Rợn người với hình ảnh chụp X-quang chấn thương của Demba Ba

(PLO)- Như tin đã đưa, cựu tiền đạo của West Ham, Newcastle và Chelsea đã chuyển từ Besiktas sang chơi cho CLB Trung Quốc Thân Hoa Thượng Hải vừa bị gãy chân sau pha tắc bóng mang tính huỷ diệt của cầu thủ Sun Xiang mang áo số 32 của Shanghai SIPG.

Trong trận đấu cùng thành phố giữa hai đội bóng  Shanghai Shenhua và Shanghai SIPG, khi đang dẫn trước đối thủ 2-0, ở một tình huống nỗ lực cứu bóng, Demba Ba gặp phải chấn thương trong pha tắc bóng từ phía sau của Sun Xiang.

Pha vào bóng mang tính triệt hạ của cầu thủ Shanghai SIGP

Đoạn clip cho thấy chân trái của Sun Xiang sút thẳng vào chân trụ của tiền đạo người Senegan. Sau pha vào bóng thô bạo, Demba Ba đổ gục xuống sân đau đớn và được các bác sĩ tức tốc đưa đi cấp cứu. Ở bệnh viện, các bác sỹ phải gây mê và mổ cấp cứu để sắp xương. Hiện tiền đạo này đã tỉnh dậy sau 4 giờ hôn mê.

Demba Ba được đưa đi cấp cứu sau pha va chạm

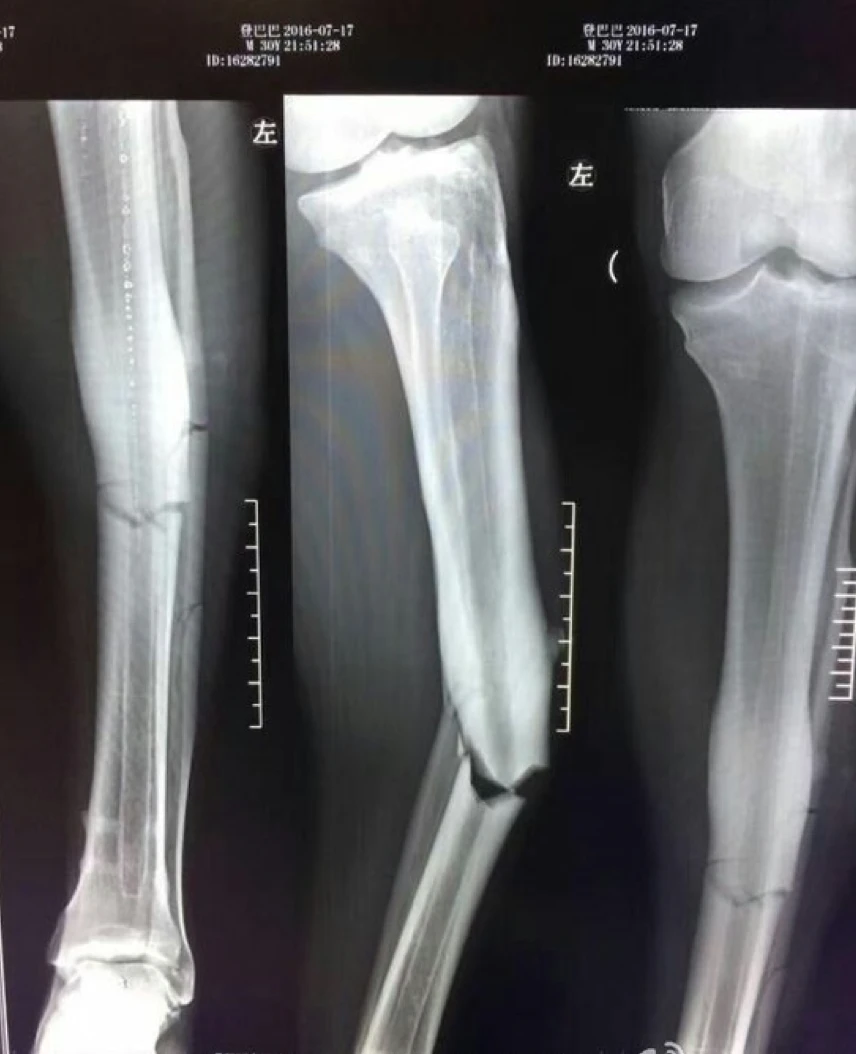
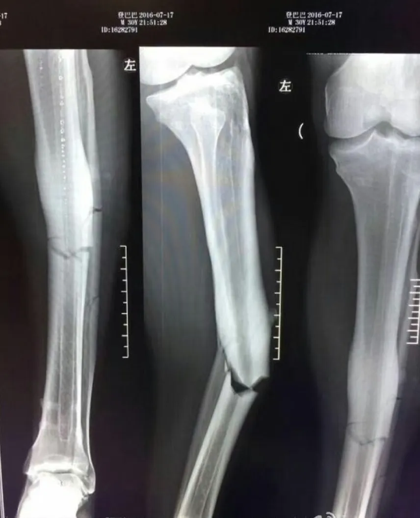
Trước mắt, theo thông báo của bác sỹ từ kết quả chụp X quang, Demba Ba sẽ phải nghỉ thi đấu ít nhất 8 - 10 tháng để vết thương lành hẳn. Nhìn vào tấm hình phim X-quang chụp vết thương của cầu thủ 31 tuổi sẽ khiến không ít người rợn người. Ống quyển của Demba Ba gần như gãy vụn trong tai nạn vừa qua.

