Cứu bé trai 13 tuổi bị thanh sắt dài đâm thủng phổi

(PLO)- Trong lúc chơi đùa cùng bạn, bé trai 13 tuổi bị thanh sắt dài đâm thủng phổi. 

Sáng 30-8, Bệnh viện Sản nhi Nghệ An cho biết bệnh viện đã phẫu thuật lấy thanh sắt dài khoảng 1 m đâm thủng phổi một bệnh nhi.

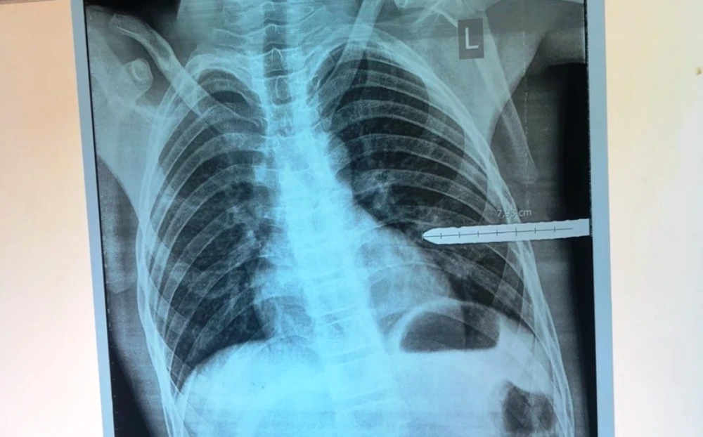
Tối 28-8, khoa cấp cứu BV Sản nhi Nghệ An tiếp nhận bệnh nhi TMĐ (13 tuổi, trú huyện Nghi Xuân, Hà Tĩnh)- được chuyển đến cấp cứu. Lúc đó bệnh nhi bị một thanh sắt lớn đâm vào ngực, chưa thể rút ra. Miệng vết thương rỉ máu, bệnh nhi đau, khó thở, da niêm mạc nhợt…

Hình ảnh chụp cho thấy thanh sắt đâm vào phổi em Đ. Ảnh: BV Sản nhi Nghệ An. 

Theo người thân bệnh nhi, khoảng 16 giờ chiều cùng ngày, trong lúc chơi đùa với bạn bệnh nhi bị thanh sắt đâm trúng ngực trái và được đưa đến BV Đa khoa huyện Nghi Xuân cấp cứu.

Do bị thương quá nặng, bệnh viện tuyến huyện đã quyết định chuyển bệnh nhi lên tuyến trên.

Ngay khi tiếp nhận, BV Sản nhi Nghệ An đã xét nghiệm, chụp X-quang, siêu âm…và chuyển bệnh nhi từ phòng cấp cứu lên phòng mổ.

Các y, bác sĩ chuẩn bị tiến hành phẩu thuật lấy thanh sắt ra khỏi ngực bệnh nhi Đ. Ảnh: BV Sản nhi Nghệ An. 

Kíp gây mê và kíp mổ nhanh chóng vào cuộc, phối hợp hồi sức, phẫu thuật xử trí tổn thương ngay lập tức.

Ê kip bác sĩ mổ tiến hành mở ngực, lấy thanh sắt phi 10 đang cắm vào phổi trái một cách cẩn trọng, tránh gây mất máu ồ ạt và hạn chế tối đa tổn thương…

Hiện bệnh nhi đang được theo dõi, hồi sức hậu phẫu và sức khỏe, tinh thần đang hồi phục tốt, có thể ngồi dậy, vận động nhẹ.

Đừng bỏ lỡ

Video đang xem nhiều

Đọc thêm