Người đàn ông bị chân vịt ca nô chém lộ xương chân

(PLO)- Người đàn ông bị ca nô lùi tông trúng và bị chân vịt của ca nô chém lộ xương chân.

 Chiều 20-9, bác sĩ (BS) Võ Hòa Khánh, Trưởng phòng Quản lý chất lượng Bệnh viện (BV) Chấn thương-Chỉnh hình TP.HCM, cho biết BV vừa phẫu thuật thành công trường hợp bệnh nhân bị đa vết thương vùng cẳng chân do chân vịt ca nô chém.

Trước đó, BV tiếp nhận ông TVH (32 tuổi, ở An Giang) trong tình trạng vùng cẳng chân phải lộ xương gãy.

Chân phải ông H. bị gãy do chân vịt ca nô chém. Ảnh: BV CUNG CẤP

Người nhà cho biết ông H. bị ca nô lùi tông trúng và bị chân vịt của ca nô làm bị thương. Ông H. được đưa tới BV địa phương sơ cứu, sau đó được chuyển đến BV Chấn thương-Chỉnh hình giờ thứ 4 sau tai nạn

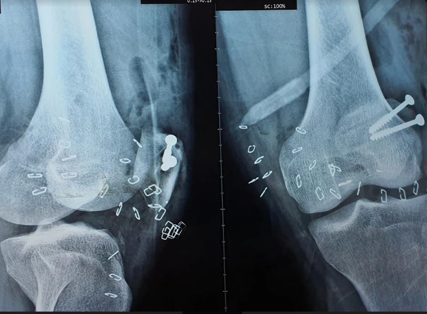
Tại đây, ông H. được chẩn đoán gãy hở xương cẳng chân phải giờ thứ 4, gãy hờ xương bánh chè chân trái và vết thương cổ tay phải. Các BS nhanh chóng cắt lọc thám sát khâu gân cơ, đặt khung cố định ngoài cẳng chân phải và kết hợp xương bánh chè trái. Hiện sức khỏe ông H. đã ổn định.

Theo BS Khánh, đây là trường hợp đa tổn thương phần mềm và xương do chân vịt ca nô gây ra, nguy cơ mất máu cấp và nhiễm trùng rất cao. Nếu không xử lý kịp thời ông H. có thể rơi vào tình trạng sốc chấn thương, nguy hiểm tính mạng.

Đừng bỏ lỡ

Video đang xem nhiều

Đọc thêm