Ho khan, khó thở vì ... khối u 'khủng' trong lồng ngực

(PLO)- Sáng 18-6, BV Đa khoa Xuyên Á (TP.HCM) cho biết vừa phẫu thuật cắt khối u trung thất (u ở phần lồng ngực giữa hai lá phổi) cho anh NVQ (38 tuổi, ở Củ Chi, TP.HCM).

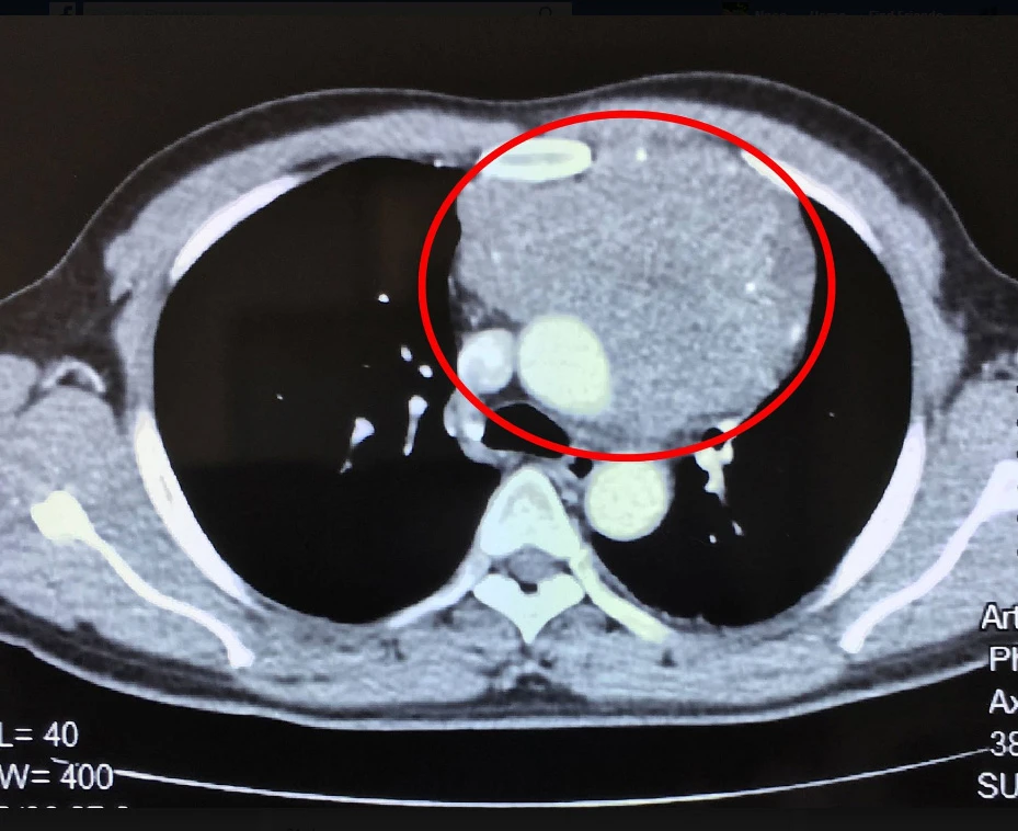
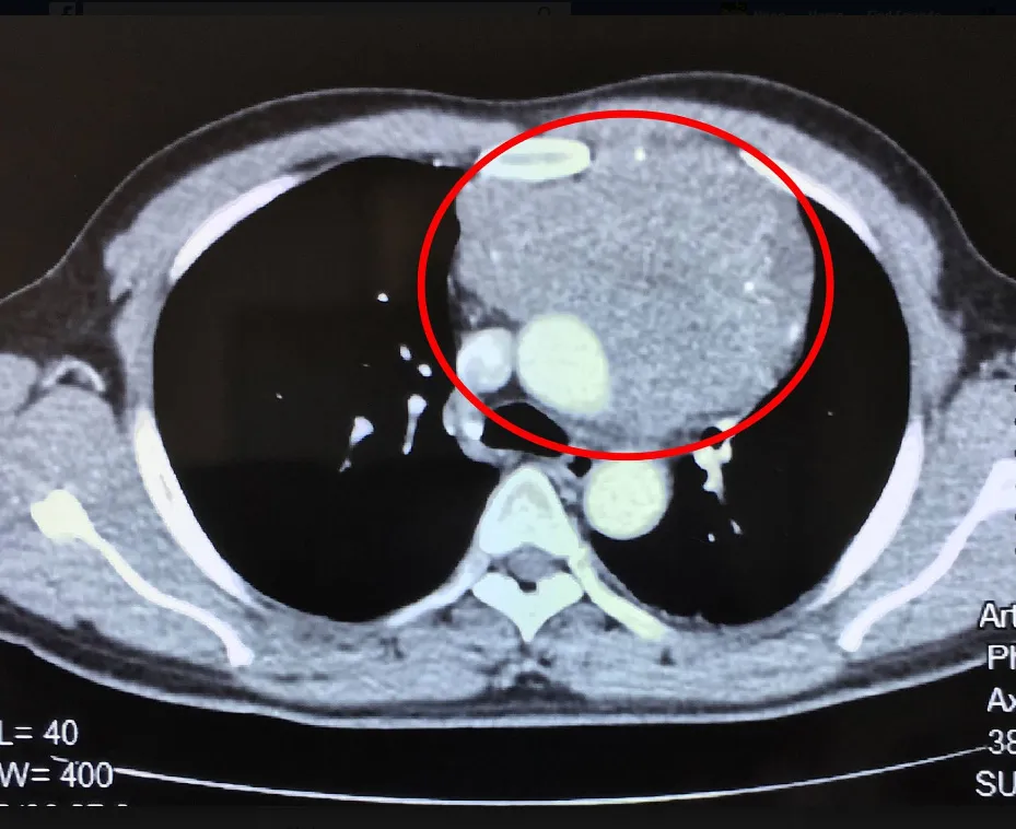
Trước đó anh Q ho khan dai dẳng, tức ngực, khó thở liên tục nên đến khám tại BV Đa khoa Xuyên Á. Kết quả chụp cắt lớp vi tính (CT) có dựng hình 3D cùng các thăm dò cận lâm sàng cần thiết cho thấy một khối u rất to (13x15x18 cm) xuất phát từ trung thất trước xâm lấn rộng vào màng ngoài tim và lan ra sau dính vào động mạch chủ ngực xuống. Anh Q buộc phải lên bàn mổ.

