Bé 2 tháng tuổi phổi trắng xóa vì nhiễm lao từ cha

(PLO)- Con vừa sinh thì cha phát hiện lao phổi. Hai tháng sau đến lượt con sốt ho liên tục, nhập viện chụp phổi tổn thương trắng xóa nguy kịch.

Bé trai VTN, hiện 6 tháng tuổi, ngụ tại An Giang đã được điều trị tích cực tại BV Nhi đồng Thành phố sau 3,5 tháng ròng rã và hơn nửa tháng tại BV Phạm Ngọc Thạch (TP.HCM). Ngày 31-8, BS Nguyễn Cát Phương Vũ, Khoa hồi sức tích cực của BV Nhi đồng Thành phố, theo dõi trường hợp bé từ những ngày đầu vui mừng khi nhận được tin từ gia đình thông báo bé đã được xuất viện.

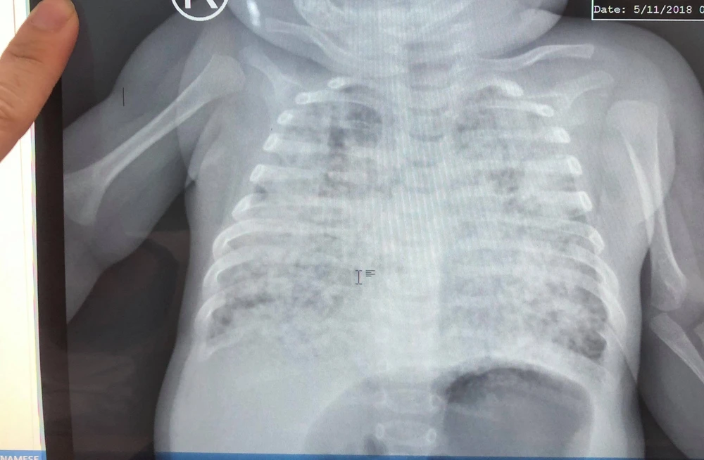
BS Vũ kể lại khoảng 3 tháng trước, bé N. được người nhà đưa từ An Giang đến BV cấp cứu trong tình trạng nhiễm lao kê nặng, chụp phim phổi trắng xóa.

Phim phổi tổn thương trắng xóa, lấm tấm do lao kê của bé khi mới nhập viện điều trị. Ảnh: BSCC

Trong quá trình điều trị, kén khí do các ổ lao vỡ liên tục gây tràn khí màng phổi cho bé 4 lần. Bé phải thở máy kéo dài, suy hô hấp nặng đến thở máy rung tần số cao, lệ thuộc oxy hơn 3 tháng tưởng chừng không còn cơ hội sống…

Nhờ được theo dõi điều trị tích cực hơn 3,5 tháng tại BV, phổi bé sáng dần lên, mô phổi giảm tổn thương và thông khí ngày càng hiệu quả, các kén khí lớn giảm rõ rệt nên bé đã cai được máy thở.

Sau khi đánh giá nguy cơ tràn khí màng phổi và suy hô hấp có cải thiện và ít có khả năng  tái phát, bé được chuyển viện đến BV Phạm Ngọc Thạch để điều trị tiếp tục phác đồ lao vào nửa tháng trước.

Chị N. (28 tuổi, mẹ bé N.) chia sẻ bé N. là con đầu lòng của chị. Khi bé vừa ra đời, chồng chị phát hiện bệnh lao phổi, điều trị tấn công tới tháng thứ 2 thì đến bé bệnh, sốt ho liên tục 1 tuần. Gia đình đưa bé nhập viện địa phương nhưng uống thuốc không đỡ, bé ngày càng khó thở nên chuyển lên BV Nhi đồng Thành phố.

BS Ngô Văn Tuấn An, Khoa hồi sức tích cực BV Nhi đồng Thành phố cho biết: “Trẻ mắc lao bẩm sinh thường do người mẹ mắc bệnh khi đang mang thai hoặc có thể đã mắc trước đó nhưng không được phát hiện. Cũng có một số ít trẻ sơ sinh nhiễm lao khi vừa lọt lòng do tiếp xúc trực tiếp với nguồn lây từ phòng sinh, người thân gia đình. Những trường hợp này vẫn được gọi là bệnh lao bẩm sinh”.

Theo BS An, hệ miễn dịch ở trẻ sơ sinh vốn dĩ đã rất yếu nên khi biết mắc bệnh này, trẻ cần được điều trị ngay để tránh những biến chứng. Nếu phát hiện trễ, các bé có thể mắc các thể lao nặng như lao kê, lao màng não, dễ dẫn đến tử vong.

 

Triệu chứng nghi ngờ nhiễm lao ở trẻ gia đình cần lưu ý:

– Trong 3 ngày đầu: Trẻ có những biểu hiện sốt nhẹ 1-2 lần trong ngày, ăn ít hơn khẩu phần thường ngày một nửa.

– Một tuần sau đó: Các cơn ho dai dẳng xuất hiện, đôi khi có đờm màu vàng, trẻ vẫn sốt âm ỉ liên tục quẩn quanh 38 độ C, sút cân nhanh từ 1-2kg.

– Trong 3 tuần: các cơn ho khan phát triển nặng kèm theo máu, sốt kéo dài thường xuất hiện vào sáng sớm hoặc chiều tối. Dùng kháng sinh thông thường không thể chữa khỏi, và trẻ có hiện tượng suy hô hấp, khó thở, sa sút cân nặng 3-5kg.

Nếu trẻ có những dấu hiệu này, ngay lập tức hãy đưa trẻ đến thăm khám tại BV, sau khi chụp Xquang và các xét nghiệm để biết chính xác trẻ có bị mắc lao phổi hay không.

Để phòng bệnh cho trẻ, nếu trong nhà có người bị bệnh lao, cần phải cách ly trẻ với người bệnh, tốt nhất là không ở cùng nhà với người bệnh. Người mắc bệnh lao không ho, khạc đờm bừa bãi; tránh tiếp xúc, hôn hít trẻ nhỏ cho đến khi khỏi bệnh hoàn toàn.

Đừng bỏ lỡ

Video đang xem nhiều

Đọc thêm