Bệnh viện Bạch Mai, Hà Nội đang điều trị một bệnh nhân nam, từ Bệnh viện Kiến An, Hải Phòng chuyển lên, trong tình trạng hôn mê. Đáng chú ý, đây là nghi phạm trong một vụ trộm do Cơ quan CSĐT quận Đồ Sơn bắt giữ, nhưng hai ngày sau thì báo về gia đình là đang cấp cứu trong bệnh viện.
Bị bắt hai ngày thì nhập viện
Chia sẻ với PLO tại Bệnh viện Bạch Mai tối 21-8, anh Trần Đức Sang cho biết anh trai mình là Trần Đức Trình, trú tại thôn 6, xã Tú Sơn, huyện Kiến Thụy, Hải Phòng.
Chiều tối 15-8, anh Trình được các cán bộ thôn, xã và công an đưa về nhà trong trạng thái bị còng tay. Sau khi đọc lệnh khám xét, công an tiến hành khám nhà và thu giữ một chiếc điện thoại, sau đó đưa anh Trình đi, nói là để để điều tra hành vi trộm cắp tài sản.
"Công an nói chiếc điện thoại là tang vật mà anh Trình ăn trộm" - anh Sang kể.
Đó cũng là lần cuối cùng gia đình nhìn thấy anh Trình, 37 tuổi, trong tình trạng khỏe mạnh, tỉnh táo.
![]() | |
|
Chưa đầy hai ngày sau, sáng sớm 17-8, ông Trích (bố của Trình) nhận được điện thoại báo tin con trai đang cấp cứu tại Bệnh viện Kiến An. Gia đình đến nơi thì được các bác sĩ cho biết anh Trình bị đột quỵ, khuyên nên tiếp tục điều trị tại bệnh viện. Trong quá trình này, không có sự xuất hiện của đại diện bên công an.
Nhìn thấy con trong cơn nguy kịch, buổi tối cùng ngày, gia đình ông Trích quyết tâm chuyển con đến Bệnh viện Bạch Mai. Ban đầu, gia đình đưa anh Trình đến Khoa Đột quỵ, nhưng tại đây các bác sĩ cho biết “trường hợp này không phải là đột quỵ”.
