Táo bón 2 năm nhưng không nghĩ do ung thư đại tràng

(PLO)- Mang khối u đại tràng rất to di căn hạch gây tắc ruột, đe dọa tính mạng nhưng bệnh nhân chỉ nghĩ do táo bón, rối loạn tiêu hóa.

Vừa qua, các bác sĩ Khoa Ngoại tiêu Hóa, BV Hoàn Mỹ Sài Gòn đã phẫu thuật thành công cho bệnh nhân Lê Văn X. (60 tuổi, ngụ Cần Thơ), bị ung thư đại tràng di căn hạch biến chứng tắc ruột dọa vỡ.

Người nhà cho biết, bệnh nhân hay bị khó tiêu sau ăn, đau chướng bụng, táo bón thường xuyên gần 2 năm. Gia đình nghĩ là rối loạn tiêu hóa nên mua thuốc về uống. Mặc dù bệnh nhân cũng đã thay đổi thói quen ăn uống nhưng tình trạng táo bón vẫn không giảm.

Trước nhập viện 2 ngày, bệnh nhân bị đau bụng dữ dội, bụng căng chướng, bí trung đại tiện, không ăn uống được vì ói nên người nhà đưa bệnh nhân nhập viện cấp cứu.

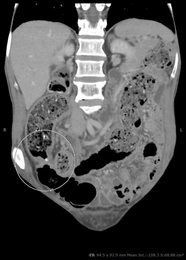
Hình chụp CT cho thấy người bệnh có khối u đại tràng trái. Ảnh: BVCC

Tại BV, bác sĩ  khám, xét nghiệm và chụp CT bụng phát hiện khối u đại tràng trái rất to, di căn hạch và biến chứng gây tắc ruột, các quai ruột giãn rất to nguy cơ vỡ đe dọa tính mạng bệnh nhân.

Sau hội chẩn khẩn, bệnh nhân được mổ cấp cứu trong đêm, loại bỏ được khối u đại tràng rất to và khối hạch di căn quanh u, nhằm lưu thông ruột. Sau vài ngày nằm viện, sức khỏe hồi phục, bệnh nhân ăn uống bình thường và được xuất viện.

Bác sĩ Nguyễn Ngọc Thao thăm khám người bệnh. Ảnh: BVCC

Theo ThS-BS Nguyễn Ngọc Thao, Trưởng khoa Ngoại tiêu hóa của BV này, ung thư đại tràng là một trong những ung thư thường gặp, đứng hàng thứ 3-4 trong các loại bệnh ung thư. Các dấu hiệu nên đi khám phát hiện ung thư đại tràng như táo bón thường xuyên, tiêu chảy thường xuyên, đi cầu ra máu, nôn ói, bụng chướng đau, sờ thấy u ổ bụng hay ăn kém sụt cân …

Việc điều trị ung thư đại tràng nhằm lưu thông ruột và tránh di căn giúp kéo dài sự sống, quan trọng nhất là phát hiện bệnh sớm có thế điều trị hết bệnh hoàn toàn. Do đó, khi có dấu hiệu nghi ngờ ung thư đại tràng nên khám tại cơ sở y tế chuyên về tiêu hóa nhằm phát hiện và điều trị sớm.

Đừng bỏ lỡ

Video đang xem nhiều

Đọc thêm