Tổ chức Y tế Thế giới (WHO) dự đoán một khi tổ chức này mở rộng quá trình tầm soát ở các quốc gia khác, số lượng ca mắc bệnh đầu mùa khỉ chắc chắn sẽ tăng cao hơn nữa, hãng Reuters đưa tin hôm 21-5.
Theo WHO, tính đến ngày 21-5, đã có 92 ca mắc bệnh đậu mùa khỉ và 28 trường hợp nghi nhiễm mới được ghi nhận tại 12 quốc gia.
WHO nhận định việc dịch bệnh bùng phát ở hơn 10 quốc gia không lưu hành là rất bất thường. Hơn 100 trường hợp được xác nhận hoặc nghi ngờ nhiễm đã được báo cáo, hầu hết ở châu Âu.
“Thông tin hiện có cho thấy rằng sự lây truyền giữa con người với nhau thường xảy ra khi con người tiếp xúc gần gũi về thể chất với nhau” - WHO giải thích.
"Căn bệnh này đã xâm nhập vào dân chúng thông qua con đường tình dục. Các hoạt động sinh hoạt tình dục đã làm tăng khả năng lây lan của bệnh đậu mùa khỉ trên toàn thế giới" - ông David Heymann, một chuyên gia về bệnh truyền nhiễm của WHO, cho hay.
![]() |
Đậu mùa khỉ là một căn bệnh đặc hữu ở châu Phi, nay đã bùng phát tại một số quốc gia ở châu Âu. Ảnh: WIKIPEDIA |
Đậu mùa khỉ là một căn bệnh truyền nhiễm đặc hữu ở các vùng tây và trung châu Phi, người dân ở châu lục này thường dễ bị lây bệnh từ các loài động vật hoang dã. Căn bệnh này có thể được ngăn chặn tương đối dễ dàng thông qua các biện pháp như tự cách ly và đảm bảo vệ sinh cơ thể sạch sẽ.
Theo ông Heymann, một ủy ban quốc tế gồm các chuyên gia về bệnh truyền nhiễm trên khắp thế giới đã có cuộc họp trực tuyến để xem xét những gì cần được nghiên cứu về sự bùng phát của căn bệnh này để có thể thông báo cho người dân phòng chống và phát hiện bất kỳ ca nhiễm nào.
Ông cho biết tiếp xúc gần là con đường lây nhiễm phổ biến nhất. Ví dụ như các bậc cha mẹ chăm sóc trẻ bị bệnh hay các nhân viên y tế chăm sóc bệnh nhân mắc bệnh đậu mùa khỉ cũng có nguy cơ mắc bệnh.
“Đó là lý do tại sao một số quốc gia đã bắt đầu tiêm chủng cho người dân và các nhân viên y tế vaccine phòng bệnh đậu mùa với hy vọng có thể phòng tránh căn bệnh đậu mùa khỉ này” - ông Heymann cho hay.
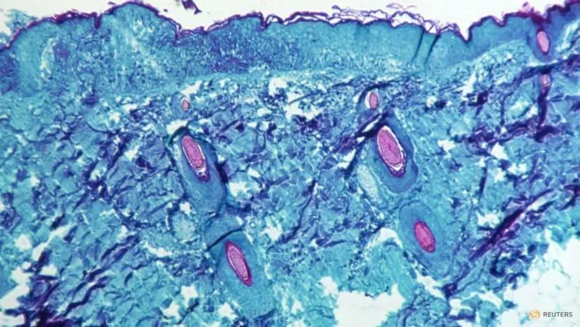
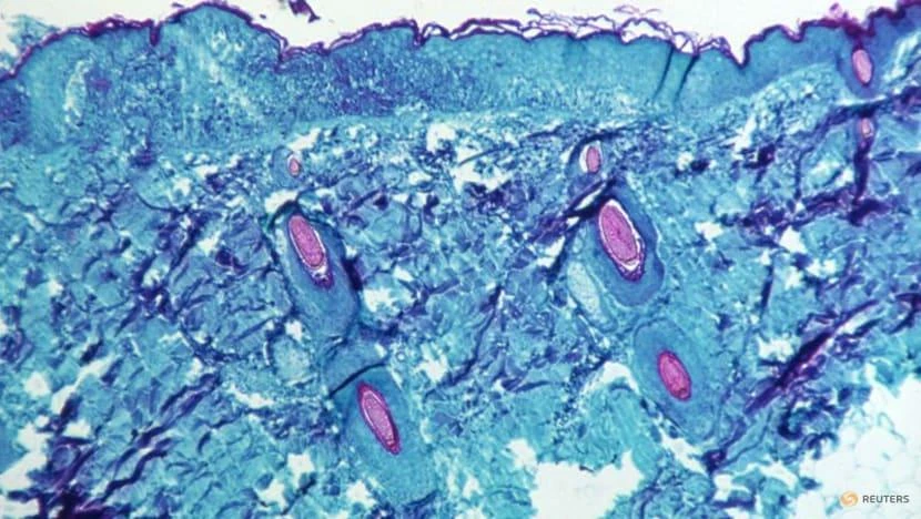
![]() |
Một phần mô da được lấy từ vết thương trên da của một con khỉ bị nhiễm virus đậu mùa khỉ vào năm 1968. Ảnh: REUTERS |
Đậu mùa khỉ tương tự như bệnh đậu mùa ở người (căn bệnh đã bị xóa sổ trên thế giới vào năm 1980), và dễ dàng bị lầm tưởng là thủy đậu.
Các triệu chứng ban đầu của bệnh bao gồm sốt, nhức đầu, đau cơ, đau lưng, nổi mụt phồng, ớn lạnh và kiệt sức. Triệu chứng phát ban thường sẽ bắt đầu trên mặt trước khi lan sang những bộ phận khác.
Hiện chưa có cách trị căn bệnh đậu mùa khỉ, mặc dù đa số bệnh nhân đều trải qua các triệu chứng nhẹ và thường khỏe lại chỉ sau vài tuần.
Theo chuyên gia Heymann, virus đã âm thầm lan rộng sang nhiều quốc gia khác trên toàn cầu ngoài khu vực châu Phi, song đã không dẫn đến các đợt bùng phát lớn khiến xã hội phải đóng cửa hoặc hạn chế đi lại như đại dịch COVID-19 từng gây nên.
Ông nhấn mạnh rằng đợt bùng phát bệnh đậu mùa khỉ không giống với những ngày đầu khi đại dịch COVID-19 xuất hiện vì căn bệnh này không dễ lây như virus SARS-CoV-2.
“Hiện đã có vaccine giúp ngăn ngừa nhiễm bệnh đậu mùa khỉ, nhưng quan trọng nhất vẫn là việc mỗi người biết tự bảo vệ bản thân mình” - ông Heymann nhấn mạnh.
Trong những ngày tới, WHO cho biết tổ chức sẽ sớm cung cấp thêm hướng dẫn và khuyến nghị cho các quốc gia về cách giảm thiểu sự lây lan của bệnh đậu mùa khỉ.

