Đang ăn bữa tối, sản phụ đột nhiên méo mặt hôn mê

(PLO)- Sản phụ đang mang thai tuần thứ 34 đột nhiên méo và tê mặt, nuốt sặc, yếu liệt nửa người rồi hôn mê sâu.

Sáng 14-4, Bệnh viện (BV) Đại học Y dược TP.HCM (ĐHYD) cho biết vừa cấp cứu và điều trị thành công cho một sản phụ bị dị dạng mạch máu ở vị trí thân não rất hiếm gặp với tỉ lệ chỉ 1/3000.

Trước đó, sản phụ Nguyễn Ngọc H. (30 tuổi, ngụ TP.HCM) được chuyển đến cấp cứu tại BV trong tình trạng hôn mê, mất ý thức. Người nhà cho biết chị H. đang mang thai tuần thứ 34, trong khi dùng bữa tối thì đột nhiên méo và tê mặt, nuốt sặc, yếu liệt nửa người rồi hôn mê sâu.

Tại Khoa Cấp cứu, các bác sĩ chẩn đoán sản phụ bị xuất huyết giai đoạn cấp ở mặt sau bán phần trái cuống não dẫn đến đột quỵ.

ThS-BS Đặng Lê Phương khám cho người bệnh tại Khoa Hồi sức Ngoại. Ảnh: BVCC

Theo ThS-BS Đặng Lê Phương, Khoa Ngoại Thần kinh BV ĐHYD, đây là tình trạng dị dạng mạch máu dạng hang rất hiếm gặp. Phần thân não của sản phụ bị tổn hại, xuất huyết nặng dẫn đến hôn mê, ảnh hưởng lớn đến hô hấp và tuần hoàn, nguy cơ tử vong cao, phẫu thuật có rủi ro gây liệt hoặc mất cảm giác sau mổ cho sản phụ cao.

Các bác sĩ đã hội chẩn liên chuyên khoa và quyết định mổ lấy thai để cứu con trước. Ê kip Ngoại thần kinh sẵn sàng ngay bên cạnh phòng mổ để kịp thời can thiệp ngay.

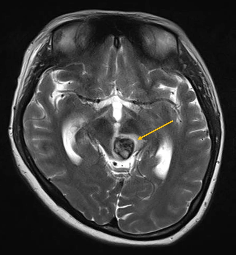
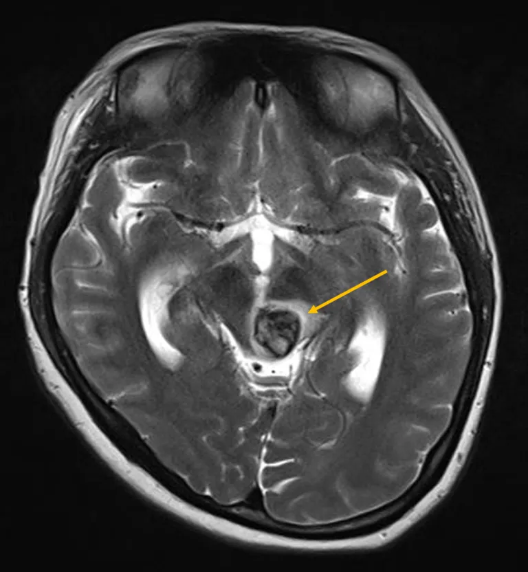
Kết quả chụp MRI cho thấy người bệnh có khối dị dạng mạch máu dạng hang rất hiếm gặp. Ảnh: BVCC

Ca mổ thuận lợi, bé sơ sinh nặng 2,3 kg do sinh non tháng nên được hồi sức, chuyển chăm sóc tại Khoa sơ sinh. Sản phụ không mất máu nhiều, được chuyển Đơn vị Hồi sức ngoại thần kinh theo dõi.

6 ngày sau, khi sức khỏe sản phụ ổn định, các bác sĩ mới tiến hành phẫu thuật dị dạng mạch máu não cho sản phụ trong khi theo dõi chặt chẽ các dấu hiệu thần kinh bằng máy. Sau ca phẫu thuật 7 ngày, sức khỏe của cả mẹ và bé đều ổn định, được xuất viện.

Dị dạng mạch máu xuất hiện ở vị trí thân não như trường hợp sản phụ H. là rất hiếm gặp. Bệnh không có nguyên nhân cụ thể, do vậy các thai phụ nên khám sức khỏe tổng quát và khám thai định kỳ thường xuyên.

Nếu có các dấu hiệu như giảm tri giác, động kinh, đột ngột nhìn đôi, giảm thị lực, méo mặt, nuốt sặc, tê yếu chi hoặc đau đầu đột ngột dữ dội, không giảm hoặc tăng dần theo thời gian, cần ngay lập tức đưa người bệnh đến các BV gần nhất để được cấp cứu. Đây là các triệu chứng của đột quỵ, nếu không can thiệp và xử lý kịp thời sẽ để lại hậu quả nặng nề. (TS-BS Nguyễn Minh Anh )

Đừng bỏ lỡ

Video đang xem nhiều

Đọc thêm