Viên sỏi bàng quang ‘khủng’ to như trứng đà điểu

(PLO) - Một người đàn ông thường xuyên mắc phải vấn đề về tiêu tiểu được phát hiện có một viên sỏi bàng quang to tương đương quả trứng đà điểu.

Người đàn ông có viên sỏi bàng quang khủng này đến từ California (Mỹ), 64 tuổi. Ông đến bệnh viện khám với triệu chứng bị đau eo trái và thường xuyên gặp các vấn đề khi đi tiểu.

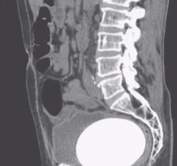
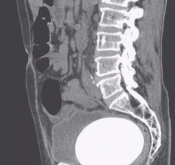
Sau khi làm các xét nghiệm cần thiết, bản quét CT đã cho thấy bệnh nhân có viên sỏi to bất thường trong bàng quang. Sau khi phẫu thuật lấy viên sỏi ra, các bác sĩ xác đinh nó nặng khoảng 770g.

Không chỉ có thế, các bác sĩ còn phát hiện viên sỏi khác nhỏ hơn trong niệu quản trái, ống dẫn nước tiểu từ thận đến bàng quang của bệnh nhân. Viên sỏi này sẽ được phá vỡ bằng phương pháp trị liệu laser.

Theo các bác sĩ, bệnh nhân  từng bị ung thư bàng quang hơn 10 năm trước và đã bị cắt bỏ bàng quang. Sau đó, người ta tạo một bàng quang giả ngoài ruột cho ông. Giống như bàng quang bình thường, túi bàng quang này kết nối với niệu đạo và niệu quản để tạo lối thoát cho nước tiểu ra ngoài cơ thể. Tuy nhiên, quá trình này có thể làm tăng nguy cơ bị sỏi.

Viên sỏi sau khi lấy ra cân nặng 770g, lớn tương đương một quả trứng đà điểu. Ảnh: Dailymail.

Theo các bác sĩ, bình thường sỏi bàng quang khá nhỏ và có thể trôi ra ngoài một cách tự nhiên. Tuy nhiên với ca này, các bác sĩ đã phải mổ khẩn cấp do kích thước viên sỏi quá “khủng”.

Nhưng đây còn chưa phải là viên sỏi bàng quang to nhất thế giới. Theo sách Kỷ lục Guiness, viên sỏi to nhất thế giới thuộc về José de Castro da Silva, 62 tuổi, sống tại São Paulo,  Brazil vào năm 2003. Viên sỏi này khoảng 1,9kg.

Đừng bỏ lỡ

Video đang xem nhiều

Đọc thêm