Cầu cứu bác sĩ vì đắp thuốc Nam 7 ngày không hết bệnh

Cầu cứu bác sĩ vì đắp thuốc Nam 7 ngày không hết bệnh

(PLO)- Sau khi bị té ngã từ trên cao xuống, bệnh nhân đắp thuốc Nam suốt bảy ngày nhưng vết thương không những không khỏi mà ngày càng sưng to, tím bầm.

Sáng 2-3, BV quận 12 (TP.HCM) đã phẫu thuật xương đòn phải bị gãy cho ông NVN (38 tuổi, huyện Hóc Môn, TP.HCM).

Trước đó, ông N. được đưa đến BV quận 12 trong tình trạng vai phải sưng vù, đau nhức. Người nhà cho biết ông bị té ngã từ trên cao trong khi dọn dẹp nhà cửa. Nghe ông N. than đau vai, người nhà liền đưa tới người quen đắp thuốc Nam. Sau bảy ngày đắp thuốc, ông N. chẳng những không hết đau mà vai phải ngày càng sưng to, tím bầm.

Kết quả chụp X-quang tại BV quận 12 cho thấy ông N. bị gãy 1/3 giữa xương đòn phải nên phải phẫu thuật. Sau một tiếng, ca phẫu thuật đã hoàn tất và thành công.

phẫu thuật ở BV quận 12

Bác sĩ BV quận 12 đang phẫu thuật gãy xương đòn phải cho bệnh nhân. Ảnh: TRẦN NGỌC

BS Nhan Tô Tài, Giám đốc BV quận 12, cho biết nếu ông N. không được đưa tới BV sớm thì sẽ gặp nhiều khó khăn trong quá trình phẫu thuật sau này. Hơn nữa, bệnh nhân sẽ bị hạn chế hoạt động rất nhiều sau khi phẫu thuật. “Khi chẳng may bị té ngã, bệnh nhân nên đến BV ngay nếu nghi ngờ gãy xương. Việc tự ý đắp thuốc Nam chẳng những không hết bệnh mà còn ảnh hưởng đến sức khỏe” - BS Tài lưu ý.

Theo BS Tài, những ca gãy xương tương tự như trên trước đây BV quận 12 phải chuyển lên tuyến trên. Nhưng từ tháng 10-2016, BV lắp đặt các thiết bị hiện đại và cử bác sĩ nâng cao chuyên môn nên có thể thực hiện những ca phẫu thuật khó.

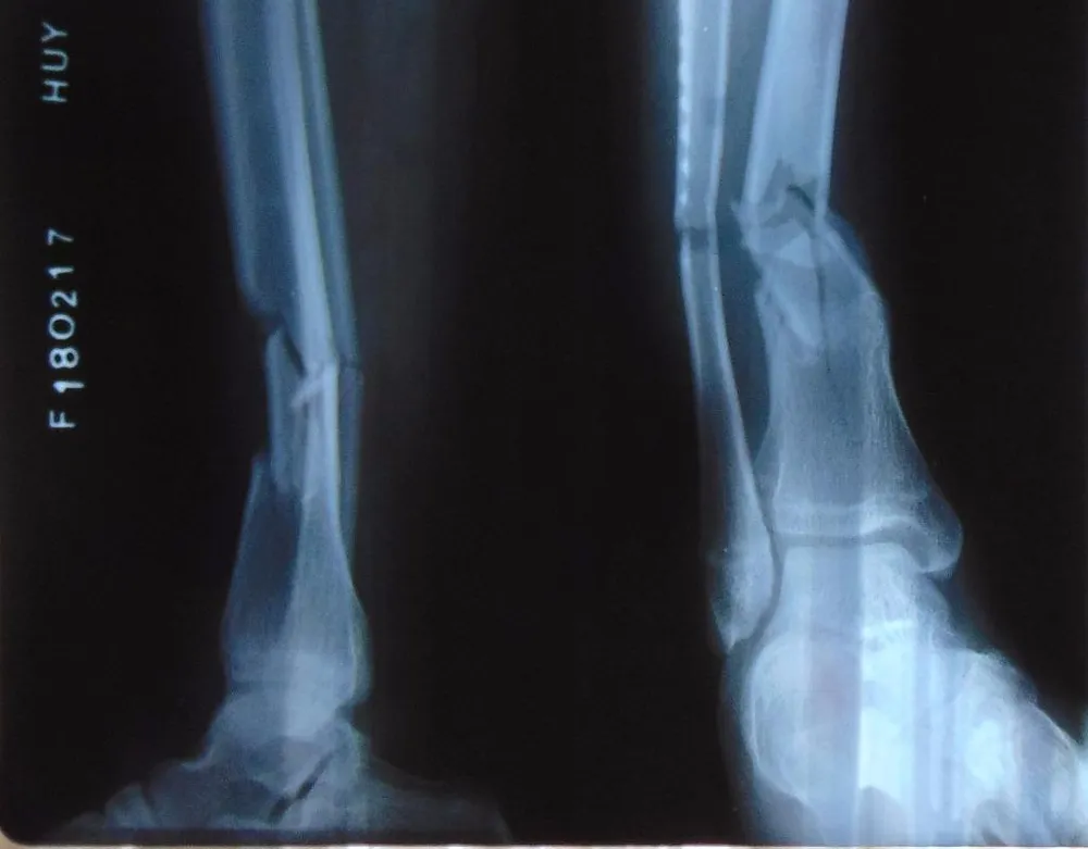
chụp xquang

Kết quả chụp X-quang cho thấy bệnh nhân NTQ bị gãy kín 1/3 dưới hai xương cẳng chân phải. Ảnh: TRẦN NGỌC

Mới đây, BV quận 12 cũng đã phẫu thuật thành công ca gãy kín 1/3 dưới hai xương cẳng chân phải cho bệnh nhân NTQ (16 tuổi, quận 12). Đây cũng là lần đầu BV quận 12 phẫu thuật ca gãy xương phức tạp ở một bệnh nhân trẻ tuổi và đã thành công.

“Đến nay, BV quận 12 đã mổ cho gần 20 trường hợp gãy xương phức tạp lẽ ra phải chuyển lên BV tuyến trên. Việc này vừa giúp bệnh nhân không mất nhiều thời gian chờ đợi, đỡ tốn tiền đi lại mà còn góp phần giảm tải BV tuyến trên” -BS Tài nói.

Đừng bỏ lỡ

Video đang xem nhiều

Đọc thêm