"Lúc đấy anh tôi trong tình trạng hôn mê, mặt mũi bầm dập, tím tái. Bác sĩ chẩn đoán anh Trình bị tụ máu não, chấn thương vùng mặt, gãy 3 xương sườn bên trái" - anh Sang kể
Sau đó, anh Trình được chuyển đến Khoa Phẫu thuật Thần kinh và Sọ não, rồi trưa 18-8 được phẫu thuật. “Đến giờ là hơn 3 ngày sau đại phẫu, anh tôi vẫn đang hôn mê. Các bác sĩ nói rằng anh tôi bị tụ máu não, tiên lượng xấu, dù phẫu thuật thành công thì sau này cũng không thể tỉnh táo được như bình thường, thậm chí có khả năng bị liệt nửa người”.
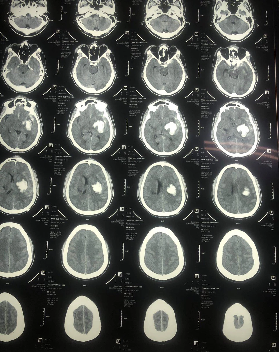
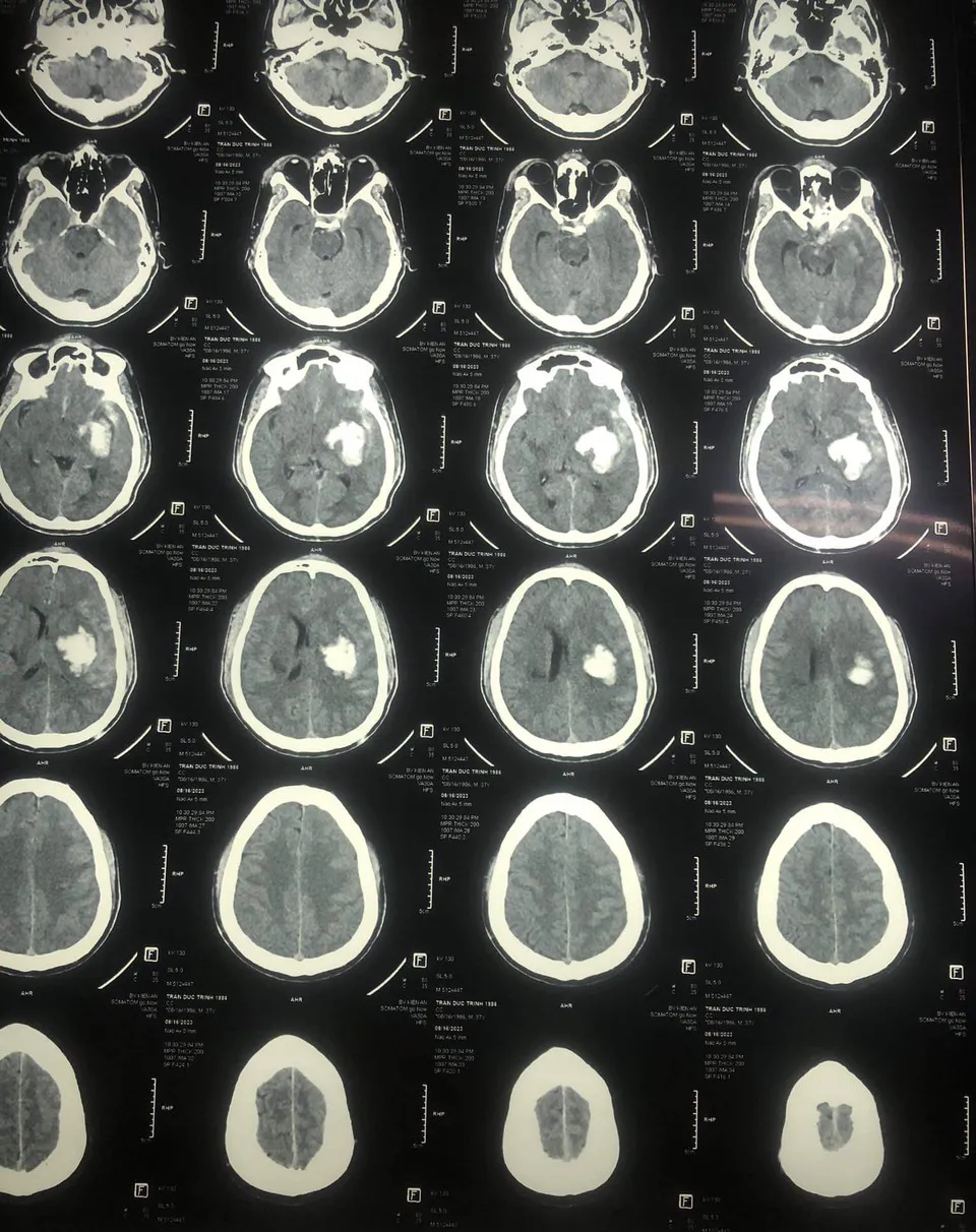
![]() |
| Hình ảnh chụp thương tích xuất huyết bán cầu trái của bệnh nhân Trần Đức Trình |
Công an trả lời
Tại Hải Phòng, trao đổi với PLO tối 21-8, lãnh đạo Công an quận Đồ Sơn, cho biết lúc 6 giờ 04 ngày 14-8, hai du khách tại Đồ Sơn bị mất tài sản trong lúc đi tắm biển tại bãi tắm khu 1, phường Hải Sơn.
Qua công tác nghiệp vụ, Công an quận đã khoanh vùng, vận động đối tượng đầu thú, và đến ến 15 giờ 45 ngày 15-8, thì tiếp nhận Trần Đức Trình ra đầu thú.
Tại cơ quan công an, Trình khai nhận do cần tiền mua ma túy sử dụng nên đã trộm cắp. Sau đó, Cơ quan CSĐT Đồ Sơn tổ chức khám xét nơi ở và thu giữ tang vật do Trình trộm cắp, rồi đến ngày 16-8, thì ra quyết định tạm giữ Trần Đức Trình.
