U nang buồng trứng có nguy hiểm không? Trường hợp nào cần mổ ngay?

(PLO)- Các nghiên cứu cho thấy khoảng 90% u buồng trứng ở phụ nữ trẻ thuộc nhóm lành tính, trong đó hơn 75% là u dạng cơ năng, và khoảng 25% là các khối u tân sinh xuất hiện ở nữ giới trong độ tuổi sinh sản, với gần 10% trong nhóm này có thể là u ác tính.

0:00 / 0:00
0:00
  • Nam miền Bắc
  • Nữ miền Bắc
  • Nữ miền Nam
  • Nam miền Nam

U nang buồng trứng có nguy hiểm không?

Những bệnh lý lành tính ở buồng trứng thường gặp ở phụ nữ đang trong giai đoạn hoạt động nội tiết mạnh, chủ yếu là các nang cơ năng hoặc khối u tân sinh lành tính. Việc lựa chọn hướng xử trí phụ thuộc vào đặc điểm của khối u tại thời điểm chẩn đoán, bao gồm kích thước, tính chất và triệu chứng đi kèm.

Theo ThS. BSNT Phùng Quang Thủy – Phó Khoa Phụ Bệnh viện Đại học Phenikaa cho biết, phần lớn các trường hợp, các khối u nang buồng trứng ở phụ nữ trong độ tuổi sinh sản đều lành tính và có thể tự thoái triển sau một thời gian mà không gây nguy hại đến sức khỏe. Tuy nhiên, một số nang phát triển âm thầm trong nhiều năm mà không được phát hiện hoặc theo dõi, khiến khối u lớn dần và gây sức ép lên các cơ quan xung quanh trong ổ bụng. Trường hợp này, người bệnh có thể đối diện với nhiều biến chứng nguy hiểm, bao gồm:

1. Xoắn u nang

Bất kỳ khối u nào cũng có nguy cơ xoắn, đặc biệt là những nang nhỏ có cuống dài và di động. Khi hiện tượng xoắn xảy ra, người bệnh đột ngột đau bụng dữ dội, liên tục, kèm buồn nôn hoặc nôn, thậm chí choáng vì đau. Bụng thường chướng, ấn đau vùng hạ vị và có phản ứng thành bụng. Khám âm đạo có thể nhận thấy khối u căng, rất đau khi chạm vào.

2. Vỡ nang buồng trứng

Khi áp lực trong nang tăng quá mức, nang có thể bị vỡ, gây đau bụng đột ngột và dữ dội. Trường hợp người bệnh kèm viêm phần phụ mãn tính trước đó, có thể xuất hiện dấu hiệu nhiễm khuẩn có thể tiến triển thành viêm phúc mạc tiểu khung, hoặc viêm phúc mạc toàn thể. Một số trường hợp vỡ nang kèm chảy máu ổ bụng, khiến người bệnh choáng, ngất, dẫn đến shock mất máu. Những tình huống này nếu không xử trí kịp thời, biến chứng này có thể đe dọa tính mạng.

3. Chèn ép nội tạng

Khi khối u phát triển lâu ngày và đạt kích thước lớn, nó có thể đè ép vào các cơ quan xung quanh. Người bệnh có thể gặp khó khăn khi tiểu tiện do chèn ép bàng quang, táo bón do cản trở trực tràng, ứ nước bể thận do ép tắc niệu quản. Hiếm gặp hơn, khối u lớn có thể ép vào tĩnh mạch chủ dưới, khiến tuần hoàn bị cản trở, gây phù hai chân.

