Gần đây, khoa Cấp cứu Bệnh viện (BV) Nguyễn Tri Phương liên tục tiếp nhận nhiều trường hợp ngưng tim, ngưng thở khi tham gia các sinh hoạt thường nhật. Đáng lưu ý, không ít người trong số đó chưa đến tuổi 60.
Đơn cử, bệnh nhân tên NNĐ (sinh năm 1964) đột nhiên đau ngực, khó thở khi đang bơi. Sau đó khoảng 30 phút, bệnh nhân được người dân phát hiện bị tím tái nên gọi cấp cứu. Đội cấp cứu tiếp xúc người bệnh khi đã ở tình trạng ngưng tim ngưng thở, mạch và huyết áp không đo được
![]() |
Bác sĩ bệnh viện Nguyễn Tri Phương can thiệp ca ngưng tim ngoại viện. Ảnh: BVCC |
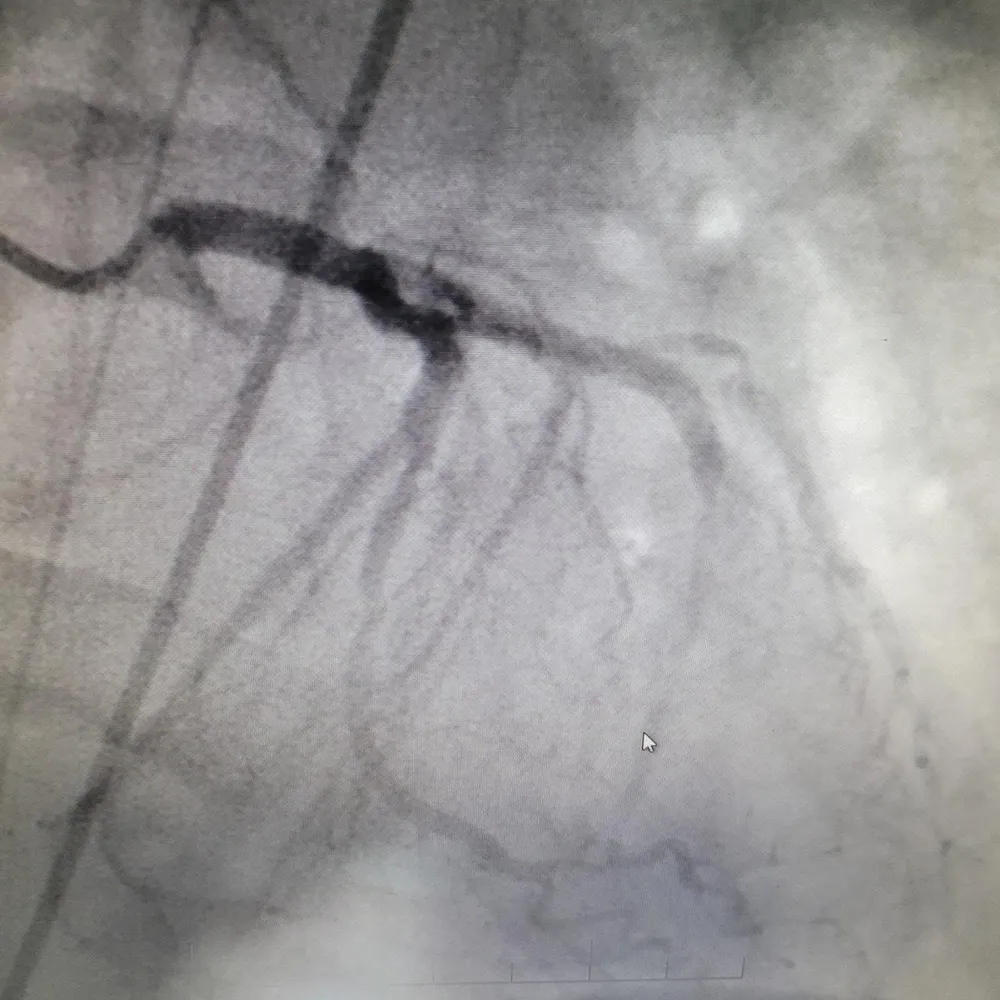
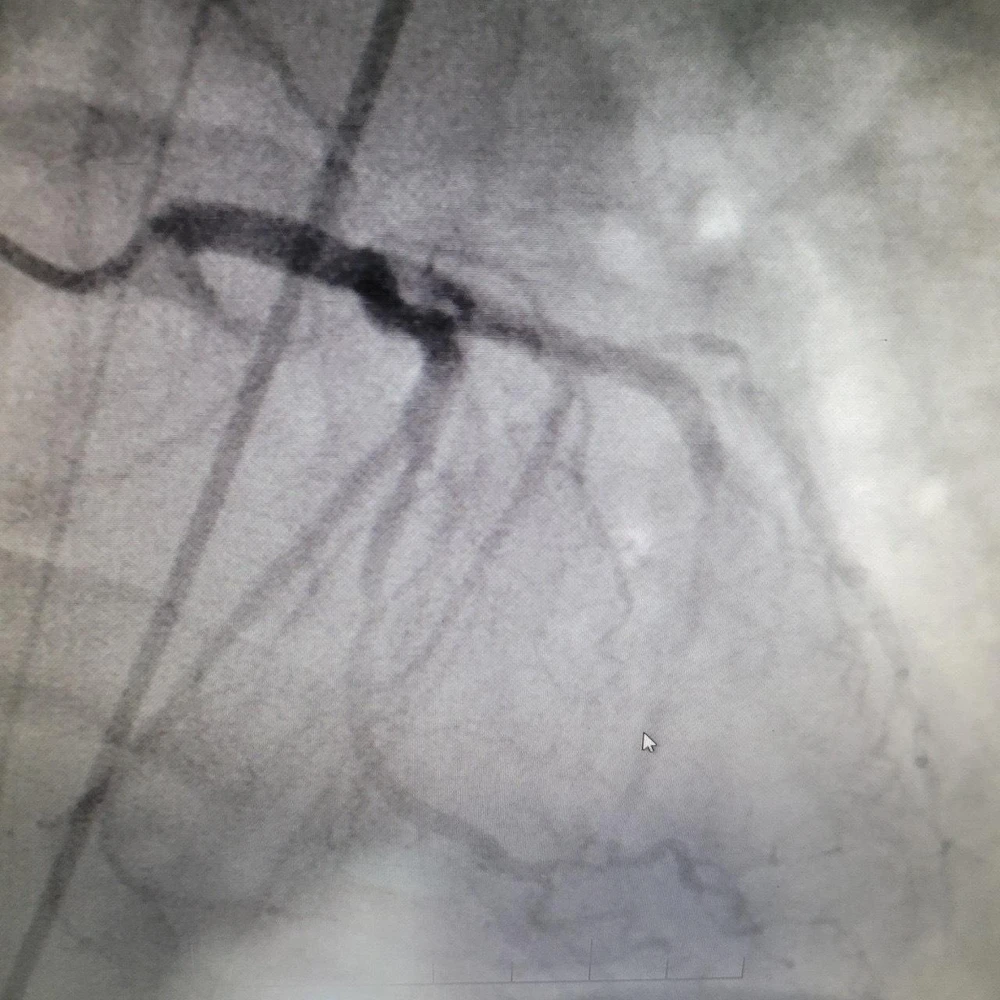
Tại BV, kết quả chụp mạch vành cho thấy bệnh nhân bị tắc nhánh động mạch liên thất trước (động mạch lớn nhất nuôi tim). Sau 13 ngày điều trị, bệnh nhân ngừng thuốc vận mạch, được cai máy thở và rút nội khí quản sau 18 ngày điều trị.
Một bệnh nhân khác (sinh năm 1978) cũng đột ngột tím tái, khó thở, sau đó ngất đi khi đang làm việc tại công trường. Bệnh nhân được đưa vào BV trong tình trạng ngưng tim ngưng thở, mạch và huyết áp bằng 0. Các BS chẩn đoán đây là trường hợp nhồi máu cơ tim cấp (MI) giờ thứ nhất có biến chứng ngưng tim ngoại viện.
Theo TS.BS Lê Cao Phương Duy, Phó Giám đốc BV Nguyễn Tri Phương, đây là hai trường hợp điển hình ngưng tim ngưng thở do rối loạn nhịp ở bệnh nhân MI.
MI là một trong những nguyên nhân hàng đầu dẫn đến nhập viện và tử vong hiện nay. Nhiều bệnh nhân dễ tử vong ở những giờ đầu tiên trước khi đến BV vì các biến chứng liên quan đến rối loạn nhịp. Đặc biệt, khi bệnh nhân đã ngưng tim ngoài BV, tỷ lệ tử vong trên 90%. Nếu được nhập viện và điều trị kịp thời, tỷ lệ này giảm xuống còn 6-10%.
