Ngày 23-8, bệnh viện (BV) Trung ương quân đội 108 cho biết vừa cấp cứu thành công cho nữ bệnh nhân 34 tuổi nhồi máu phổi do lạm dụng thuốc tránh thai khẩn cấp.
Bệnh nhân bị đau tức ngực, khó thở ngày thứ 2, đã cấp cứu và điều trị tại tuyến trước nhưng tình trạng khó thở ngày càng nặng lên, được chuyển đến BV trong tình trạng tỉnh, khó thở, thở oxy hỗ trợ 5 lít/phút, Sp02 92%, rì rào phế nang 2 phổi giảm, có tiếng thổi tâm thu tại ổ van ba lá, tĩnh mạch cổ nổi, gan to mấp mé bờ sườn.
Khai thác tiền sử, được biết bệnh nhân thường xuyên sử dụng thuốc tránh thai Levonorgestrel 10 năm nay, thường uống 12-15 viên/tháng.
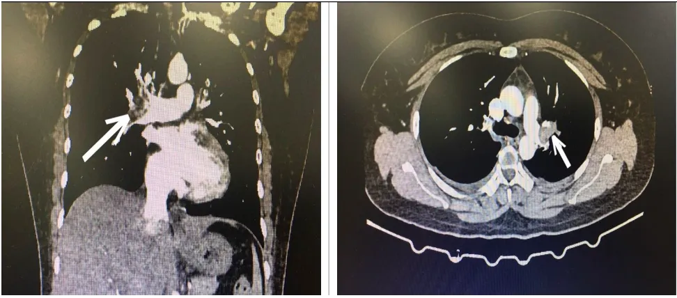
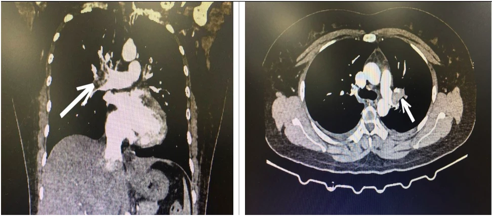
![]() |
Hình ảnh CT lồng ngực bệnh nhân bị tắc động mạch phổi cấp tính |
Khi vào BV, bệnh nhân được chỉ định xét nghiệm cấp cứu, siêu âm tim có hình ảnh giãn buồng tim phải, hở nặng van ba lá, tăng áp lực động mạch phổi.
Khi đó bác sĩ cấp cứu hướng chẩn đoán tới bệnh thuyên tắc động mạch phổi cấp và quyết định cho chụp CT ngực có tiêm thuốc cản quang, kết quả là hình ảnh huyết khối động mạch phổi 2 bên.
Theo nghiên cứu của Alain Weill trong tạp chí BMJ 2016, trong số 100.000 phụ nữ sử dụng viên tránh thai trong một năm, ước tính 33 người sẽ bị thuyên tắc phổi. Đối với thuốc tránh thai khẩn cấp, theo khuyến cáo không dùng quá 2 lần trong 1 chu kỳ kinh nguyệt.
Bệnh nhân được chẩn đoán xác định là huyết khối thuyên tắc động mạch phổi cấp tính, lạm dụng thuốc tránh thai Levonorgestrel. Bệnh nhân được điều trị tích cực tại Khoa Hồi sức tim mạch theo phác đồ chống đông, hỗ trợ hô hấp tích cực.
Sau 7 ngày, bệnh nhân đã hết khó thở, toàn trạng ổn định, được ra viện.
Tắc mạch phổi xuất phát từ các huyết khối (embolus) đã bị vỡ và trôi tự do trong mạch máu. Hầu hết các huyết khối trở thành tắc mạch phổi được hình thành trong tĩnh mạch ở chân. Huyết khối này di chuyển từ các tĩnh mạch nhỏ đổ vào các tĩnh mạch lớn về tim phải. Từ tim phải đi vào động mạch phổi chính và có thể bị mắc kẹt ở đó hoặc tiếp tục di chuyển vào một trong hai phổi.
Khi huyết khối nằm trong động mạch phổi, nó sẽ chặn lưu lượng máu vốn đến phổi để nhận lấy oxy. Nếu không có đủ máu để nhận được oxy và di chuyển sang tim trái, nồng độ oxy trong cơ thể giảm xuống một cách nguy hiểm, gây tình trạng thiếu oxy mô.
Do tắc nghẽn tại phổi, áp suất dội ngược lên tim phải. Tim phải có thể bị giãn, gây hở van ba lá. Tim phải phình to chèn ép tim trái, ảnh hưởng tới khả năng co bóp của tim trái. Nếu tim trái không thể bơm đủ máu, huyết áp cũng giảm xuống làm tình trạng thiếu oxy mô tiến triển nặng lên, có thể dẫn đến suy đa tạng và tử vong nếu không được phát hiện, cấp cứu, điều trị kịp thời.
