Thanh niên 27 tuổi trật khớp hàm vì… ngáp

(PLO)- Sau khi ngáp lớn, thanh niên 27 tuổi bị trật khớp hàm, không khép miệng lại được, hai hàm không khớp khi cắn răng lại.

0:00 / 0:00
0:00
  • Nam miền Bắc
  • Nữ miền Bắc
  • Nữ miền Nam
  • Nam miền Nam

Ngày 11-6, Trung tâm y tế huyện Phù Ninh (Phú Thọ) cho biết vừa tiếp nhận cấp cứu một nam bệnh nhân 27 tuổi, trú tại xã Bảo Thanh, huyện Phù Ninh, nhập viện sau khi ngáp thì không khép miệng lại được do trật khớp hàm

Sau khi thăm khám, các bác sĩ phát hiện bệnh nhân bị trật khớp thái dương - hàm hai bên.

Ngay lập tức, bệnh nhân được điều trị cấp cứu nắn chỉnh đưa lồi cầu về vị trí chức năng bình thường và băng cố định cằm, đầu, theo dõi trong vòng 1 giờ.

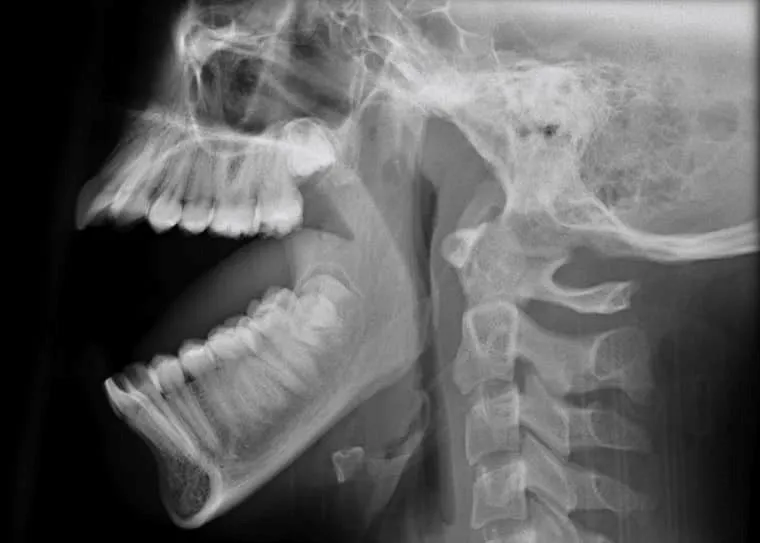
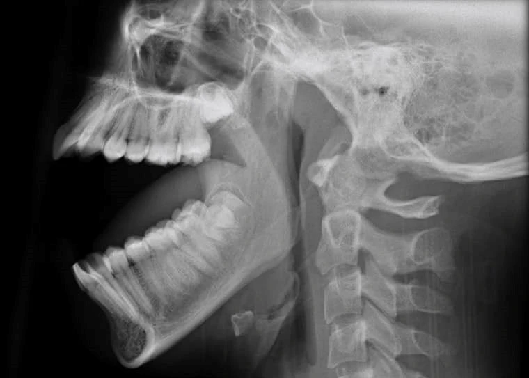
trật khớp hàm.jpg
Thanh niên 27 tuổi bị trật khớp hàm sau khi ngáp lớn. Ảnh: TTYT Phù Ninh

Theo bác sĩ Đỗ Xuân Hùng, Trưởng khoa Ngoại - Trung tâm y tế huyện Phù Ninh, trật khớp thái dương - hàm là sự mất tương quan giải phẫu bình thường giữa lồi cầu xương hàm dưới và lồi khớp xương thái dương. Nếu không điều trị kịp thời dễ dẫn đến cứng khớp, giãn dây chằng không hồi phục.

Bệnh tiến triển nặng sẽ gây nguy hại cho khớp thái dương hàm như: tổn thương khớp thái dương - hàm, làm nhuyễn sụn khớp, thoái hóa và có thể dẫn đến dính khớp thái dương - hàm. Khi đó, các đầu khớp bắt đầu thoái hóa, gây dính giữa đĩa khớp với các đầu xương, có thể dẫn đến thủng đĩa khớp.

Bác sĩ Hùng khuyến cáo người dân khi thấy có dấu hiệu không ngậm miệng được sau khi ngáp, há lớn, khóc, cười… cần đến ngay cơ sở y tế để được thăm khám và điều trị kịp thời.

Đừng bỏ lỡ

Video đang xem nhiều

Đọc thêm