Tái tạo bàng quang bằng ruột non cho người bị u ác tính

(PLO)- BV Đa khoa Xuyên Á (TP.HCM) đã phẫu thuật tạo hình bàng quang từ ruột non thành công cho ông VĐ (51 tuổi, ở TP Đà Nẵng) bị u bàng quang xâm lấn. 

Theo TS-BS Nguyễn Văn Châu, Tổng giám đốc BV Đa khoa Xuyên Á, cho biết vào chiều 10-3, thì đây là kỹ thuật phẫu thuật rất phức tạp, chỉ được thực hiện tại vài bệnh viện lớn có chuyên khoa niệu.

Trước đó, BV Đa khoa Xuyên Á tiếp nhận ông Đ trong tình trạng tiểu ra máu. Ông Đ cho biết liên tục hơn hai tuần nay bị mệt mỏi, đau lưng, thường xuyên tiểu ra máu. Kết quả khám tại bệnh viện địa phương cho thấy ông có khối u ác tính ở bàng quang.

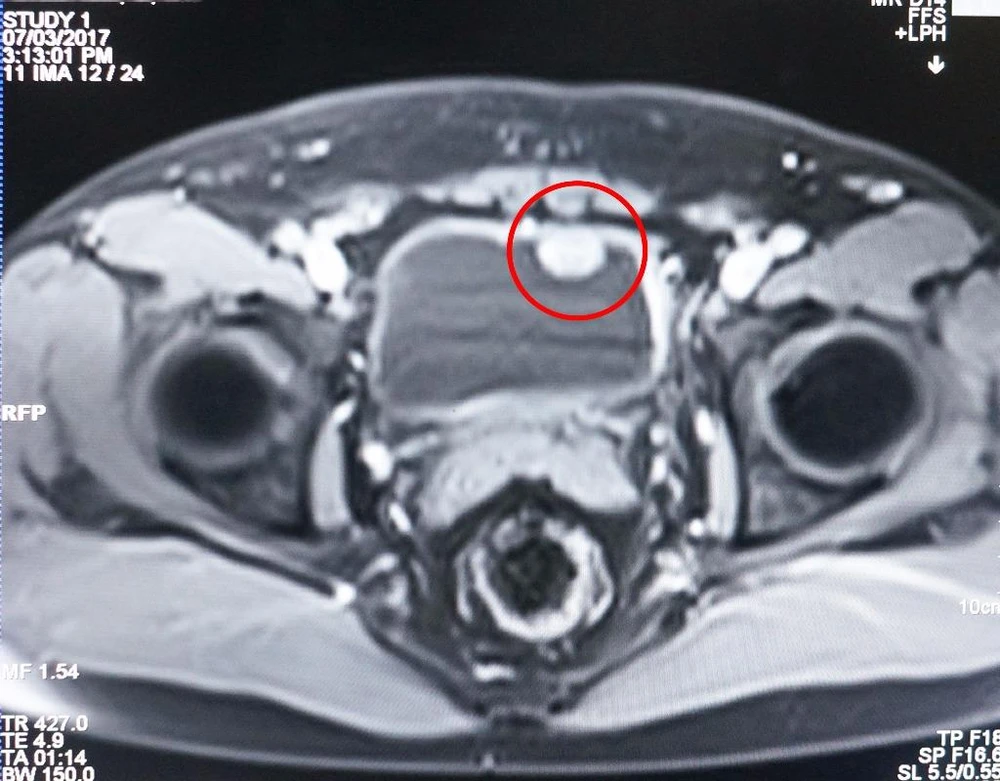
Kết quả chụp MRI cho thấy khối u xâm lấn qua lớp cơ bàng quang.

Kết quả chụp MRI cho thấy khối u xâm lấn qua lớp cơ bàng quang. Ảnh: LÊ PHỤNG

Qua khám lâm sàng và soi bàng quang sinh thiết, chụp MRI, các bác sĩ xác định khối u đã xâm lấn qua lớp cơ bàng quang. Để hạn chế tái phát, giảm biến chứng và giúp ông Đ có thể tiểu tiện bình thường sau mổ, các bác sĩ thực hiện phương pháp phẫu thuật nội soi cắt bỏ bàng quang và tái tạo lại bằng ruột non của bệnh nhân.

Đầu tiên, các bác sĩ Ngoại tiết niệu tiến hành phẫu thuật nội soi cắt bỏ bàng quang, tuyến tiền liệt, túi tinh, hai ống dẫn tinh… Tiếp theo là nạo vét toàn bộ hạch để loại bỏ hoàn toàn khối u ác tính. Kế đó, các bác sĩ rạch một đường vừa đủ để lấy khối bệnh phẩm đã cắt ra ngoài và cuối cùng là lấy một đoạn ruột non khoảng 60 cm để tạo túi chứa nước tiểu (bàng quang). Do bàng quang tái tạo này được nối với niệu đạo nên ông Đ vẫn có thể đi tiểu theo đường tự nhiên. Sau phẫu thuật, sức khỏe ông Đ tiến triển tốt.

BS Nguyễn Ngọc Phương Tâm thăm khám ông Đ sau khi phẫu thuật

BS Nguyễn Ngọc Phương Tâm thăm khám ông Đ sau khi phẫu thuật. Ảnh: LÊ PHỤNG

BS Nguyễn Ngọc Phương Tâm, Trưởng khoa Ngoại tiết niệu BV Đa khoa Xuyên Á, cho biết các bác sĩ đã dùng phương pháp phẫu thuật nội soi để cắt bỏ bàng quang. Bằng phương pháp này, các bác sĩ chỉ rạch một đường nhỏ vừa đủ để lấy bệnh phẩm ra ngoài và tạo bàng quang mới nên lượng máu mất không nhiều. Phương pháp này còn giảm tỉ lệ biến chứng sau phẫu thuật và giúp ông Đ mau hồi phục so với mổ hở mà các bệnh viện hiện nay vẫn làm.

Đừng bỏ lỡ

Video đang xem nhiều

Đọc thêm