Nguy cơ lây lan dịch hạch vào Việt Nam rất lớn

(PLO)-Ngày 24-11, ông Trần Đắc Phu, Cục trưởng Cục Y tế dự phòng (Bộ Y tế) có văn bản khẩn gửi Sở Y tế các tỉnh, TP về việc tăng cường giám sát bệnh dịch hạch.

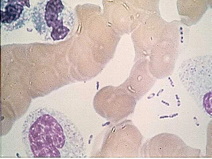
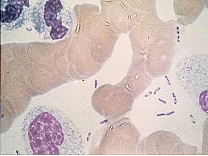
Vi khuẩn dịch hạch dưới kính hiển vi. Ảnh: dantri 

Theo đó, Cục Y tế dự phòng yêu cầu tăng cường giám sát trên động vật hoang dã; tập trung giám sát vật chủ trung gian truyền bệnh (chuột, bọ chét) tại các vùng giám sát trọng điểm, các ổ dịch cũ và vùng có nguy cơ cao.

Cục cũng yêu cầu các lực lượng chức năng tại cửa khẩu phối hợp kiểm tra, giám sát chặt chẽ đối với người, động vật nhập khẩu vào nước ta, đặc biệt là đối với các phương tiện vận tải xuất phái từ vùng đang có bệnh dịch hạch.

Theo ông Phu, dịch hạch là bệnh truyền nhiễm tối nguy hiểm thuộc nhóm A do trực khuẩn Yersinia pestis gây nên. Bệnh tiến triển cấp tính, lây lan mạnh với tỉ lệ tử vong cao. Bệnh lây truyền sang người qua trung gian bọ chét mang mầm bệnh hoặc tiếp xúc trực tiếp qua da với động vật mang nguồn bệnh hoặc thông qua nước bọt của người bệnh khi ho.

“Mặc dù tại Việt Nam 12 năm trở lại đây không ghi nhận trường hợp mắc dịch hạch, nhưng nguy cơ lây lan bệnh dịch hạch từ nước ngoài vào nước ta là rất lớn” – ông Phu nhấn mạnh.

Để chủ động phòng chống bệnh dịch hạch vào Việt Nam, ông Phu khuyến cáo cộng đồng cần thực hiện tốt công tác vệ sinh môi trường, bố trí và sắp xếp đồ đạc, dụng cụ trong nhà ở, nhà kho hợp lý; quản lý thực phẩm, nuôi mèo, đặt bẫy, phá vỡ hang tổ chuột, không chế, phá hủy nơi sinh sản của chuột, bọ chét. Khi phát hiện có chuột chết bất thường phải khai báo ngay cho cơ quan y tế nơi gần nhất.

Nếu có người nhà, hàng xóm biểu hiện bệnh dịch hạch (sốt, nổi hạch...) phải yêu cầu đến ngay cơ sở y tế để khám và điều trị.

Theo thông báo của Tổ chức Y tế thế giới (WHO), trong 3 tháng qua tại Madagascar đã ghi nhận 119 trường hợp mắc bệnh dịch hạch (2% là dịch hạch thể phổi) trong đó có 40 trường hợp tử vong.

Trước đó cơ quan đầu mối IRH của Mỹ thông báo ghi nhận bốn trường hợp mắc bệnh dịch hạch tại bang Colorado, Mỹ. Ủy ban Kế hoạch hóa gia đình Trung Quốc cùng đã thông báo ghi nhận một trường hợp tử vong do bệnh dịch hạch thể phổi tại tỉnh Cam Túc (Trung Quốc). 

Đừng bỏ lỡ

Video đang xem nhiều

Đọc thêm