Mất 3,5 lít máu vì bỏ qua dấu hiệu đi cầu phân đen

(PLO)- Anh C. đi cầu phân đen nhiều lần trong vài ngày nhưng không đi khám bệnh, khi đang ăn tiệc cưới thì nôn ra máu bầm liên tục.

Anh TVTC (33 tuổi) vừa nhập viện cấp cứu ở một bệnh viện (BV) tư tại TP.HCM trong tình trạng nôn ói ra máu bầm liên tục.

Được biết anh C. đi cầu phân đen nhiều lần từ vài ngày trước nhưng không đi khám. Trong lúc anh đang ngồi ăn tiệc cưới và chưa dùng hết món đầu tiên thì xảy ra tình trạng trên.

Khi vào BV, anh C. vẫn liên tục nôn ra máu bầm và đi cầu phân đen khiến lượng máu mất báo động. Anh đã được truyền 10 đơn vị hồng cầu lắng (3,5 lít máu) để bồi hoàn lượng máu mất.

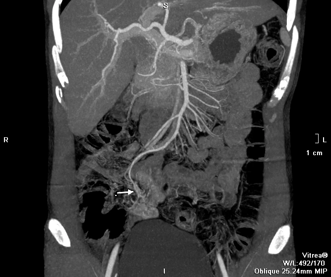
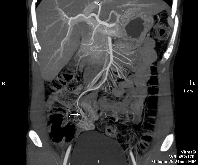
Hình ảnh CT của bệnh nhân khi vào viện cho thấy mạch máu dị dạng gây chảy máu. Ảnh: CO

Kết quả chụp CT cho thấy bệnh nhân có búi dị dạng mạch máu trong lòng ruột, đang có dấu hiệu chảy máu. Đây là thủ phạm gây chảy máu kéo dài. Bệnh nhân được hội chẩn, điều trị khẩn cấp bằng phương pháp can thiệp mạch để nút búi dị dạng. Sau thủ thuật 24 giờ, bệnh nhân không còn triệu chứng chảy máu, hồi phục và xuất viện.  

BS trưởng khoa Chẩn đoán hình ảnh của BV lưu ý đi cầu phân đen là biểu hiện của chảy máu từ đường tiêu hóa, không nên chủ quan với dấu hiệu này, cần đi khám sớm để tìm nguyên nhân. Việc vào viện trễ có thể đe dọa đến tính mạng. 

Bên cạnh đó, nên thường xuyên thăm khám sức khỏe định kỳ sẽ giúp phát hiện sớm các bất thường bẩm sinh nhằm tránh tình huống xấu diễn ra đột ngột.

Đừng bỏ lỡ

Video đang xem nhiều

Đọc thêm