Tổn thương não sau 1 tháng dùng thuốc giảm cân mua trên TikTok

(PLO)- Cô gái 21 tuổi được người nhà phát hiện trong tình trạng bất tỉnh, gọi hỏi không đáp ứng sau 1 tháng dùng thuốc giảm cân mua trên mạng xã hội.

0:00 / 0:00
0:00
  • Nam miền Bắc
  • Nữ miền Bắc
  • Nam miền Nam

Ngày 4-3, Bệnh viện Bạch Mai cho biết đã tiếp nhận điều trị cho một nữ bệnh nhân 21 tuổi (Hà Nội) nhập viện trong tình trạng tổn thương não nặng do uống thuốc giảm cân không rõ nguồn gốc mua trên TikTok.

Theo lời kể của người nhà, bệnh nhân tiền sử khỏe mạnh, khoảng một tháng gần đây có sử dụng một sản phẩm mua trên mạng xã hội để giảm cân.

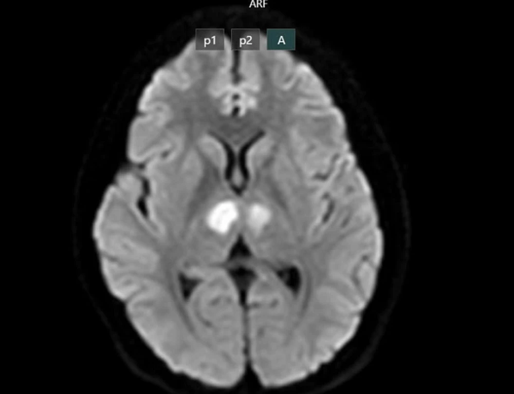
Bệnh nhân được người nhà phát hiện trong tình trạng bất tỉnh, gọi hỏi không đáp ứng, được đưa đến bệnh viện tư để cấp cứu. Kết quả chụp MRI cho thấy não bệnh nhân có hình ảnh tổn thương vùng đồi thị hai bên. Gia đình xin chuyển bệnh nhân đến Bệnh viện Bạch Mai để tiếp tục điều trị.

thuốc giảm cân
Não của bệnh nhân bị tổn thương sau 1 tháng dùng thuốc giảm cân không rõ nguồn gốc. Ảnh: BVCC

Trung tâm Chống độc - Bệnh viện Bạch Mai đã gửi mẫu thuốc bệnh nhân uống cho Viện Kiểm nghiệm vệ sinh an toàn thực phẩm quốc gia để kiểm tra. Kết quả cho thấy trong thuốc giảm cân có chứa thành phần Sibutramin.

Nữ bệnh nhân cho biết đã mua thuốc giảm cân này trên TikTok, quan sát thấy trên lọ thuốc có nội dung "7 ngày giảm 7kg" bằng tiếng Anh. Bệnh nhân đã uống liên tục được mỗi ngày một viên trong hơn một tháng. Sau thời gian uống thuốc và nhịn ăn, bệnh nhân giảm 4-5kg.

Bác sĩ Nguyễn Trung Nguyên, Giám đốc Trung tâm Chống độc - Bệnh viện Bạch Mai, cho biết Sibutramin trước đây là một loại thuốc dùng để điều trị béo phì. Tuy nhiên, qua quá trình sử dụng tại nhiều nước đã có các báo cáo về những trường hợp ngộ độc khi sử dụng thuốc này để giảm cân, bao gồm các trường hợp nặng và tử vong.

Do vậy, tại Mỹ và châu Âu đã ngừng sử dụng làm thuốc giảm cân chứa chất này. Tại Việt Nam, từ năm 2011, cơ quan quản lý đã rút số đăng ký của tất cả các thuốc có chứa hoạt chất sibutramine.

“Trung tâm Chống độc cũng từng tiếp nhận các bệnh nhân ngộ độc thực phẩm chức năng, các loại cà phê giảm cân… do có chứa Sibutramin. Đã có bệnh nhân bị hôn mê, co giật, tổn thương não. Sibutramin là chất có nguy cơ độc tính rất cao, cấu trúc phân tử của Sibutramin giống với ma túy amphetamine. Đây là chất rất nguy hiểm” - bác sĩ Nguyên nhấn mạnh.

Bác sĩ Nguyên khuyến cáo để giảm cân, người dân nên đi khám hoặc có lời khuyên trực tiếp từ bác sĩ hướng dẫn, đánh giá tình trạng và biện pháp cụ thể với từng người. Cách thức phổ biến và an toàn nhất vẫn là điều chỉnh chế độ ăn uống và tăng cường vận động thể lực.

Bên cạnh đó, các loại thực phẩm chức năng hiện nay ở Việt Nam đang được quảng cáo và hiểu sai rất nhiều. Khi cần mua bất cứ sản phẩm gì, đặc biệt dùng trên cơ thể người, cần chọn các sản phẩm được sản xuất bởi các công ty được cấp phép và đáp ứng tiêu chuẩn theo quy định.

Để đảm bảo an toàn và có tác dụng mong muốn, với tất cả các sản phẩm thực phẩm chức năng và thuốc, người dân không nên mua trên mạng xã hội, qua Internet hay điện thoại.

Đừng bỏ lỡ

Video đang xem nhiều

Đọc thêm