Tấm phim X Quang cho thấy xương chân gãy vụn

Trong cuộc hợp báo sau trận đấu, HLV Gregorio Manzano, người từng dẫn dắt Atletico cho biết: “Tôi thật sự sốc với pha vào bóng mang tính triệt hạ đó. Nó không phải là một vụ tai nạn. Chấn thương này có thể đặt dấu chấm hết cho sự nghiệp của anh ấy. Tôi rất tiếc khi sự cố này xảy ra”. 

HLV Gregorio Manzano,

Về phần mình, ông chủ tịch CLB Shanghai Shenhua, Wu Xiaohui khóc ra nước mắt sau khi chứng kiến chấn thương kinh hoàng của cầu thủ đội nhà và ông cũng khẳng định chân sút 31 tuổi sẽ nhận được sự hỗ trợ tốt nhất từ đội ngũ y bác sỹ. “Đội bóng sẽ luôn ở cạnh Demba, chúng tôi sẽ dành những gì tốt nhất cho cậu ấy. Tôi không muốn nói về điều xấu nhất và tôi chúc Demba sớm phục hồi”, Wu Xiaohui nói thêm.

CLB Shanghai Shenhua hứa sẽ hỗ trợ hết mình cho Demba Ba

Với tiền sử chấn thương ở gối trái, nay thêm vết thương này. Sự nghiệp “Quần đùi áo số” của Demba ba có thể sẽ phải kết thúc.

Theo thông tin từ kênh truyền thông ESPNFC thì Ba năm nay 30 tuổi, từng tạo tiếng vang khi còn khoác áo Newcastle và Chelsea tại Premier League. Anh chuyển tới chơi cho Besiktas vào hè 2014 sau khi ghi 27 bàn trong 44 lần ra sân. Shanghai Shenhua đã chi ra một số tiền khá lớn đến 13,5 triệu euro để thuyết phục CLB Thổ Nhĩ Kỳ Besiktas nơi Demba Ba đang thi đấu và rất được lòng NHM chuyển giao . Mức lương của Ba trong thời gian gắn bó với Thân Hoa Thượng Hải sẽ rơi vào khoảng 200.000 USD/tuần.

Ở Besiktas, Demba Ba nhận được rất nhiều sự mến mộ

Trong những năm gần đây, với ước muốn “hội nhập và nhảy vọt” để sánh kịp với các cường quốc bóng đá trên thế giới, thêm vào đó là sự khuyến khích của chính phủ, Trung Quốc bằng con bài “lương bổng”, họ sẵn sàng trả tiền thật cao để chiêu dụ các cầu thủ có tên tuổi trên thế giới về đầu quân cho các CLB trong nước. 

Gonzalo Higuain đã tỉnh táo từ chối một hợp đồng béo bở và mức lương khủng

Tuy nhiên, bằng sự hiểu biết của mình, không phải bất kỳ cầu thủ nào có đẳng cấp quốc tế cũng muốn về chơi bóng ở Trung Quốc, một nền bóng đá kém phát triển. Điển hình như cầu thủ tiền đạo người Argentina, Gonzalo Higuain đang chơi cho CLB Napoli đã từ chối mức lương 800.000 bảng/tuần và một hợp đồng trên 95 triệu euro để chuyển nhượng về chơi cho Hebei China Fortune.

Demba Ba đã phải trả giá cho những con số trong bảng hợp đồng

Cái giá mà Demba Ba phải trả khi chơi bóng ở Trung Quốc khá đắt so với những con số từng quyến rũ anh trong bảng hợp đồng khi về chơi cho Shanghai Shenhua.

Đừng bỏ lỡ

Video đang xem nhiều

Đọc thêm