Xương sườn đâm thủng phổi sau tai nạn giao thông

(PLO)- Bệnh nhân gặp tại nạn giao thông, bị mảnh gãy xương sườn đâm thủng phổi may mắn được cứu sống.

0:00 / 0:00
0:00
  • Nam miền Bắc
  • Nữ miền Bắc
  • Nữ miền Nam
  • Nam miền Nam

Ngày 1-4, Bệnh viện Đa khoa Trung ương Quảng Nam cho biết, đơn vị vừa cứu sống một bệnh nhân gặp tai nạn giao thông, bị mảnh gãy xương sườn đâm thủng phổi.

Trước đó, nam bệnh nhân VĐQ (63 tuổi, ngụ xã Tam Hòa, huyện Núi Thành, Quảng Nam) vào viện với tình trạng đau ngực sau chấn thương do tai nạn giao thông, bên ngoài không có vết thương, chỉ có vết xước nhẹ ngoài da.

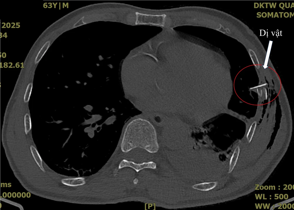
Hình ảnh chụp cắt lớp, bệnh nhân bị xương sườn đâm thủng phổi. Ảnh: BV
Hình ảnh chụp cắt lớp, bệnh nhân bị xương sườn đâm thủng phổi. Ảnh: BV

Sau đó, bệnh nhân rơi vào tình trạng cơn đau ngực tăng dần, không dám thở, suy hô hấp.

Bệnh nhân được chụp cắt lớp ngực và ghi nhận tràn khí, tràn máu màng phổi với hình ảnh mảnh xương sườn đâm vào nhu mô phổi.

Sau hơn 1 giờ phẫu thuật nội soi khoang màng phổi, mảnh xương sườn gãy vụn đã được lấy ra, vết thủng ở nhu mô phổi đã được khâu kín, máu được cầm và khoang màng phổi được làm sạch.

Bác sĩ chuyên khoa II Dương Chí Lực, Trưởng phòng Kế hoạch tổng hợp, Bệnh viện Đa khoa Trung ương Quảng Nam, chia sẻ phổi nằm trong lồng ngực và được bảo vệ bởi khoang lồng ngực với 12 đôi xương sườn.

Trường hợp trên, xương sườn gãy gây xuyên thủng phổi. Do động tác hô hấp co giãn làm vết rách phổi mỗi lúc càng rộng hơn, phổi có nhiều vết đâm, tổn thương càng nghiêm trọng, máu chảy nhiều sẽ nguy hiểm đến tính mạng nếu không được cấp cứu kịp thời.

Đừng bỏ lỡ

Video đang xem nhiều

Đọc thêm