Khối u não hiếm hình thành từ… tế bào tinh trùng

(PLO)- Khối u khiến bệnh nhân bị ung thư não được hình thành từ các tế bào tinh trùng vốn chỉ thường thấy trong dương vật.

Bệnh nhân Jordan Payne, 23 tuổi, sống tại Derbyshire (Anh) từng được các bác sĩ chẩn đoán chỉ còn sống được 18 tháng do bị ung thư não. Khối u này lại được hình thành từ tế bào tinh trùng vốn chỉ thường thấy trong dương vật.

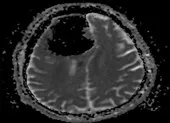
Khối u não của bệnh nhân lớn bằng quả bóng golf hình thành từ tế bào mầm được tạo ra từ khi phôi phát triển trong tử cung. Các bác sĩ cho biết, thông thường tế bào mầm này phát triển thành tinh trùng hoặc trứng (tùy giới tính của thai nhi).

Tuy nhiên, vì một lý do nào đó, chúng có thể “lộn đường” và di chuyển đến não hoặc các vùng khác trên cơ thể khi phôi thai phát triển. Các khối u sẽ hình thành nếu có sự tập hợp bất thường các tế bào mầm này ở bất cứ đâu trong cơ thể. Chúng vốn hiện diện từ khi trẻ sinh ra, nhưng có thể phải mất nhiều năm mới phát hiện ra.

Khối u hiếm của anh Payne vừa được phát hiện vào cuối tháng 3-2018 khi anh đột nhiên tăng cân, mắc chứng lẫn lộn, không thể nhớ được tên bạn bè. Trước đó, trong khi đang làm việc ở công trường xây dựng, anh bị một viên đá từ đường ống bể bay trúng mũ bảo hiểm. Tuy không bị thương nhưng anh vẫn được bạn bè khuyến khích đi chụp CT. Và từ đó, khối u gây ung thư não được phát hiện ra.

Mặc dù đã được trị liệu, nhưng khối u của anh vẫn phát triển. Hy vọng duy nhất của anh lúc này là 1 cuộc phẫu thuật não nhiều nguy cơ, có thể khiến anh tử vong hoặc mù hay liệt vĩnh viễn.

Hiện tại anh Payne bị chứng mất trí nhớ tạm thời, lẫn lộn, không thể nhớ được hầu hết sự kiện xung quanh.

Các triệu chứng thường gặp khi khối u này phát ra là đau đầu, mệt mỏi. Nếu khối u trong não, người bệnh hay cáu bẳn, hơi thở ngắn, quáng gà và có vấn đề về giữ thăng bằng.

Trong tử cung, dương vật của thai nhi là thứ hình thành sau cùng. Tế bào tạo ra nó di chuyển từ não qua cột sống tới vùng sinh thực. Trong trường hợp của anh Payne, không phải hầu hết các tế bào mầm này rời khỏi não, chúng đã ở lại não nhiều năm liền, trở thành khối u ung thư.

Ở Anh, mỗi năm có khoảng 45 trẻ bị ung thư tế bào mầm.

 
Cứu bệnh nhân có khối u não 'không giống ai'
Cứu bệnh nhân có khối u não 'không giống ai'
(PLO)- Tối 26-10, bệnh viện (BV) Đa khoa Xuyên Á (TP.HCM) cho biết nơi đây vừa phẫu thuật thành công khối u não mặt sau xương đá, một vị trí vô cùng nguy hiểm trong não cho bệnh nhân NTT (50 tuổi, ở tỉnh Tây Ninh).

Đừng bỏ lỡ

Video đang xem nhiều

Đọc thêm