![]() |
Hình ảnh chụp đông mạch vành của bệnh nhân sau can thiệp. Ảnh: BVCC |
Những người nguy cơ cao bị MI là người từng được chẩn đoán bệnh mạch vành, có những yếu tố nguy cơ của bệnh mạch vành như lớn tuổi (nam trên 45 tuổi, nữ trên 55 tuổi); thừa cân, béo phì; ít vận động thể lực; hút thuốc lá; tăng huyết áp; đái tháo đường; rối loạn lipid máu; stress về thể chất và tinh thần.
Nhiều nghiên cứu cho thấy trong hơn 50% các trường hợp sẽ có một yếu tố khởi kích xảy ra trước khi nhồi máu cơ tim như vận động gắng sức, stress tâm lý, phẫu thuật, có bệnh lý nội khoa nặng.
Nhồi máu cơ tim có tần suất xảy ra cao vào buổi sáng (từ 6 -11 giờ), nhất là trong vòng 3 giờ đầu sau khi ngủ dậy.
Dấu hiệu cảnh báo sắp ngưng tim, ngưng thở
Đau ngực là triệu chứng thường gặp nhất trong nhồi máu cơ tim với các tính chất như đau sau xương ức hoặc đau ngực trái; đau lan lên cổ, hàm dưới, vai trái hoặc bờ trụ tay trái; đau lan xuống thượng vị nhưng không bao giờ vượt quá rốn. Những cơn đau thường kéo dài trên 30 phút. Các triệu chứng kèm theo thường gặp là khó thở, vã mồ hôi.
Một số bệnh nhân không biểu hiện đau ngực mà có những triệu chứng không đặc hiệu như mệt mỏi, hồi hộp, khó thở, đau thượng vị, buồn nôn, nôn, rối loạn tri giác…
Bệnh nhân hậu phẫu, lớn tuổi, đái tháo đường có thể không biểu hiện đau ngực mà xuất hiện triệu chứng rối loạn tri giác hoặc dấu hiệu sinh tồn xấu.

