Tưởng bụng to do uống bia, không ngờ có bướu mỡ khổng lồ 8 kg hiếm gặp

(PLO)- Bệnh viện Bình Dân (TP.HCM) vừa phẫu thuật loại bỏ khối bướu mỡ khổng lồ 8 kg hiếm gặp trong ổ bụng người đàn ông 47 tuổi.

0:00 / 0:00
0:00
  • Nam miền Bắc
  • Nữ miền Bắc
  • Nữ miền Nam
  • Nam miền Nam

Ngày 14-5, Bệnh viện Bình Dân, TP.HCM, thông tin nơi đây vừa phẫu thuật loại bỏ khối bướu mỡ khổng lồ 8 kg làm di lệch và làm suy yếu chức năng cơ quan nội tạng của người đàn ông 47 tuổi.

Bệnh nhân là anh NVT (ngụ tỉnh Long An) cảm thấy những cơn căng tức vùng bụng, nhức mỏi về đêm sau những giờ lái xe tải đường dài. Ban đầu, anh cho rằng do đặc thù công việc lái xe và sở thích uống bia khiến bụng ngày càng phình to, gây cảm giác nặng nề. Chỉ đến khi bụng căng cứng, nhô hẳn về phía trước và hai bên hông, anh mới khám tại địa phương.

Kết quả siêu âm bụng cho thấy có một khối choán chỗ gần hết ổ bụng. Anh T được chuyển đến Bệnh viện Bình Dân để phẫu thuật lấy khối bướu mỡ khổng lồ ra khỏi cơ thể.

buou-mo-khong-lo1.jpg
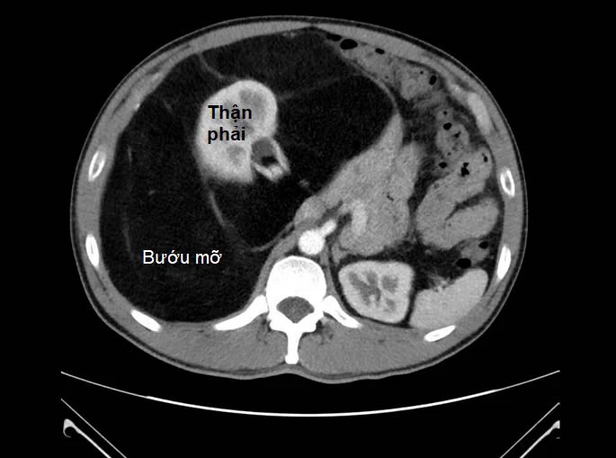
Kết quả chụp CT bụng của bệnh nhân cho thấy có khối bướu mỡ khổng lồ choán toàn ổ bụng. Ảnh: BVCC

Bác sĩ chuyên khoa 2 Nguyễn Phúc Minh, Trưởng khoa Ngoại tiêu hóa, người trực tiếp phẫu thuật cho anh T, cho biết kết quả chụp MRI bụng cho thấy khối bướu có đường kính lên đến 40 cm, cấu trúc tương đồng với mô mỡ, chiếm gần toàn bộ ổ bụng và bao quanh thận phải.

Nghiêm trọng hơn, khối bướu dính và chèn ép các mạch máu lớn như động mạch, tĩnh mạch chủ bụng và các mạch máu lân cận làm suy giảm chức năng thận.

Các bác sĩ đã hội chẩn toàn viện để tìm phương án phẫu thuật tốt nhất. Nếu không phẫu thuật, khối bướu sẽ chèn ép xung quanh, dẫn đến những biến chứng như thận ứ nước, tắc ruột và nguy hiểm tính mạng.

Ca phẫu thuật có sự phối hợp của các bác sĩ chuyên khoa ngoại tổng quát, phẫu thuật tim - mạch máu, tiết niệu và gây mê hồi sức. Sau hơn 5 giờ, ca phẫu thuật được thực hiện thành công.

Sau mổ hai ngày, người bệnh bắt đầu hồi phục.

Bệnh nhân có khối bướu mỡ khổng lồ
Bệnh nhân có khối bướu mỡ khổng lồ ở bụng đã được phẫu thuật thành công. Ảnh: BVCC

Bệnh viện Bình Dân cũng từng tiếp nhận những trường hợp bướu mỡ, bướu sau phúc mạc âm thầm lớn dần trong bụng người bệnh. Trong đó có một người bệnh 27 tuổi, mang thai 15 tuần. Qua siêu âm bụng, các bác sĩ phát hiện một khối bướu lớn có đường kính khoảng 40 cm đang chèn ép trực tiếp vào tử cung, gây nguy hiểm cho thai nhi.

Người bệnh được phẫu thuật để lấy ra khối bướu nặng hơn 5 kg. Kết quả giải phẫu bệnh là bướu mỡ (liposarcoma) nguyên phát sau phúc mạc biệt hóa tốt. Người bệnh xuất viện hồi phục nhanh chóng sau phẫu thuật 5 ngày. Thai kỳ của người bệnh tiến triển tốt và đã sinh con tự nhiên.

Các bác sĩ khuyến cáo nên kiểm tra sức khỏe định kỳ, mỗi năm ít nhất 1 lần. Đối với những trường hợp có khối choán chỗ, siêu âm bụng có thể giúp phát hiện và điều trị sớm. Từ đó, người bệnh có thể tránh được những biến chứng phức tạp.

Bướu mỡ là gì?

Bướu mỡ (Liposarcoma) là bệnh lý ác tính hiếm gặp. Tỉ lệ mắc trong cộng đồng ước tính khoảng 0,3% đến 0,4% trên 100.000 người. Bướu mỡ sau phúc mạc thường gặp nhất ở nhóm tuổi từ 60-70.

Tổ chức Y tế Thế giới (WHO) phân loại bướu mỡ thành 5 loại chính: Biệt hóa tốt (well-differentiated), dạng nhầy (myxoid), tế bào tròn (round cell), đa hình (pleomorphic) và biệt hóa kém (dedifferentiated).

Bướu mỡ biệt hóa tốt là loại mô học thường gặp nhất và có tiên lượng tốt nhất do ít có khả năng xâm lấn hoặc di căn xa. Bướu mỡ có thể phát triển ở nhiều nơi trong cơ thể, phổ biến nhất là ở các chi và sau phúc mạc.

Phương pháp điều trị tiêu chuẩn là phẫu thuật cắt bỏ tận gốc khối bướu. Lựa chọn phương pháp điều trị dựa trên nhiều yếu tố như tuổi tác, bệnh nền và vị trí khối bướu.

Đừng bỏ lỡ

Video đang xem nhiều

Đọc thêm