Cứu sống nam bệnh nhân nuốt 3 răng giả khi ngủ

(PLO)- Uống bia sau khi dự đám cưới bạn, nam thanh niên nuốt ba chiếc răng giả trong lúc ngủ mà không hề hay biết.

Ngày 7-12, TS-BS Nguyễn Văn Châu, Tổng Giám đốc Bệnh viện (BV) Đa khoa Xuyên Á TP.HCM, cho biết BV vừa tiếp nhận bệnh nhân tên P. (26 tuổi, ngụ huyện Gò Dầu, Tây Ninh) trong tình trạng đau cổ họng dữ dội.

Theo bệnh nhân cho biết, sau khi dự tiệc cưới của một người bạn, do uống bia rượu hơi nhiều nên vừa về đến nhà liền lăn đùng ra ngủ. Vừa tỉnh giấc, anh P. thấy cổ họng đau dữ dội, sau đó lấy tay sờ lên hàm răng thì phát hiện cả ba chiếc răng giả của mình biến mất.

Lập tức anh P. báo cho người nhà, sau đó anh được chuyển đến ngay BV Đa khoa Xuyên Á (TP.HCM) để cấp cứu.

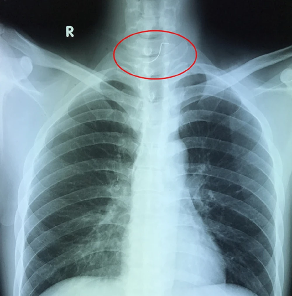
Ảnh chụp X-quang của bệnh nhân P. Ảnh: HP

Theo TS-BS Nguyễn Văn Châu, sau khi chụp X-quang, các bác sĩ đã xác định bệnh nhân P. bị một dị vật mắc ở thực quản. Ngay lập tức các bác sĩ đã tiến hành nội soi gắp ba chiếc răng giả ra khỏi thực quản của bệnh nhân.

“Đây là một trường hợp khó, vì hàm răng giả có mấu nhọn. Các bác sĩ phải tập trung và khéo léo gắp dị vật ra khỏi thực quản bệnh nhân, tránh không làm trầy xước thực quản” - BS Châu nói.

Hiện sức khỏe của bệnh nhân ổn định và được xuất viện.

Theo BS Châu, trong những ngày cuối năm này, mọi người có nhiều dịp họp mặt, tiệc tùng nên nguy cơ nuốt dị vật như tăm tre, răng giả, hóc xương... càng tăng cao.

“Người dân cần cẩn thận hơn trong việc ăn uống. Đặc biệt, đối với người bị hư răng, khi có điều kiện nên cấy ghép nha khoa thay vì tháo lắp răng giả để giảm thiểu nguy cơ nuốt phải răng giả” - BS Châu khuyến cáo.

Đừng bỏ lỡ

Video đang xem nhiều

Đọc thêm