Tình cờ phát hiện u răng khi chụp X-quang

(PLO)- Mới đây, bệnh viện (BV) quận Thủ Đức (TP.HCM) đã phát hiện một trường hợp u răng đa hợp hiếm gặp. Bệnh nhân là TTP (19 tuổi) tình cờ phát hiện bị u răng đa hợp trong khi khám sức khỏe tổng quát.

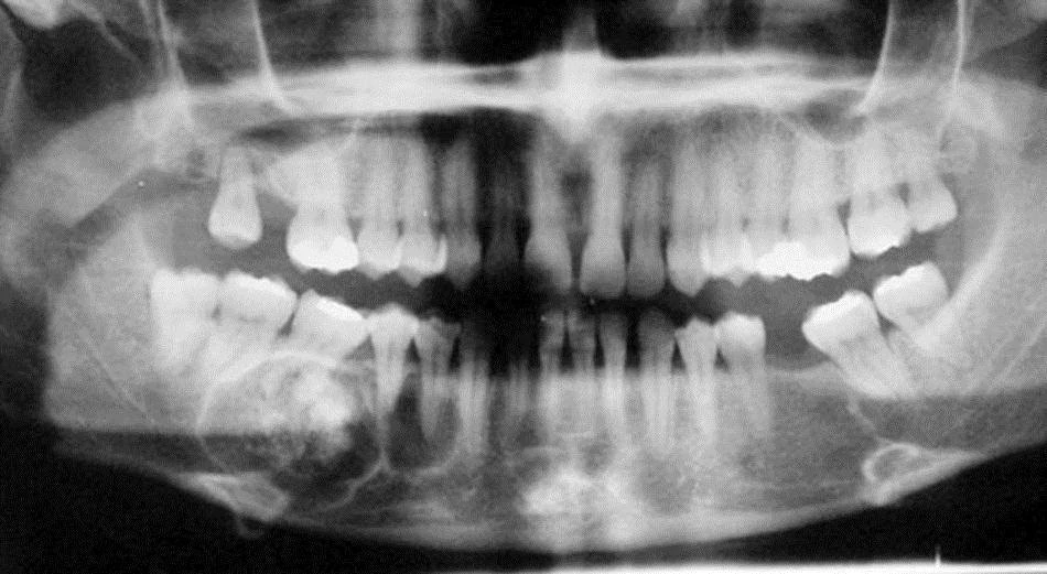
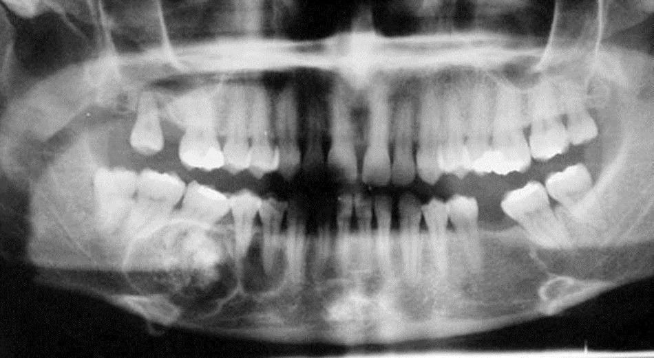
Trước khi phát hiện u răng, bệnh nhân không có triệu chứng lâm sàng nào. Thông qua hình ảnh X-quang, các bác sĩ phát hiện bệnh nhân có 1 khối cản quang tròn ở vùng răng 45, 46 xương hàm dưới bên phải, đường kính 3 cm. Các bác sĩ khoa Răng hàm mặt đã chỉ định phẫu thuật khoét u răng, sau hơn 2 giờ ca phẫu thuật mở xương, đục vát nhằm tránh tổn thương dây thần kinh răng dưới đã lấy ra được nhiều răng nhỏ dị dạng.

Hiện tại, bệnh nhân đã ổn định, chụp X-quang sau phẫu thuật không còn hình ảnh u răng. Kết quả giải phẫu bệnh cho thấy thành phần chủ yếu của u răng là men ngà, tủy và cement.

Hình ảnh chụp X-quang cho thấy bệnh nhân có rất nhiều chiếc răng nhỏ dị dạng. Ảnh: Bệnh viện cung cấp

U răng đa hợp (Compound Odontoma) là một bệnh hiếm gặp, rất khó được phát hiện bởi bệnh cảnh không rõ ràng, khối u không gây đau, tiến triển âm thầm… chủ yếu gặp ở thanh thiếu niên. Hiện nguyên nhân của bệnh chưa rõ ràng. U răng có nguồn gốc từ răng. Khi u phát triển lớn gây chèn ép xương khiến xương hàm bị hủy hoại. Bệnh này điều trị khó khăn và tốn kém bởi phương pháp điều trị duy nhất  là phẫu thuật để lấy u.

Tuy nhiên, nếu bệnh nhân đến sớm hơn thì phẫu thuật sẽ đơn giản, tiên lượng tốt. Trường hợp bệnh nhân đến trễ sẽ khó điều trị, thậm chí để lại nhiều di chứng cho các răng liên quan như lệch răng, răng ngầm, mất răng, cản trở chức năng nhai, nhiễm trùng gây viêm xương, dò xương…

Điều đáng nói là hiện nay rất nhiều người không biết tới bệnh này, hơn nữa bệnh chỉ được phát hiện bằng cách chụp X-quang toàn bộ xương hàm. Vì vậy đã có rất nhiều bệnh nhân được điều trị sai hoặc mổ u không triệt để dẫn đến bệnh ngày một nặng thêm. Do đó, để phòng ngừa u răng phát triển âm thầm và những bệnh lý khác của răng hàm mặt, tốt nhất người dân nên đi khám và chụp X-quang răng định kỳ 6 tháng hoặc 1 năm một lần.

Đừng bỏ lỡ

Video đang xem nhiều

Đọc thêm