Cụ bà 73 tuổi phát hiện khối u não sau cú ngã trong nhà tắm

(PLO)- Từ 1 cơn đau đầu tưởng chừng bình thường đã dẫn đến phát hiện khối u màng não kích thước lớn ở cụ bà 73 tuổi. 

0:00 / 0:00
0:00
  • Nam miền Bắc
  • Nữ miền Bắc
  • Nữ miền Nam
  • Nam miền Nam

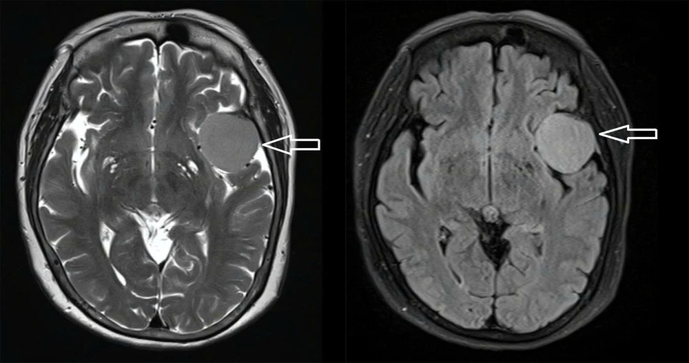
Ngày 4-9, Bệnh viện Đa khoa Thủ Đức, TP.HCM, vừa thực hiện thành công ca phẫu thuật lấy khối u màng não thái dương trái kích thước 3,5x5 cm cho bệnh nhân PTN (73 tuổi, ngụ phường Tam Bình, TP.HCM).

Cụ bà 73 tuổi phát hiện khối u não sau cú ngã trong nhà tắm
Cụ bà 73 tuổi phát hiện khối u não sau cú ngã trong nhà tắm. Ảnh: BVCC

Bệnh nhân nhập viện trong tình trạng đau đầu kéo dài và từng điều trị giảm đau thông thường nhưng không hiệu quả. Sau một lần té ngã trong lúc tắm, bệnh nhân được gia đình đưa đến bệnh viện, qua CT và MRI phát hiện khối u màng não ở vị trí sàn sọ phức tạp, cần phẫu thuật.

cu-ba-73-tuoi-1.jpg
Khối u trước phẫu thuật của cụ bà 73 tuổi. Ảnh: BVCC

Theo các bác sĩ, khó khăn của ca bệnh này là bệnh nhân có nhiều bệnh nền như tăng huyết áp, đái tháo đường type 2, tim thiếu máu cục bộ. Trước mổ, ê-kip phải phối hợp chặt chẽ với chuyên khoa nội tiết và tim mạch để kiểm soát tình trạng, đồng thời ngưng thuốc chống đông 5 ngày.

BS CKII Trương Long Vỹ, Trưởng khoa Ngoại thần kinh cho biết, đây là ca mổ nhiều thách thức, đòi hỏi sự phối hợp cao độ cùng hệ thống thiết bị vi phẫu hiện đại.

"Chúng tôi đã lấy trọn khối u mà không gây tổn thương các cấu trúc quan trọng", BS Vỹ nói.

cu-ba73-tuoi-2.jpg
cu-ba73-tuoi-2.jpg
Khối u sau phẫu thuật. Ảnh: BVCC.

Ca phẫu thuật kéo dài, màng cứng dày dính vào hộp sọ, nhưng ê-kip đã đạt kết quả Simpson I (lấy trọn u). Sau mổ, bệnh nhân được an thần sâu 48 giờ, hồi phục dần và đến ngày 4/9 đã tỉnh táo, nói chuyện tốt, được chuyển về khoa Ngoại thần kinh tiếp tục điều trị.

Đừng bỏ lỡ

Video đang xem nhiều

Đọc thêm