Hình chụp cắt lớp vi tính (CT) 160 lát cho thấy khối u nằm trong lồng ngực. Ảnh: CTV

Các bác sĩ (BS) tiến hành đường cưa dọc giữa xương ức. Khối u được tách chính xác ra khỏi thần kinh hoành và các cấu trúc mạch máu quan trọng (tĩnh mạch vô danh, động mạch chủ ngực, động mạch phổi trái). Tiếp theo các BS cắt bỏ toàn bộ khối u, kể cả màng ngoài tim và màng phổi trung thất bên trái. Sau hai giờ phẫu thuật, khối u được lấy ra an toàn.

Một BS khoa Phẫu thuật Tim mạch-Lồng ngực BV Đa khoa Xuyên Á cho biết do khối u xâm lấn thần kinh hoành trái lâu ngày nên các BS quyết định tạo hình làm căng cơ hoành nhằm tránh biến chứng suy hô hấp và không rút được máy thở sau mổ. Hiện sức khỏe anh Q đã ổn định.

Vị BS này còn cho biết các khối u trong trung thất thường có tỷ lệ ác tính cao và phần lớn cần phải mổ. Phẫu thuật sớm khi u chưa xâm lấn rộng sẽ dễ dàng về mặt kỹ thuật và tiên lượng sống tốt hơn.

“Do vậy, khi có các triệu chứng như đau ngực, ho khan, yếu cơ, phù nửa trên người, khàn giọng, loạn nhịp tim, khó thở, đau ngực… thì nên đến bệnh viện có chuyên khoa phẫu thuật tim mạch và lồng ngực để khám và điều trị sớm” – vị BS này khuyên.

Đừng bỏ lỡ

Video đang xem nhiều

Đọc thêm