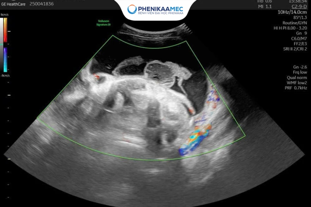
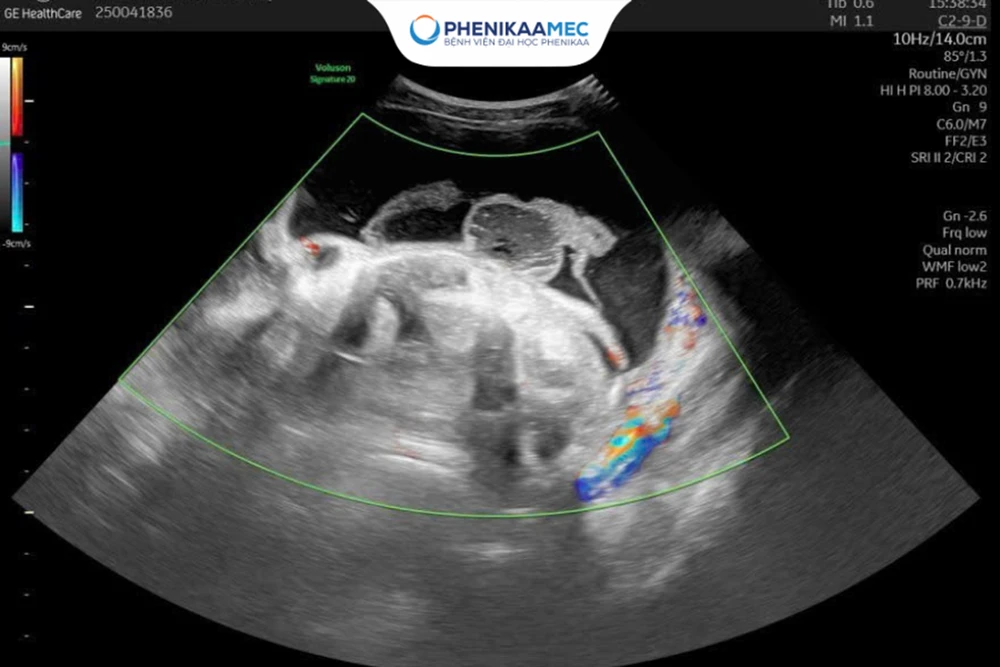
u-nang-buong-trung-co-nguy-hiem-khong-truong-hop-nao-can-mo-ngay.png
Khối u kích thước lớn gây chèn ép các cơ quan.

Khoa Phụ PhenikaaMec – Địa chỉ chăm sóc sức khỏe phụ nữ toàn diện theo tiêu chuẩn quốc tế

ThS. BSNT Phùng Quang Thủy, bác sĩ có nhiều kinh nghiệm trong ứng dụng công nghệ phẫu thuật robot tại Việt Nam, cho biết: “U buồng trứng là bệnh lý phụ khoa khá phổ biến, phần lớn lành tính. Tuy nhiên, một số trường hợp có thể tiến triển thành ung thư buồng trứng – bệnh lý ác tính cao, diễn biến âm thầm và ít biểu hiện rõ ở giai đoạn sớm. Nhiều người bệnh chỉ phát hiện khi khám phụ khoa, siêu âm định kỳ hoặc khi bệnh đã tiến triển, gây khó khăn cho điều trị. Chính đặc điểm ‘không triệu chứng’ này khiến u buồng trứng trở thành nguy cơ tiềm ẩn đối với sức khỏe sinh sản và tính mạng phụ nữ. Do đó, chị em nên khám phụ khoa định kỳ mỗi 4–6 tháng để tầm soát sớm u buồng trứng và các bệnh lý phụ khoa, qua đó nâng cao hiệu quả điều trị”.

Khoa Phụ Bệnh viện Đại học Phenikaa (PhenikaaMec) quy tụ đội ngũ bác sĩ có chuyên môn sâu, giàu kinh nghiệm trong thăm khám và điều trị các bệnh lý phụ khoa. Cùng với hệ thống trang thiết bị hiện đại như máy nghiền mô Morcellator, dàn phẫu thuật nội soi Karl Storz 4K…, khoa đã thực hiện thành công hàng nghìn ca phẫu thuật nội soi u xơ tử cung, u nang buồng trứng, lạc nội mạc tử cung, góp phần nâng cao chất lượng điều trị và chăm sóc sức khỏe phụ nữ.

u-nang-buong-trung-co-nguy-hiem-khong-truong-hop-nao-can-mo-ngay-2.jpg
ThS. BSNT Phùng Quang Thủy (Phó Khoa Phụ - ở giữa) cùng đội ngũ bác sĩ có chuyên môn sâu, giàu kinh nghiệm, mang đến phác đồ tốt nhất cho chị em.

Khoa Phụ được tổ chức khoa học với đầy đủ các phòng chức năng hiện đại: phòng khám phụ khoa, phòng chuẩn bị và phòng thủ thuật đạt tiêu chuẩn kiểm soát nhiễm khuẩn; phòng siêu âm trang bị máy siêu âm 3D/4D Voluson E22; khu điều trị nội trú bảo đảm không gian riêng tư và tiện nghi. Mô hình vận hành đồng bộ cho phép phối hợp chặt chẽ với các khoa Gây mê hồi sức, Khoa Sản… nhằm xử lý hiệu quả các ca bệnh phức tạp, bảo đảm an toàn tối đa cho người bệnh.

Bạn đang muốn được thăm khám bởi đội ngũ bác sĩ chuyên khoa uy tín, hãy liên hệ:

● Địa chỉ: Khoa Phụ – Tầng 1 & 5 Tòa B, Bệnh viện Đại học Phenikaa – Tổ 5 Hòe Thị, phường Xuân Phương, Hà Nội

● Hotline: 1900 886648

Đừng bỏ lỡ

Video đang xem nhiều

Đọc thêm