Đi khám đau lưng, tá hỏa phát hiện trong mình có 'bom nổ chậm'

(PLO)- Túi phình động mạch chủ bụng có kích thước như trái bưởi nhỏ, nếu vỡ sẽ khiến máu ào ra ổ bụng, nguy cơ tử vong hơn 90%.

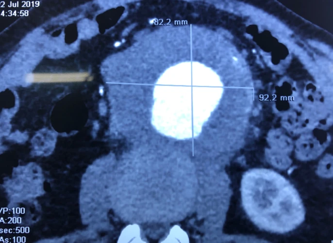
Các bác sĩ (BS) khoa Phẫu thuật tim - mạch máu BV Bình Dân TP.HCM vừa phẫu thuật cấp cứu thành công trường hợp túi phình động mạch chủ bụng kích thước 9 x 8,6 cm cho ông NVV (57 tuổi, ngụ Đắk Lắk). 

Trước đó, ông V. cùng người thân chạy xe máy đến Trung tâm chẩn đoán y khoa Medic TP.HCM để thăm khám tình trạng đau lưng nhiều tháng không giảm. Khi siêu âm, BS phát hiện ông có túi phình động mạch bụng rất to đang dọa vỡ nên chuyển cấp cứu BV Bình Dân.

Tại đây, ông V. và gia đình được BS giải thích túi phình của ông có kích thước như một trái bưởi nhỏ, nếu vỡ sẽ gây một lượng lớn máu ào ra ổ bụng, nguy cơ tử vong lên đến trên 90% nên can thiệp sớm lúc nào hay lúc đó.

Túi phình động mạch chủ bụng như quả bưởi sắp vỡ. Ảnh: BVCC

Ông V. ngay lập tức được chuyển lên phòng phẫu thuật. Ca mổ nhiều thách thức vì khối phình khổng lồ không chỉ choán chỗ trong ổ bụng mà có phản ứng viêm dính vào đốt sống thắt lưng (đốt sống L1, L2) gây đau lưng. Ngoài ra, cổ túi phình nằm quá sát động mạch dưới thận, nếu cầm máu sai chỗ có thể gây suy thận vĩnh viễn do thiếu máu nuôi.

Ông V. điều trị tại bệnh viện. Ảnh: BVCC

Sau hơn 2 giờ phẫu thuật, các BS đã loại bỏ trọn khối xơ vữa trọng lượng 0,5 kg trong túi phình, đặt thành công động mạch nhân tạo, ông V. chia sẻ: “Tôi chưa từng nghe đến bệnh phình động mạch chủ nên cứ nghĩ mình đau lưng, đau bụng là do tuổi tác, thận có vấn đề hoặc do nhiễm lạnh".  

Các BS khuyến cáo nên kiểm tra sức khỏe định kỳ, nhất là người lớn tuổi. Siêu âm bụng giúp phát hiện và điều trị kịp thời túi phình động mạch bằng cách phẫu thuật loại bỏ túi phình hoặc đặt stent nội mạch, tránh để túi phình ngày càng lớn dần, rất nguy hiểm vì có thể vỡ đột ngột khiến người bệnh đột tử.

 

Phình động mạch chủ bụng là tình trạng động mạch bị giãn ra hơn bình thường, thành mạch dần mỏng và yếu, có nguy cơ vỡ đột ngột do áp lực máu. Đây là động mạch lớn nhất trong cơ thể, dẫn máu từ tim đến các cơ quan ở nửa phần dưới của cơ thể. Vỡ túi phình có thể làm người bệnh tử vong bất cứ lúc nào. Phần lớn người bệnh được phát hiện tình cờ qua siêu âm bụng hoặc sờ thấy khối phình trong bụng đập theo nhịp tim. Đối với các bệnh nhân phình động mạch chủ bụng, khi có các triệu chứng như đau bụng, ngất, da niêm mạc nhạt… cần nghĩ đến khả năng túi phình đã vỡ. Khi túi phình vỡ, nếu không được phẫu thuật kịp thời, bệnh nhân sẽ nhanh chóng tử vong. 

Đừng bỏ lỡ

Video đang xem nhiều

Đọc thêm