Cũng theo thông tin Công an Đồ Sơn, trong quá trình làm việc với cơ quan công an, Trình khai bản thân mắc một số bệnh nền, bệnh lý trong đó có huyết áp cao. Trước khi chuyển về nhà tạm giữ, Cơ quan CSĐT đã đưa đối tượng tới Trung tâm y tế quận Đồ Sơn để kiểm tra sức khỏe. Tại đây, các bác sĩ nhận định: Nghi phạm có nhiều bệnh nền như hen phế quản, huyết áp cao…
Khi đến Trung tâm Y tế Đồ Sơn, Trình có biểu hiện lờ đờ, kêu mệt nên Cơ quan CSĐT đã chuyển đi Bệnh viện Đa khoa Kiến An để kiểm tra sâu hơn.
Tại đây, các bác sĩ đã thăm khám, chụp chiếu, làm các xét nghiệm cần thiết. Kết quả bước đầu của cơ quan y tế cho biết: Trần Đức Trình có biểu hôn mê, liệt hoàn toàn nửa người phải, đồng tử hai bên 1,5mm phải phản xạ ánh sáng dương tính.
![]() |
Nghi phạm Trần Đức Trình tại cơ quan công an quận Đồ Sơn. Ảnh: CACC |
Cùng với đó, kết quả chụp cắt lớp sọ não của Trình ghi nhận có chảy máu bán cầu trái, tổn thương cũ nhu mô bán cầu phải và một số vết bầm nhỏ trên mặt. Cung trước các xương sườn trái số 7, 8, 9 có vết gãy cũ, đang trong giai đoạn liền xương.
Kết quả thăm khám của cơ quan y tế cũng cho thấy bệnh nhân Trình không có dấu hiệu tổn thương xương hộp sọ cũng như các tổn thương khác do tác động ngoại lực.
Theo Công an Đồ Sơn, trong quá trình chuyển nghi phạm tới bệnh viện, lực lượng dẫn giải đã cử người thông tin ngay cho gia đình Trình biết để phối hợp chăm sóc. Sau đó, đại diện gia đình đã có đơn xin bảo lãnh cho đối tượng Trình để chuyển lên Bệnh viện Bạch Mai điều trị.
Với các diễn biến này, Cơ quan CSĐT Đồ Sơn đã trao đổi với VKSND cùng cấp về việc hủy bỏ biện pháp ngăn chặn tạm giữ đối với Trần Đức Trình.
Ngày 18-8, VKSND quận Đồ Sơn đã có công văn phản hồi, đánh giá các tài liệu do Cơ quan CSĐT cung cấp cho thấy Trần Đức Trình có dấu hiệu tội trộm cắp tài sản. Cơ quan điều tra áp dụng biện pháp tạm giữ đối với Trình là đúng quy định của pháp luật.
Bản thân Trình là người nghiện ma túy, nay căn cứ tình trạng sức khỏe có biểu hiện xuất huyết não, để đảm bảo đến tính mạng, sức khỏe, Cơ quan CSĐT cần thiết đưa Trình đi khám, chữa bệnh. Vì vậy, việc tạm giữ đối với Trình là không còn cần thiết.
Vì lẽ đó, VKSND quận Đồ Sơn thống nhất quan điểm với Cơ quan CSĐT cùng cấp về việc hủy bỏ biện pháp ngăn chặn tạm giữ đối với Trần Đức Trình.
Anh Trần Đức Sang cho biết anh trai mình có vợ và 3 con, không có nghề nghiệp ổn định, nhưng không có vấn đề sức khỏe gì và cũng hoàn toàn không có tiền sử bệnh tật.
Trong suốt quá trình chuyển viện và làm thủ tục tại các bệnh viện cho người thân, gia đình không gặp phải sự can thiệp, cản trở gì từ cơ quan công an.
Tuy nhiên, trước tình trạng bất thường của anh Trình, gia đình đã gửi đơn trình báo sự việc đến cơ quan các cấp xã, quận, thành phố, hiện đang đợi phản hồi.
Trong khi đó, Công an quận Đồ Sơn, Hải Phòng cho biết đã cắt cử cán bộ tiếp tục phối hợp với Bệnh viện Bạch Mai, Hà Nội để theo dõi tình hình sức khỏe đối với Trần Đức Trình, đồng thời tiếp tục tiến hành các biện pháp điều tra mở rộng để làm rõ vụ việc.
Công an quận đang phối hợp với VKSND quận và các cơ quan chức năng khác để làm rõ nguyên nhân dẫn đến tình trạng sức khỏe hiện nay của nghi phạm.


