mảnh dị vật cản quang.

Các bác sĩ quyết định chụp MSCT không cản quang cho người bệnh để xác định vị trí của dị vật. Bàn bạc cùng gia đình và người bệnh, TS-BS Nguyễn Hoàng Định, Trưởng khoa Phẫu thuật tim mạch - BV ĐH Y Dược, quyết định vẫn sẽ phẫu thuật.

Ảnh chụp X-quang dị vật.

Theo lời kể của người bệnh, cách đây 45 năm (tức lúc bà T. tầm 12 tuổi), khi đang đi thăm vườn dừa tại Bến Tre cùng mẹ và cô hàng xóm, ba người vô tình đạp phải mìn chôn dưới đất.

Cả ba đều bị thương, trong đó bà T. là người bị thương nặng nhất, được đưa đi cấp cứu tại một bệnh viện TP.HCM. Lúc đó, bác sĩ phẫu thuật của Hàn Quốc đã cứu sống được bà nhưng vì thời đó kỹ thuật y khoa chưa phát triển nên  êkíp phẫu thuật chưa thể mạo hiểm lấy dị vật trong tim, chấp nhận để lại trong cơ thể.

Điều đáng nói là trong suốt thời gian đó, bà T. sống bình thường khỏe mạnh. Mảnh mìn trong tim cũng tương đối “hòa thuận” với khổ chủ, không gây nên đau đớn gì.

Dị vật nằm trong tim bệnh nhân được tìm thấy qua hình ảnh nội soi.

Ngày 22-8 vừa qua, bệnh nhân đã được mổ nội soi lấy dị vật trong nhĩ phải, nằm sát đường đi của động mạch vành phải.
“Trước khi mổ, chúng tôi đã cho người nhà biết tim là bộ phận nhạy cảm, không thể dể dàng tách mở như nhiều bộ phận khác. Trong hơn 20 phút đầu, các bác sĩ lần theo đường mạch máu và chúng tôi đã rất sung sướng khi chạm được đến dị vật để lấy nó ra. Người bệnh sống sót được hơn 45 năm với dị vật trong tim là một điều kỳ diệu, khoa học chưa giải thích được” - BS Định chia sẻ.

Được biết đây là một trường hợp dị vật chiến tranh trong tim đầu tiên mà êkíp khoa Phẫu thuật tim mạch gặp phải và cũng là trường hợp đầu tiên một dị vật trong tim được lấy ra bằng phương pháp nội soi.

Hiện tại người bệnh đã được rút nội khí quản và ra phòng bệnh sớm. Với đường mở ngực bên rất nhỏ, bà T. đã có thể đi lại và sinh hoạt bình thường.

Đừng bỏ lỡ

Video đang xem nhiều

Đọc thêm