Bé 3 tuổi bị thủng phổi vì kim đâm xuyên ngực

Đang cùng chị gái chơi đùa trên giường, bé Nam bỗng ôm ngực và khóc thét lên kêu đau.

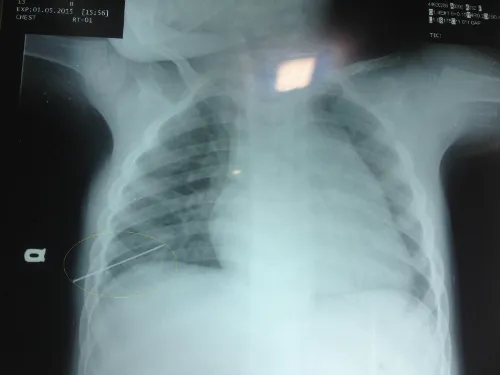
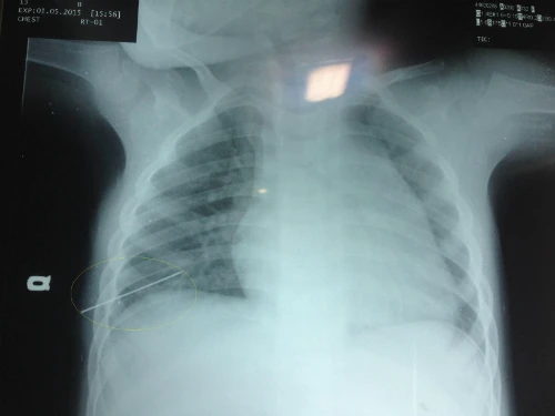
Chiều 1/5, bé trai 3 tuổi ở xã Hoàn Trạch (Bố Trạch, Quảng Bình) được người nhà đưa vào cấp cứu tại Bệnh viện hữu nghị Việt Nam - Cu Ba Đồng Hới. Kết quả X-quang cho thấy một dị vật sắc nhọn đâm xuyên vào lồng ngực bên phải của bé gây thủng phổi.

Các bác sĩ đã hội chẩn và phẫu thuật cho bệnh nhi, rút ra một chiếc kim may còn mới dài khoảng 5 cm từ lồng ngực bé. Sau một ngày được hồi sức,chăm sóc,hiện sức khỏe của bé đã ổn định.

Hình ảnh phim Xquang của bé trai 3 tuổi cho thấy chiếc kim xuyên lồng ngực phảilàm thủng một lá phổi của bé. Ảnh:Long Nhật.

Người nhà của bệnh nhân cho biết, 10 ngày trước, mẹ bé Nam may áo quần và sơ ý đánh rơi chiếc kim xuống chiếu. Người mẹ tìm mãi không thấy, không ngờ chiếc kim vẫn nằm trên chiếu. Trong lúc hai con đang chơi đùa thì chiếc kim đâm vào ngực bé.

Các bác sĩ cảnh báo, người lớn sau khi sử dụng các vật sắc nhọn như kim khâu... cần cất cẩn thận, tránh để rơi hoặc thất lạc, nếu đánh rơi cần tìm kỹ tránh để sót gây nguy hiểm, nhất là đối với trẻ em.

Theo plo.vn

Đừng bỏ lỡ

Video đang xem nhiều

Đọc thêm